Рак лёгких.ppt
- Количество слайдов: 32
Бронхолёгочной рак
Общие сведения l Бронхолёгочной рак называется раком бронхов (бронхиальной карциномой), так как развивается в основном из эпителия желёз бронхов и только в 2% случаев – из альвеолярного эпителия.
Эпидемиология l Смертность при бронхолёгочном раке в Молдове составляет 20 %000 или 860 больных ежегодно, занимая II место из всех злокачественных опухолей. Страдают в основном мужчины в возрасте 45 -50 -60 лет.
Этиология n Курение (воздействие табачного дыма) n Профессиональные факторы (горнорудная промышленность: никель, кобальт, железо) n Местные факторы (хронические воспалительные процессы в лёгких) n Генетическая предрасположенность
Клинико-анатомическая классификация 1. Центральный (проксимальный) рак лёгкого 2. Периферический (дистальный) рак лёгкого 3. Смешанный рак лёгкого 4. Атипичные формы рака лёгкого
Гистологическая классификация 1. Плоскоклеточный рак (эпидермоидная карцинома курильщика) 30 -40 % случаев. 2. Мелкоклеточный рак – наиболее агрессивная форма; также связан с воздействием табачного дыма (25% случаев). 3. Аденокарцинома (чаще у женщин; не зависит от табачного дыма) 20 -30 % случаев. 4. Крупноклеточная карцинома - развивается в основном из эпителия желёз периферических бронхов (дистальный рак); средней степени агрессивности - 10 % случаев.
Центральный плоскоклеточный рак лёгкого, обтурирующий правый основной бронх.
Плоскоклеточная карцинома с деструктивной полостью в центре.
n Плоскоклеточная карцинома с прорастанием от корня лёгкого к плевре.
Микроскопическая картина плоскоклеточного рака лёгкого: сеть полигональных клеток с цитоплазмой фиолетового цвета и четкими периферическими клетками. Ядра многоугольные, гиперхромные.
n Периферическая аденокарцинома. Aденокарциномы и крупноклеточные карциномы чаще располагаются на периферии. Aденокарциномы чаще встречаются у женщин и не зависят от воздействия табачного дыма. Если опухоль ограничена и своевременно выявлена – результаты хирургического лечения весьма благоприятны.
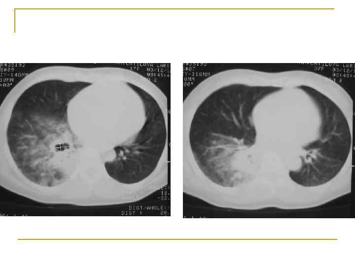
Другой тип периферической аденокарциномы, известный как бронхиолоальвеолярный рак. На рентгенограмме эта опухоль выглядит как пневмоническое затемнение.
q Микроскопически бронхиолоальвеолярная аденокарцинома состоит из цилиндрических клеток, пролиферирующих вдоль межальвеолярных перегородок. Эти клетки хорошо отдифференцированы. q Бронхиолоальвеолярная аденокарцинома имеет относительно благоприятный прогноз.
Мелкоклеточный рак Опухоль прогрессивно распространяется в виде мелких, “чечевицеобразных” клеток. Макроскопически опухоль белесовато-бронзового цвета обтурирует левый основной бронх. Мелкоклеточная “чечевицеобразная” карцинома является наиболее агрессивной формой с ранним метастазированием.
n Мелкоклеточная “чечевицеобразная” карцинома, распространяющаяся вдоль бронхов. Пятна чёрного цвета являются метастазами опухоли в лимфоузлы корня лёгкого. Эти опухоли имеют неблагоприятный прогноз и лечатся в основном при помощи химио- и радиотерапии. Мелкоклеточный рак возникает практически лишь у курильщиков.
n Микроскопическая картина мелкоклеточного рака лёгкого: Мелкие, “чечевицеобразные” клетки, тёмносинего цвета, содержащие минимум цитоплазмы, упакованы послойно.
Классификация TNM Tx Лишь положительная цитология T 1 Опухоль менее 3 cm T 2 Опухоль более 3 cm T 3 Распространение опухоли на грудную клетку, диафрагму, перикард, средостение, плевру и т. д. T 4 Распространение опухоли на органы средостения, сердце, крупные сосуды, трахею, пищевод и др. , канцероматозный плеврит. N 1 Метастазы в перибронхиальные лимфатические узлы, в лимфоузлы корня лёгкого с пораженной стороны. N 2 Метастазы в лимфатические узлы средостения с пораженной стороны. N 3 Метастазы в лимфатические узлы средостения с противоположной стороны, шейные или надключичные лимфоузлы. M 0 Отсутствие метастазов в отдалённые органы. M 1 Наличие метастазов в отдалённые органы.
Stadializarea cancerului pulmonar Stadiul T N M Carcinom ocult Tx N 0 M 0 0 Tis N 0 M 0 I T 1 N 0 M 0 T 2 N 0 M 0 Tumoarea este localizată endo- sau peribronhial, fără afectarea pleurei sau nodulilor limfatici. II T 1 N 1 M 0 T 2 N 1 M 0 Tumoarea aceaşi ca şi în stadiul I sau mai mare, fără afectarea pleurei, apar metastaze regionale solitare.
Stadializarea cancerului pulmonar IIIA T 1 N 2 M 0 T 2 N 2 M 0 T 3 N 0, N 1, N 2 M 0 IIIB Orice T N 3 M 0 T 4 Orice N M 0 Tumoarea se răspândeşte la formaţiunele apropiate (pericard, diafragm, peretele cutiei toracică) cu multiple metastazări regionale IV Orice T Orice N M 1 Tumoarea se răspândeşte la organele vecine cu multiple metastazări îndepărtate. Pentru stabilirea stadiului mai des sunt necesare CT toracică, hepatică şi de suprarenale, scintigrafia osoasă, tomografia RMN cerebrală cu gadolinium.
Metastazarea limfogenă este caracteristică pentru toate tipurile histologice, mai frecvent în ganglionii limfatici peribronhiali, hilari, mediastinali sau în alte structuri ale toracelui: pleură, nervii intercostali, plexul brahial, nervul frenic, nervul laringeal recurent. Metastazarea hematogenă are localizare hepatică (35%), osoasă (40%), cerebrală (30%), în suprarenale (20%) şi în piele (sub 5%).
Tablou clinic Asimptomatic doar în 5 -15% cazuri. Manifestări respiratorii: tuse (cel mai frecvent simptom), wheezing, hemoptizie, dispnee, stridor, durere pleuretică. Manifestările metastatice Manifestările metastazelor prezente în 1/3 cazuri la momentul diagnosticării. a) intratoracice (apar ca urmare a creşterii şi extensiei directe sau metastazării limfatice) - sindromul Pancoast-Tobias (dureri acute în articulaţia umărului, la braţ, degete, atrofia muşchilor din porţiunea distală a extremităţii superioare şi schimbări senzitive), sindrom Cloude Bernard-Horner (mioza, ptoza şi îngustarea fantei palpebrale), disfonie (leziunea n. recurens), compresia mediastinală (disfagie, sindrom de venă cavă superioară; prinderea pericardului şi inimii cu apariţia tulburărilor de ritm; adenopatii supraclaviculare stângi). b) extratoracice - sunt afectate ficatul, oasele, creierul, suprarenalele şi pielea.
Tablou clinic Manifestările paraneoplazice Prezente în 10% cazuri la momentul diagnosticării. Produse prin secreţia de hormoni, autoantigene (cu formarea de anticorpi) şi de alte substanţe de către ţesutul tumoral. Febra, scăderea masei corporale, anorexia (hormon antidiuretic), astenia (substanţele asemănătoare hormonului paratiroidian), hipocratism digital (factorul de creştere endotelial).
Investigaţii paraclinice Hemograma: leucocitoza, accelerarea VSH, mai des, fără anemie. Din contra, se poate observa o eritrocitoză secundară (compensatorie) din insuficienţă respiratorie şi hipoxemie. Examenul radiologic: lărgirea unilaterală a hilului pulmonar, opacitate pulmonară periferică, atelectazie segmentară, lobară sau a întregului plămân, colecţie lichidiană pleurală, lărgirea mediastinului, lărgirea siluietei cardiace, ridicarea hemidiafragmului, distrucţie costală.
Investigaţii paraclinice Bronhoscopia: se poate ajunge până la bronhiile subsegmentare şi se poate vizualiza leziunea cu aprecierea caracterului şi răspândirii procesului. Este posibilă biopsia tumorii (inclusiv prin periaj) cu examenul histologic al fragmentelor de biopsie sau al aspiratului bronşic. Rezultat morfologic în peste 90% cazuri de cancer central. Examenul citilogic al sputei sau al spălăturilor bronşice: este pozitiv la 90% dintre pacienţii cu cancer central şi în 50% cazuri de cancer periferic. Tomografia computerizată: permite depistarea tumorii în 95%. Ea permite determinarea răspândirii tumorii la pleură, la mediastin, precizarea caracterului opacităţilor nodulare, unice sau multiple. Mediastinoscopia: evaluează răspândirea mediastinală.
Investigaţii paraclinice Biopsia din ganglionii periferici suspecţi, puncţia sau biopsia medulară, examenul radiologic al esofagului bariat, radiografia osoasă, scintigrafia oaselor, ultrasonografia şi scintigrafia hepatică, tomografia computerizată cerebrală, investigaţii endocrine, examinări respiratorii şi cardiace (spirografia, Eco. CG) - folosesc pentru diagnosticarea şi stadializarea procesului. Toracotomia exploratorie stabileşte diagnosticul şi rezectabilitatea tumorii.
Diagnostic diferenţial n Bronhopneumopatia cronică obstructivă, n Pneumonii, n Pleurezii, n Corpi străini bronşici, n Abcesul pulmonar, n Tuberculoza pulmonară sau bronşică, n Micozele generalizate, n Boli de sistem etc.
Evoluţie Este de cele mai multe ori nefastă: după stabilirea diagnosticului 80% decedează în primul an, doar 10 -15% supravieţuiesc 5 ani. Nu este caracteristică caşexia. Moartea survine din intoxicaţie canceroasă, metastaze tumorale, din alte complicaţii în corelaţie cu tumoarea canceroasă.
Tratament Alegerea tratamentului depinde de tipul histologic al tumorii şi de stadiul depistării bolii. Metodele folosite în terapeutica cancerului sunt chirurgia radicală, metastazectomia, radioterapia, chimioterapia şi terapia simptomatică. 1. Cancerul fără celule mici (epidermoid, adenocarcinom) Forme curabile (stadiul I, IIIA şi selectiv T 3, N 2): chirurgie, radioterapie (pentru pacienţii “inoperabili”), radioterapie toracică postoperatorie (pentru N 2) Forme incurabile (N 2 şi M 1): radioterapie toracică (dacă este posibil), radioterapie extratoracică (metastaze), chimioterapie Molecule noi pentru tratamentul ţintit: bevacizumab (Avastin ) previne neoformarea de vase şi extinderea tumorii, erlotinib (Tarceva).
Tratament 2. Cancerul cu celule mici (anaplazic) Stadiul limitat: chimioterapie combinată + radioterapie toracică. Stadiul extins: chimioterapie combinată, eventual radioterapie paliativă.
Bibliografie selectivă 1. ANDREOLI T. , BENNETT C. , CARPENTER C. , PLUM F. - Cecil esenţialul în medicină, Bucureşti, 1999 2. BOTNARU V. - Examenul clinic în afecţiunile aparatului respirator, Chişinău, 1998 3. BOTNARU V. – Bolile aparatului respirator, Chişinău, 2001 4. Cecil Textbook of Medicine, Ed. by Wyngaarden J. B. , Smith L. H. , Benett J. C. , W. B. Saunders Company, 1992 5. GHERASIM L. - Medicină internă, Vol. I - Bolile aparatului respirator şi aparatului locomotor, Editura Medicală, Bucureşti, 1996 6. MIHĂLŢAN F. , ULMEANU R. , STOICESCU I. , GHILEANCEA L. - Astmul. Ce este şi cum îl tratăm. Ghid actualizat pentru practician. Bucureşti, 1998 7. NEGOIŢĂ C. - Clinică medicală, Bucureşti, 1995, Vol. I 8. БОТНАРУ В. - Обследование при болезнях органов дыхания. Кишинэу, 2005 9. Руководство по медицине. Диагностика и терапия. (The Merck manual), М. , Мир, 1997, том. I 10. Цыбырнэ Г. – Клиническая онкология, Кишинэу, 2005
Рак лёгких.ppt