Ольгин.pptx
- Количество слайдов: 10
Бруксизм
Бруксизм — скрежет зубами. Часто проявляется во время сна. Регулярные проявления могут отрицательно сказываться на здоровье эмали зубов и челюстных суставов. По различным данным, наблюдается у 1 -3 % населения. Причины до конца не выяснены, хотя часто сводятся к душевному дисбалансу, нервозности и стрессу.
Есть мнение, что скрежет зубами во сне это своего рода рудимент оставшийся нам от далёких предков. Таким образом они подтачивали зубы. Если говорить с позиции глубинной психологии человека, можно выдвинуть предположение о мощных подсознательных комплексах, которые не могут реализоваться и проявиться в реальности. То есть какаято внутренняя установка, нерешённая в жизни. Человек стискивает зубы, напрягается, злится. Часто это следствие вытесненной агрессии, когда человек не позволяет ее отреагировать в повседневной жизни. Так как в жизни человек не всегда может проявить себя, стиснуть зубы, напрячься (мешает воспитание, традиции, установки, этикет, нормы морали), во сне сознательный цензор не препятствует нам и человек имеет возможность выразить себя полнее.
Выбор лечения зависит от того, что именно явилось причиной данной проблемы. Задавая вопросы и тщательно исследуя ваши зубы, стоматолог установит причину бруксизма. В зависимости от степени повреждения зубов и его возможной причины, стоматолог может предложить следующее: Надевать на время сна специальное устройство. — Такая каппа, изготовленная стоматологом по форме и размеру ваших зубов, надевается на верхние зубы и предохраняет их от трения о нижние зубы. Хотя устройство помогает справиться с бруксизмом, оно от него не излечивает. Научиться расслабляться. — Поскольку главной причиной бруксизма является повседневный стресс, вам могут помочь любые способы избавления от стресса — прослушивание музыки, чтение книг, прогулки или ванны. Возможно, вам следует сходить на психологическую консультацию, чтобы научиться эффективно справляться со стрессовыми ситуациями. Также вы можете прикладывать к щекам теплое влажное полотенце, это поможет вам расслабить мышцы, уставшие от стискивания зубов. Лучше всего помогает психотерапия, которая направлена на выявление конфликтов, их осознавание и развитие способностей более эффективно справляться с повседневными трудностями жизни.
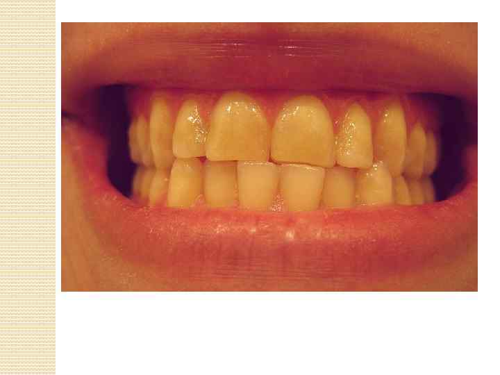
Признаки бруксизма у детей весьма своеобразны. Рассмотрим их: Скрежет зубов ночью от нескольких секунд до нескольких минут, который может повторяться за ночь несколько раз; Стёртость резцов и клыков; Головные боли, боли в челюсти; При запущенных формах — сильные боли и хруст в височно-челюстном суставе, воспаление дёсен, травма зубов, появление кариеса, одеревенение мышц шеи и т. д.
Клиническая картина заболевания достаточно специфична. Во время сна внезапно раздается скрежет зубов, который может продолжаться в течение нескольких секунд или минут. Подобные приступы иногда повторяются много раз за ночь. Диагноз, как правило, устанавливается на основе анамнеза. Помимо собственно скрежета зубов, пациент может жаловаться на мышечные и суставные боли в области нижней челюсти. При осмотре можно не отметить каких-либо нарушений, однако, при тяжелой форме заболевания часто наблюдается стирание дентина, кариес и воспаление периодонтальных тканей. Это связано со значительной травмой зубов во время спастических сокращений нижней челюсти. Диагноз можно подтвердить с помощью специального полисомнографического исследования, при котором регистрируется весьма специфическая картина спастического сокращения жевательных мышц. Кроме этого, полисомнография важна для исключения эпилепсии как причинного фактора бруксизма.
У пациентов могут наблюдаться различные симптомы, включая : Утренние мигрени Утренние головные боли Челюстные боли Боли в височно-нижнечелюстных суставах Боли лицевых мускулов и нервов Оталгия (боль в ушах) Боль в придаточных пазухах носа Тиннитус (звон в ушах) Вертиго (вестибулярное головокружение) Боль в шее Боль в плечах Боль в спине Плохой сон Просыпание истощённым Стресс или напряжение Депрессия Нарушение питания Бессонница Дневная сонливость Высокая чувствительность или раздражение глаз Покалывания в голове
Спасибо за внимание !
Ольгин.pptx