астма с задачами обновленная 2010г.ppt
- Количество слайдов: 97
Бронхиальная астма. Избежать гипердиагностики Достигнуть контроля
Астма -это заболевание, в основе которого лежит хроническое аллергическое воспаление бронхов, сопровождающееся их гиперреактивностью и периодически возникающими приступами затрудненного дыхания в результате распространенной бронхиальной обструкции (которая является обратимой).
Activation of T Cells: Helper Antigen is processed Processed antigen and Class II MHC are displayed Macrophage Class II MHC Monokines Helper T cell receptor recognizes processed antigen plus Class II MHC Antigen-presenting cell Resting helper T cell Lymphokines MHC Class II Activated helper T cell Antigenic peptide T cell receptor CD 4 protein Helper T cell
Disorders of the Immune System: Allergy Interleukins Allergen Ig. E Mediators Symptoms B cell Mature helper T cell Plasma cell Mast cell
Аллергическое воспаление в легких отсроченная реакция немедленная реакция Гиперчувствительность бронхов T клетка Тучная клетка Эоз Бронхиальная реактивность минуты часы дни
Компоненты бронхообструкции • Спазм стенки бронхов • Отек слизистой • Гиперсекреция вязкой мокроты
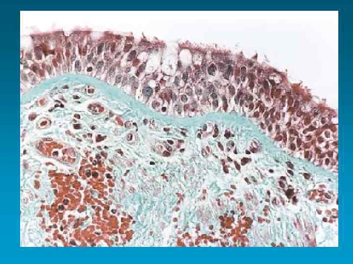
Патоморфология – ремоделирование дыхательных путей • Апоптоз эпителия • • Разрастание бокаловидных клеток Утолщение базальной мембраны Повышенная активность фибробластов Повышенная выживаемость мигрирующих клеток воспаления • Разрастание/повышенная проницаемость сосудов • Гиперплазия/гипертрофия/повышенная сократимость гладких мышц • Склероз, фиброз
Факторы риска внутренние • Генетическая предрасположенность • Атопия • Гиперреактивность дыхательных путей
Генетическая предрасположенность • • • Полигенность наследования Гены атопии Гены бронхиальной реактивности Гены эозинофильного воспаления Локализуются преимущественно на 5 и 11 хромосомах
Кластер генов интерлейкинов, ген фактора регуляции ур-ня интерферона, фактора роста фибробластов, в 2 - адренергического рецептора, гены высокоаффинного рецептора тучных клеток и др. – всего 100 -150 кандидатов Комплексный эффект различных генов, каждый из которых не способен вызвать болезнь
Факторы, провоцирующие приступ Аллергены Поллютанты Вирусные инфекции Физическая и эмоциональная нагрузка Изменения погоды Гистаминолибераторы
Консенсусы по астме § GINA (Global Initiative for Asthma) – совместный документ Всемирной организации здравоохранения (ВОЗ) и Национального Института здоровья США. § Первый консенсус по астме – 1992 г. § Последний пересмотр – 2010 г.
Резюме основных изменений • Создание удобного для ежедневной практики документа ( краткое освящение, ссылки на подробную информацию) • «Лейтмотив» документа – КОНТРОЛЬ • Цель терапии – достижение полного контроля
Резюме основных изменений (продолжение) • Введено понятие об астме, трудно поддающейся лечению • ФВД и пикфлоуметрия – рекомендуемые методы, все большее значение уделяется определению вариабельности обструкции • Классификация по степени тяжести рекомендована для научных целей
• Приведена классификация по уровню контроля • Увеличение потребности в бронхолитиках – утрата контроля – пересмотр терапии • Антилейкотриеновым препаратам отводится более значительная роль
• В 2 - агонисты длительного действия только с адекватными дозами ИГКС. • Обобщение отчета об ущербе от бронхиальной астмы в мире
Это АСТМА? Повторное свистящее дыхание Длительный кашель (особенно ночью) Кашель/Одышка после физ. нагрузки Кашель/Одышка после контакта с аллергеном Обструктивные бронхиты более 2 раз
Диагностика § Аллергообследование -Кожные пробы -Специфический Ig. E § Спирометрия § Пик-флоуметрия § Рентгенография гр. клетки
Спирометрия § Показана при подозрении на астму детям старше 5 лет ( или позже? ) § Для диагностики БА наибольшее значение имеют следующие показатели спирометрии: § ОФВ 1 – объем форсированного выдоха за первую секунду, § ФЖЕЛ – форсированная жизненная емкость § Отношение ОФВ 1/ФЖЕЛ
Спирометрия: оценка обратимости обструкции § Для оценки обратимости обструкции исследуют функцию легких до и после ингаляции короткодействующего бронходилататора § Критерий обратимости обструкции – увеличение ОФВ 1 на 12% и более через 15 -20 минут после ингаляции короткодействующего бронходилататора ОФВ 1 до и после ингаляции бронходилататора Объем, л ОФВ 1 после После бронходилат. 4 3 До бронходилат. 2 ОФВ 1 до Норма 1 Прирост ОФВ 1>12% Время, с Обратимость = (ОФВ 1 после – ОФВ 1 до) / ОФВ 1 до х 100%
Пикфлоуметрия § Показана при подозрении на астму у детей старше 5 лет § Измеряет единственный параметр – пиковую скорость выдоха – ПСВ.
Пикфлоуметрия Пиковая скорость выдоха (ПСВ) – это максимальный объем воздуха, который пациент способен выдохнуть за единицу времени после максимально возможного вдоха (л/мин, также оценивается в % от должной ПСВ*). Пикфлоуметрия: § отражает тяжесть бронхиальной обструкции значительно более доступна, чем спирометрия § может проводиться ежедневно, обеспечивая оценку динамики обструкции и вариабельности показателей функции легких § зависит от усилий испытуемого
Правила пользования пикфлоуметром: § Тест выполняют стоя, держа прибор в горизонтальном положении. Указатель должен быть в начале шкалы § Ребенок делает максимальный вдох, берет мундштук в рот, плотно обхватывая его губами, и затем выдыхает с наиболее возможной силой и скоростью.
Пример дневника пикфлоуметрии ПСВ, л/мин Утренняя ПСВ 110 -117% от должной, вариабельность ПСВ <10% должное значение ПСВ Время Утренняя ПСВ <50% от должной, вариабельность ПСВ 60% день Начало До лечения терапии Низкие значения ПСВ, высокая вариабельность ПСВ при низких значениях утром Продолжение терапии Нормальные значения ПСВ, вариабельность ПСВ практически отсутствует
Дополнительные методы обследования: § § Бронхофонография Импульсная осциллометрия Опредение NO в выдыхаемом воздухе Определение эозинофильного катионного протеина § Фибробронхоскопия § Потовый тест § Фиброларингоскопия
Анатомо-физиологические особенности детей раннего возраста § узкий просвет бронхиального дерева § слабо развит мышечный слой § значительное развитие кровеносных и лимфатических сосудов
Диагностика у маленьких детей § Отсутствие адекватных жалоб § Сложность аускультации § Невозможность проведения спирометрии § Малая информативность кожных проб
Дети до 5 лет При повторных эпизодах свистящих хрипов следует также исключать: • Хронический риносинусит • Гастроэзофагеальный рефлюкс • Муковисцедоз • Бронхолегочную дисплазию • Туберкулез • Пороки развития • Аспирацию инородного тела • Синдром первичной цилиарной дискинезии • Иммунодефицит • Пороки сердца
• Полезный метод подтверждения диагноза – пробное лечение «короткими» бронхолитиками и ИГКС • Хуже изучена зависимость эффекта от дозы препарата • Клиническая эффективность антилейкотриеновых препаратов доказана у детей старше 2 лет
• Эффекты пролонгированных В 2 - агонистов и комбинированных препаратов изучены недостаточно • Исследований применения кромонов мало, а результаты в целом отрицательные • Наиболее хорошо подтвержден эффект ИГКС • При недостаточности низких доз оптимально повышение дозы ИГКС
Астма! Как же ее «перерасти» ?
Цель лечения – контроль астмы
Затраты для достижения контроля над БА кажутся высокими с точки зрения пациента и общества, НО неадекватное лечение обходится еще дороже
Фармакотерапия Базисная терапия: Ингаляционные ГКС Пролонгированные β 2 -агонисты Антилейкотриеновые препараты Системные ГКС Кромоны
Фармакотерапия Симптоматическая терапия: β 2 -агонисты Системные ГКС Холиноблокаторы Метилксантины
Антилейкотриеновые препараты § Зафирлукаст – Аколат С 12 лет § Монтелукаст – Сингуляр С 2 лет
b 2 -агонисты • Сальбутамол - Вентолин, Саламол, Сальтос (таб. ) и др. • Фенотерол - Беротэк • Формотерол – Форадил, Оксис, Атимос • Сальметерол - Серевент
М-холинолитики • Ипратропиум бромид – Атровент • Тиотропиум бромид – Спирива 1 р/сутки ХОБЛ Старше 18 лет
Комбинированные препараты Фенотерол + Кромогликат - ДИТЭК Фенотэрол + Ипратропиум - БЕРОДУАЛ Сальбутамол + Кромогликат - ИНТАЛ ПЛЮС Сальметерол + Флутиказон – СЕРЕТИД Формотерол + Будесонид – СИМБИКОРТ Формотерол + Беклометазон - ФОСТЕР
Метилксантины • Теофиллин+этилендиамин - Эуфиллин • Теофиллин – Теотард, Теопэк, Теостат и д. р.
Омализумаб (Ксолар) • П/к 1 раз в 2 -4 недели с учетом массы тела и уровня Ig. E • Длительные курсы • Повышение общего сывороточного Ig. E • C 12 лет • Высокая стоимость
Уровни контроля БА Контролируемая Частично Неконтролируемая Дневные симптомы Отсутствуют (≤ 2 раз в неделю) > 2 раз в неделю Ограничение активности Отсутствуют Любые Ночные симптомы Отсутствуют любые Потребность в Отсутствуют(≤ 2 бронхолитиках раз в неделю) > 2 раз в неделю Функция легких Нормальная <80% от должного или наилучшего Обострения отсутствуют 1 или более раз в год Наличие 3 или более признаков частично контролируемой БА в течение любой недели 1 в течение любой недели
Ступенчатая терапия • Препараты неотложной помощи – на всех ступенях • Каждая ступень содержит препараты не являющиеся одинаковыми по эффективности • Выбор зависит от доступности и предпочтений врача/пациента • Сохранение контроля > 3 месяцев – уменьшение объема терапии на одну ступень • Недостаточность контроля – усиление терапии • Применение спейсера с ДАИ – увеличение эффективности и безопасности в любом возрасте (уровень доказательности А).
Уровни доказательности • А – рандомизированные контролируемые исследования. Большое количество данных. • В – рандомизированные контролируемые исследования. Ограниченное количество данных. • C – нерандомизированные и/или неконтролируемые исследования. Исследования- наблюдения. • D – заключения экспертов.
Ступень 1 • для пациентов с контролируемой астмой, не получавших поддерживающей терапии • В 2 - агонисты короткого действия по потребности • Альтернатива - антихолинергические, «короткие» теофиллины, пероральные В 2 - агонисты, но! -Более медленное начало действия -Более высокий риск побочных эффектов (уровень доказательности А)
Низкие дозы • • • >5 лет <5 лет Беклометазон 100 -200 100 Будесонид ДПИ 100 -200 Будесонид неб. 250 -500 Флутиказон 100 -200 100
Средние дозы • • Беклометазон >200 -400 Будесонид ДПИ >200 -400 Будесонид неб. >500 -1000 Флутиказон > 200 -500
Высокие дозы • • Беклометазон >400 Будесонид ДПИ >400 Будесонид неб. >1000 Флутиказон > 500
Ступень 2 • Лечение пациентов с персистирующей БА без предыдущей поддерживающей терапии начинается преимущественно с этой ступени • ИГКС в низких дозах (уровень доказательности А) • Альтернатива – антилейкотриены (уровень доказательности А)
Ступень 3 • Отсутствие контроля БА при первичном осмотре – начинать лечение с этой ступени • Низкие дозы ИГКС + пролонгированные В 2 агонисты (уровень доказательности А) • Альтернатива – средние дозы ИГКС(уровень доказательности А) • Увеличение дозы ИГКС при отсутствии контроля в течение 3 -4 месяцев (уровень доказательности А)
Ступень 3 • Альтернатива – низкие ИГКС + антилейкотриены (уровень доказательности А) – низкие ИГКС + «медленные» теофиллины (уровень доказательности В) • Добавление антилейкотриенов менее эффективно, чем добавление пролонгированных В 2 - агонистов (уровень доказательности А) • Добавление «медленных» теофиллинов к средним/низким дозам ИГКС + пролонгированному В 2 - агонисту может повышать эффективность лечения (уровень доказательности В)
Ступень 4 • Выбор препарата зависит от предшествующих назначений • По возможности направление к специалисту с большим опытом • Средние/высокие дозы ИГКС + пролонгированные В 2 - агонисты • + антилейкотриеновые и/или «медленные» теофиллины • Увеличение дозы ИГКС со средней до высокой – сравнительно небольшое увеличение эффекта у большинства пациентов (уровень доказательности А) • Пробная терапия высокими дозами ИГКС на 3 -6 месяцев
Ступень 5 • БА, трудно поддающаяся лечению • Добавление системного ГКС (короткими курсами) • Применение антител к иммуноглобулину Е
БА, трудно поддающаяся лечению • • • Подтвердить правильность приема препаратов Подтвердить диагноз Исключить курение (в т. ч. пассивное) Выявить сопутствующие заболевания Определить компромиссный уровень контроля Допустимо частое применение «коротких» бронхолитиков и хроническое нарушение легочной функции
Проблемы терапии Препарат Больной/Врач Непонимание/Отсутствие информации Неправильное использование Сложные схемы Боязнь побочных эффектов/побочные эффекты Стоимость Недооценка тяжести Нежелание выглядеть «больным» Культурные/религиозные факторы Плохая дисциплина
Уменьшение объема терапии • При монотерапии средними/высокими дозами ИГКС – снижение дозы на 50% с 3 хмесячнами интервалами (уровень доказательности В) • При монотерапии низкими дозами ИГКС – возможен переход на однократный прием (уровень доказательности А)
• При комбинированной терапии – снижение ИГКС на 50% до низких доз (уровень доказательности В), затем отмена пролонгированного В 2 - агониста (уровень доказательности. D) • Альтернатива - Однократный прием комбинированного препарата - отмена пролонгированного В 2 - агониста
• ИГКС + другой препарат (кроме пролонгированного В 2 - агониста ) – уменьшение ИГКС до низких доз, затем переход на монотерапию ИГКС (уровень доказательности D) • Прекращение поддерживающей терапии – при сохранении контроля на минимальной дозе в течение года (уровень доказательности D)
Особенности терапии детей младшего возраста • Сложности ингаляции (технические, психологические) • Раннее назначение ГКС • Ограничение применения b 2 агонистов
Степени тяжести Легкая интермитирующая Легкая персистирующая Средняя персистирующая Тяжелая персистирующая Частота с-мов < 1 раза в неделю <1 раза в день >1 раза в неделю Несколько раз в неделю/ежедневно Выражен-ность Эпизод. /кратковрем Однократно бронхолитик/ спонт. исчезновение Приступы средней тяжести с нарушениями ФВД Тяжелые/частые обострения Ночные симптомы Отсутствуют/редкие регулярно ежедневно Физ. нагрузки/с он Нет нарушений нарушены Ограничение ф. н. Значительные нарушения Функция легких 80% и более, вариабельность <20% 60 -80%, вариабельность 2030% Менее 60%, вариабельность >30% Период ремиссии С-мы отсутствуют Неполная ремиссия
Гастроэзофагеальный рефлюкс • При БА встречается в 3 раза чаще, чем в популяции • Использование теофиллинов и пероральных В 2 - агонистов может усилить симптомы рефлюкса (расслабление пищеводного сфинктера) • Назначается консервативное лечение рефлюкса • Не установлено улучшается ли контроль над астмой при устранении рефлюкса
Ринит, синусит, полипоз • Помнить о возможном развитии астмы у всех пациентов с аллергическим ринитом • Острый и хронический синусит может ухудшать течение БА • Лечение ринита может уменьшить симптомы астмы (уровень доказательности А) • Клинические проявления синусита могут быть неспецифичны и требуют инструментального обследования
• Детей с полипами следует обследовать для исключения муковисцедоза и синдрома неподвижных ресничек
Формы выпуска § § § § § ДАИ ДПИ Турбухалер Система «легкое дыхание» Спинхалер Мультидиск Р-р д/ингаляций Таблетки/сироп Р-р д/парентерального введения
ДАИ
Д АИ – легкое дыхание
Мультидис к
Турбухалер
Спинхалер
ДАИ со спейсером
Спейсеры
Небулайзерная терапия
Распределение частиц по дыхательному тракту > 10 мкм носоглотка 5 -10 мкм трахея 1 - 5 мкм бронхи 0. 5 -1 мкм альвеолы <0. 5 мкм остаются взвешенными и выходят при выдохе
Преимущества ингаляции через небулайзер § Отсутствие необходимости координации вдоха с ингаляцией § Простота (маска, загубник) § Возможность доставки высоких доз § Возможность регидратации бронхов § Возможность ингаляции при ОФВ 1 <35% § Возможность включения в контур ИВЛ § Единственный способ доставки ингаляционных а/б §Предпочтителен компрессорный аппарат
Препараты для ингаляции через небулайзер § Пульмикорт § Кромогексал § Вентолин § Беротек § Беродуал § Атровент § Сальгим § Лазолван §Флуимуцил/Флуимуцил антибиотик
Пациент 14 лет, в течение 3 х лет - не леченный аллергический ринит. В течение последнего года частые эпизоды навязчивого кашля, последние 2 месяца - ежедневные приступы затрудненного дыхания, эпизоды непродуктивного кашля, ночные приступы удушья 2 -3 раза в неделю. При исследовании ОФВ 1 – 70% от должного. При пробе с бронходилататором (сальбутамол 400 мкг) ОФВ 1 увеличился на 40% от исходного.
Определение степени тяжести астмы у пациента: Симптомы: ежедневно; ночные приступы – 2 -3 раза в неделю; Функция легких: ОФВ 1 = 70% от должного Дневные симптомы Ступень I Интермиттирующая Ступень III Средней тяжести персистирующая < 1 в неделю Нет симптомов и нормальная ПСВ между обострениями >1 в неделю, но< 1 в день Обострения могу т нарушать активность Ежедневно Обострения нарушают активность Ступень IY Тяжелая персистирующая Постоянные Ограничение физической активности Ступень II Легкая персистирующая Ночные симптомы ОФВ 1 Вариабельность ПСВ Ј 2 в месяц і 80% <20% > 2 в месяц і 80% 20 -30% > 1 в неделю 60 -80% >30% Частые Ј 60% >30% Диагноз пациента: среднетяжелая персистирующая бронхиальная астма.
Ступенчатая схема терапии бронхиальной астмы (адаптировано из GINA, рекомендаций Союза педиатров) Степень тяжести Препараты для регулярной терапии Определение объема терапии, показанной пациенту: Ступень 1 Интермиттирующая астма Необходимость отсутствует У пациента среднетяжелая персистирующая бронхиальная астма Ступень 2 Легкая персистирующая астма Низкие дозы ИГКС Ступень 3 Среднетяжелая персистирующая астма Низкие - средние дозы ИГКС + ингаляционные ДДБА Ступень 4 Тяжелая персистирующая астма Высокие дозы ИГКС + ингаляционные ДДБА + один или, при необходимости, более из перечисленных препаратов: пролонгированные препараты теофиллина, антагонисты лейкотриена, пероральный ГКС В соответствии с рекомендациями GINA и Союза педиатров, показано назначение ИГКС в низкой-средней дозе в комбинации с ДДБА – СЕРЕТИД МУЛЬТИДИСК 50/100 мкг 2 р/сутки
Мальчик 5 лет, в течение 2 х лет – обструктивные бронхиты 3 -4 раза в год.
В течение последних двух месяцев, после перенесенного ОРВИ – постоянный навязчивый кашель. Ребенок просыпается от кашля по ночам 1 -2 раза в неделю. 1 месяц назад участковый педиатр направил ребенка на консультацию с предположительным диагнозом «Бронхиальная астма» , однако родители от консультации отказались. Однако сейчас, в связи с сохраняющимися ежедневными приступами кашля родители пришли на консультацию к аллергологу. Объективно – рассеянные свистящие и крупнопузырчатые хрипы. В связи с кашлем и возрастом ребенка ФВД и пик-флоуметрия технически невыполнимы.
Дневные симптомы Определение степени тяжести астмы у пациента: Ночные симптомы Ступень I Интермиттирующая затруднительно Ј 2 в месяц < 1 в неделю Нет симптомов, Норм. ПСВ между обострениями Ступень II >1 в неделю, но <1 > 2 в месяц Легкая в день персистирующая Обострения могут т нарушать активность Ступень III Ежедневно > 1 в неделю Средней тяжести. Обострения нарушают персистирующая активность Ступень IY Постоянные Тяжелая ограничения персистирующая физической активности Частые ОФВ 1 Вариабельность ПСВ і 80% <20% і 80% 20 -30% 60 -80% >30% Ј 60% >30% Диагноз пациента: Легкая? среднетяжелая, ? персистирующая бронхиальная астма.
Ступенчатая схема терапии бронхиальной астмы (адаптировано из GINA, рекомендаций Союза педиатров) Степень тяжести Препараты базисной терапии Ступень 1 Необходимость отсутствует Интермиттирующая астма Ступень 2 Легкая персистирующая Низкие дозы ИГКС астма Ступень 3 Низкие/средние дозы ИГКС Средне-тяжелая + ингаляционные ДДБА персистирующая астма Ступень 4 Тяжелая персистирующая астма Высокие дозы ИГКС + ингаляционные ДДБА + пролонгированные теофиллины, антагонисты лейкотриенов, пероральные ГКС
НО: • • • Затянувшийся приступ Симптомы ранним утром Маленький возраст ребенка Тяжесть астмы не уточнена Вероятная некооперативность родителей
Предлагаемая терапия – ИГКС+ДДБА (напр. Серетид 10050) в течение 3 месяцев с возможным переходом на низкие дозы ИГКС
Девочка 9 лет, в течение 1 года приступы кашля, затрудненного дыхания 4 -5 раз в неделю. Ночные приступы 2 -3 раза в неделю. Получала терапию инталом 2 ингаляции 2 раза в день в течение 4 месяцев. Состояние практически без динамики. Объективно – резко ослабленное дыхание, единичные свистящие хрипы. ПСВ 200
Определение степени тяжести астмы у пациента: Симптомы: практически ежедневно; ночные приступы – 2 -3 раза в неделю; Функция легких: ПСВ = 60% от должного Дневные симптомы Ночные симптомы Ступень I Интермиттирующая Ј 2 в месяц < 1 в неделю Нет симптомов, Норм. ПСВ между обострениями Ступень II >1 в неделю, но <1 > 2 в месяц Легкая в день персистирующая Обострения могут т нарушать активность Ступень III Ежедневно > 1 в неделю Средней тяжести. Обострения нарушают персистирующая активность Ступень IY Постоянные Тяжелая ограничения персистирующая физической активности Частые ОФВ 1 Вариабельность ПСВ і 80% <20% і 80% 20 -30% 60 -80% >30% Ј 60% >30% Диагноз пациента: среднетяжелая персистирующая бронхиальная астма.
Степень тяжести Определение объема терапии, показанной пациенту: У пациента среднетяжелая персистирующая бронхиальная астма ИГКС+ ДДБА Ступень 1 Интермиттирующая астма Ступень 2 Легкая персистирующая астма Препараты базисной терапии Необходимость отсутствует Низкие дозы ИГКС Ступень 3 Низкие/средние дозы ИГКС Средне-тяжелая + ингаляционные ДДБА персистирующая астма Ступень 4 Тяжелая персистирующая астма Высокие дозы ИГКС + ингаляционные ДДБА + пролонгированные теофиллины, антагонисты лейкотриенов, пероральные ГКС
На приеме через 7 дней: Терапия серетидом в течение недели – без клинического эффекта. Объективно – ослабленное дыхание, рассеянные сухие хрипы.
Спирометрия: ЖЕЛ 82% ФЖЕЛ 97% ОФВ 1 62% ОФВ/ФЖЕЛ 64% ПОС 57% МОС 25 41% МОС 50 28% МОС 75 26%
Учитывая выраженный бронхоспазм средних и мелких бронхов, девочке проведена небулайзерная терапия вентолином, после чего получен прирост 100 -120% на средних и мелких бронхах. Дальнейшая терапия серетидом привела к стабилизации состояния.
Мальчик 8 лет, страдает бронхиальной астмой с 3 х лет. Базисная терапия фликсотидом 250 мкг 2 раза в день. По настоянию родителей находится на домашнем обучении. Со слов приступы 1 -2 раза в год на фоне ОРВИ.
Спирометрия: ЖЕЛ 90% ФЖЕЛ 92% ОФВ 1 70% ОФВ/ФЖЕЛ 68% ПОС 67% МОС 25 70% МОС 50 58% МОС 75 57%
Отсутствие приступов при минимальной физической нагрузке и контактах. Функция легких нарушена.
Степень тяжести Определение объема терапии, показанной пациенту: У пациента среднетяжелая персистирующая бронхиальная астма ИГКС+ ДДБА Ступень 1 Интермиттирующая астма Ступень 2 Легкая персистирующая астма Препараты базисной терапии Необходимость отсутствует Низкие дозы ИГКС Ступень 3 Низкие/средние дозы ИГКС Средне-тяжелая + ингаляционные ДДБА персистирующая астма Ступень 4 Тяжелая персистирующая астма Высокие дозы ИГКС + ингаляционные ДДБА + пролонгированные теофиллины, антагонисты лейкотриенов, пероральные ГКС
астма с задачами обновленная 2010г.ppt