2f9663dcfc1c9e760d4615049df186c3.ppt
- Количество слайдов: 41
Bronchial Carcinoid Tumors Heather Wheeler, MD February 4, 2010
Case Presentation 12 yo M presenting in July 2009 with fever, cough, chest pain, vomiting and diarrhea. – Admitted to OSH and treated with IV abx – Sx improved – Persistent RLL abnormality on CXR CT Chest done Oct 2009 → well-circumscribed lesion in RLL adjacent to bronchus intermedius, with distal infiltrate and bronchiectasis Developed recurrent PNA Oct 2009. Presented to CHMC Nov 2009.
Case Presentation PMH: hypospadias, neonatal jaundice, infection/sepsis workup at 1 mo, T&A x 2, tympanostomies, sinusitis, reactive airway disease, overweight FH: seasonal allergies in mom SH: Lives with parents and 3 siblings. Parents smoke outside the house. PE: decreased breath sounds in RLL
Case Presentation 1/11/10: bronchoscopy – Area of inflammation and swelling compressing the RLL bronchus with multiple large blood vessels 1/11/10: thorascopic RL lobectomy – 10 cm mass – Inflammatory adhesions around the RLL – Purulent drainage from RLL
Case Presentation Pathology: typical carcinoid tumor, 3. 5 cm, neg margins, obstructive and organizing PNA Staging workup: – CT A/P = thickening of the terminal ileum – Bone scan = no metastases
Bronchial Carcinoid: Definition A group of pulmonary neoplasms characterized by neuroendocrine differentiation and indolent clinical behavior, but are recognized as malignant due to their ability to metastasize. Can arise in GI tract, lung, thymus, ovary. – Lung is 2 nd most common location
Epidemiology Incidence = 0. 2 -2 per 100, 000 –F>M – Caucasian > Black Bronchial carcinoid is 20 -30% of all carcinoid tumors Most common primary lung neoplasm in children – 50 -80% of all malignant pulmonary neoplasms in childhood and adolescence
Epidemiology Typically presents in late adolescence – Small study by Wang et al in 1993 showed age range 12 -21 with average of 17 (N=25). Typical carcinoid is 4 x more common than atypical
Risk Factors Unknown Association with smoking unclear Familial carcinoid related to MEN 1 (esp foregut carcinoid) Other familial pulmonary carcinoid not related to MEN have been described
Histology and Classification Low-grade neuroendocrine carcinoma Arises from Kulchitsky cells (in epithelium of bronchial mucosa) Have capacity to synthesize neuropeptides Cytoplasmic dense core granules visible on EM +IHC staining for synaptophysin, NSE, and chromogranin
Histology and Classification Sheets, nests, and cords of monotonous small cells Round-oval nuclei with inconspicuous nucleoli Stippled nuclear chromatin Delicate vascular network
Histology and Classification Necrosis Metastases 10 -yr survival Typical Mitoses (per 10 HPFs) <2 none 5 -20% 82 -97% Atypical 2 -10 Present, often punctate 30 -70% 31 -74%
Typical Carcinoid
Typical Carcinoid
Atypical Carcinoid
Atypical Carcinoid
Clinical Features Potential for locally aggressive growth Low metastatic potential Can arise from lobar bronchi (75%), mainstem bronchi (10%), within lung parenchyma (15%) – 65% right-sided 6% of typical and 50% of atypical present with metastatic disease Overall, local invasion or distant metastases in 27%
Clinical Features Children are less likely than adults to be asymptomatic Symptoms are manifestations of: – intraluminal growth – release of vasoactive substances – potential to metastasize Often a delayed diagnosis Duration of symptoms prior to diagnosis is 2 wks to 2. 6 yrs, average of 1 yr (Wang et al, 1993)
Clinical Features Wheezing (due to mechanical obstruction or release of serotonin into airways) Atelectasis *Chronic cough *Recurrent PNA *Hemoptysis – endobronchial location – hypervascularity Weight loss Hoarseness *typical triad
Clinical Features Paraneoplastic syndromes are rare (<5%) – Low incidence of hepatic mets – Foregut carcinoids lack aromatic amino acid decarboxylase, can’t make serotonin or its precursors (as opposed to midgut tumors that often can) Serum chromogranin A levels are lower – Can use CGA levels to follow advanced/metastatic disease
Carcinoid Syndrome Caused by release of vasoactive peptides Cutaneous flushing, diarrhea, bronchospasm Long term: telangiectasias, R heart valvular disease, retroperitoneal fibrosis Elevated urinary 5 -HIAA – Not as sensitive as for midgut carcinoids Found in 80% of pts with hepatic mets
Cushing’s Symptoms Most common cause of ectopic production of ACTH Seen in 1 -2% of pts Usually from small tumors Acute onset, with hyperkalemia Is suppressed by dexamethasone
Diagnosis CXR – – 75% have abnormal CXR Round/ovoid mass 2 -5 cm Hilar or perihilar CT chest – 5 -20% have mediastinal or hilar LAD Bronchoscopy – 75% amenable to bx (centrally located) – Intact overlying bronchial epithelium Peripheral lesions: CT-guided bx/aspiration vs operative resection
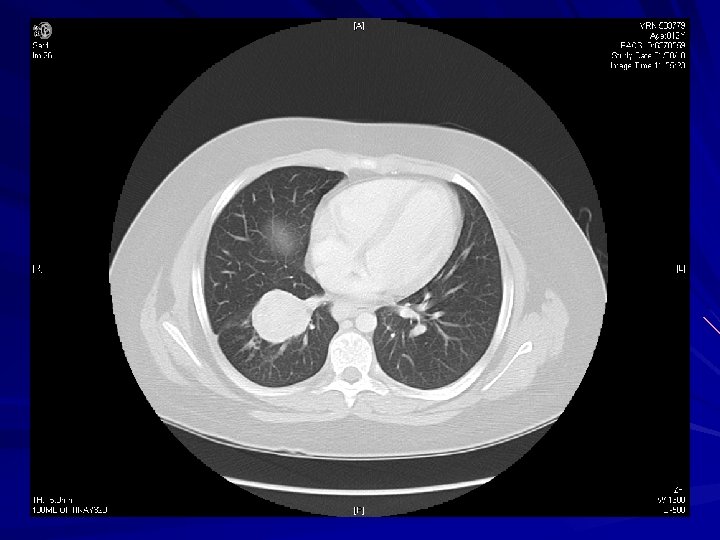
Typical Appearance on CXR/CT
Typical Appearance on CT
Typical Gross Appearance
Bronchoscopy
Staging Use TNM system for bronchogenic lung carcinomas Typical carcinoids usually present in Stage I Atypical carcinoid usually Stage II or III May not be relevant to carcinoid – Large tumors have similar prognosis as small tumors – 10 -year survival is as high as 90% even with N 1 or N 2 disease
Preoperative Evaluation CXR CT chest/abdomen/pelvis – Liver = most common site of metastasis Bronchoscopy Bone scan PFTs Octreotide scan – Low specificity – Used to identify metastatic disease
Bronchoscopy Assesses feasibility of bronchoplastic procedure Allows endoscopic debulking (w/ or w/o laser) Can visualize base implant to plan operative treatment Treats airway obstruction
Treatment Primarily surgical – Parenchyma-saving resections (bronchial sleeve or bronchoplastic procedures) – Lobectomy – Pneumonectomy Need 5 mm margins Complete mediastinal LN dissection – Necessary due to high incidence of LN mets – Improves oncologic results of parenchymasparing techniques
Parenchyma-Sparing Operations Preserves functional lung Sleeve resection Bronchoplastic procedures (wedge or flap resections) Indicated for polypoid tumors of the mainstem bronchus or bronchus intermedius Associated with higher rate of bronchial stenosis
Lobectomy (or wedge resection or segmentectomy) Avoids risk of postoperative stenosis (except in sleeve lobectomy) May be required when there is associated parenchymal pathology (atelectasis, bronchiectasis, PNA) Limited resections are acceptable for typical carcinoid due to low likelihood of local recurrence
Pneumonectomy High risk Correlated with poor quality of life Non-harmonic growth of the chest with resultant skeletal problems
Endobronchial Laser Therapy Not curative due to extraluminal spread (iceberg phenomenon) Some groups do definitive resection with laser, in very select groups of pts Indications: – Central airway obstruction in poor surgical candidates (palliative) – For planning surgical procedure – Polypoid intraluminal tumors with visualization of distal margin, no bronchial wall involvement, and no LAD on CT
Adjuvant Treatment Role is undefined Most agree unnecessary for completely resected typical carcinoid Consensus guidelines suggest chemo. RTX for resected Stage II or III atypical carcinoid
Surveillance Not well defined Currently no consensus guidelines for adult or pediatric populations
Prognosis Of childhood lung malignancies, carcinoid has the best prognosis Typical – Present at an early stage – Respond well to treatment – 82 -97% 10 -year survival Atypical – Present at a more advanced stage – 31 -74% 10 -year survival
References Dishop MK, Kuruvilla S. Primary and Metastatic Lung Tumors in the Pediatric Population: A Review and 25 -Year Experience at a Large Children's Hospital. Arch Pathol Lab Med. 2008 July; 132(7): 1079 -1103. Gaissert HA, Mathisen DJ, Grillo HC, et al. Tracheobronchial sleeve resection in children and adolescents. J Pediatr Surg. 1994 Feb; 29(2): 192198. Lal DR, Clark I, Shalkow J, et al. Primary epithelial lung malignancies in the pediatric population. Pediatr Blood Cancer. 2005 Oct 15; 45(5): 683 -6. Rizzardi G, Marulli G, Calabrese F, et al. Bronchial carcinoid tumours in children: surgical treatment and outcome in a single institution. Eur J Pediatr Surg. 2009; 19: 228 -231. Spunt SL, Pratt CB, Rao BN, et al. Childhood carcinoid tumors: the St. Jude Children’s Research Hospital experience. J Pediatr Surg. 2000 Sept; 35(9): 1282 -1286. Thomas CF, Jett JR. “Bronchial carcinoid tumors. ” Up. To. Date. July 1, 2009. Wang LT, Wilkins EW, Bode HH. Bronchial carcinoid tumors in pediatric patients. Chest. 1993; 103: 1426 -1428.
2f9663dcfc1c9e760d4615049df186c3.ppt