Болезни печени-лекция.ppt
- Количество слайдов: 89
БОЛЕЗНИ ПЕЧЕНИ
Печеночный ацинус • -Первая зона- (темные гепатоциты) интенсивный метаболизм протеинов и синтез плазменных белков • -Третья зона- (светлые гепатоциты) преобладает обмен липидов и ксенобиотиков • -Вторая зона-промежуточное положение • Зональная гетерогенность -динамическая и функциональная структура как в норме, так и при патологии
Морфология заболеваний печени • • дистрофия некроз воспалительная инфильтрация фиброз
Дистрофии • гиалиново-капельная • гидропическая • жировая
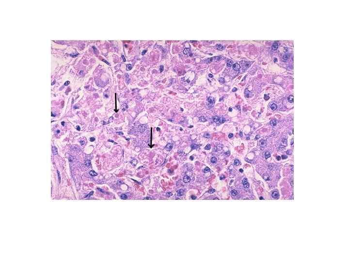
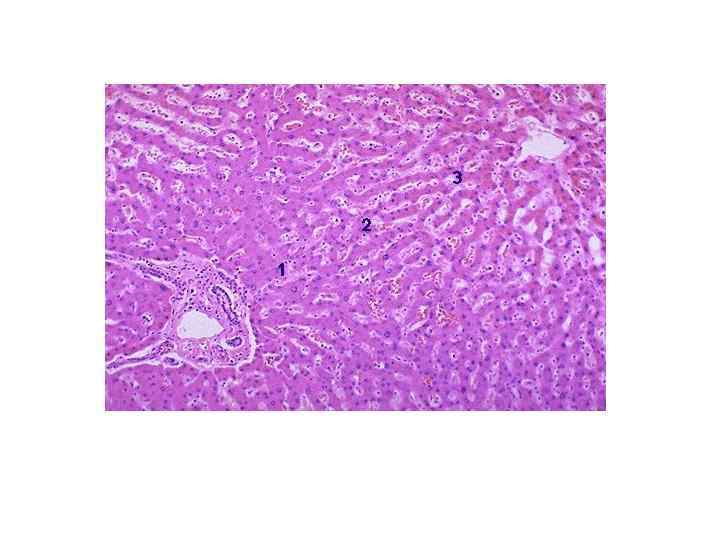
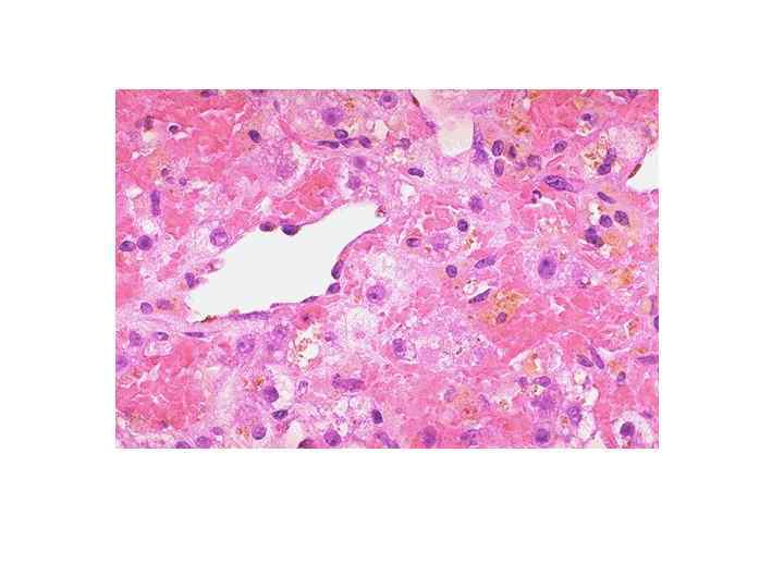
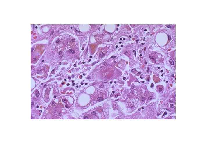
Некроз • моноцеллюлярный (тельца Каунсильмена)-гепатоциты уменьшены в объеме с пикнотизированными ядрами • зональный-чаще в 3 зоне, так как интенсивнее обмен ксенобиотиков • ступенчатый (перипортальный и перисептальный) -некроз гепатоцитов пограничной пластинки • мостовидный (порто-портальный и порто-центральный)некроз гепатоцитов в виде мостиков • мультилобулярный- распространенный обширный некроз • Некрозы, как правило, маскируются воспалительным инфильтратом
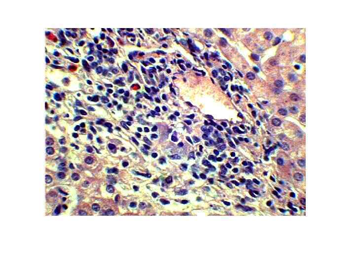
Воспалительная инфильтрация • • -портальная -интралобулярная (зональная) -в синусоидах Преимущественно лимфоциты и гистиоцитарные элементы
Фиброз • -перигепатоцеллюлярный-увеличение коллагеновых волокон на синусоидальной поверхности гепатоцита • Формирование базальной мембраны и перицеллюлярный фиброз затрудняют обмен между гепатоцитами и кровью. Гепатоциты подвергаются атрофии, развивается диффузный фиброз
Фиброз • -зональный (центролобулярный) • Развивается при ХВГ, алкогольном поражении печени, нарушении оттока по печеночным венам. Приводит к образованию соединительнотканных септ, располагающихся от центральной вены к портальному тракту • септальный- образование септ-перемычек • мультилобулярный- исход массивных некрозов
Клинико-морфологические параллели • цитолитический синдром (повышение Ас. АТ и Ал. АТ в сыворотке)- в основе лежит НЕКРОЗ клетки- нарушение внутриклеточных метаболических процессов, активация прооксидантных систем • астеновегетативный-в основе интоксикация, связанная с нарушением детоксицирующей функцией печени • интоксикация- порто-кавальное шунтирование • -внутрипеченочное- капилляризация, портоцентральные септы • -внепеченочное-фиброз портальных полей, портальная гипертензия
Клинико-морфологические параллели • холестаз и желтуха-нарушение оттока желчи по протокам, снижение секреторной функции гепатоцитов • синдром гепатомегалии- отек, выраженный фиброз, жировая дистрофия и др. • болевой синдром- растяжение капсулы Глиссона за счет увеличения печени • синдром спленомегалии- полнокровие • геморрагический-уменьшение уровня факторов свертывания
Хронический гепатит • этиологическая принадлежность • активность процесса • стадия заболевания
ХРОНИЧЕСКИЙ ГЕПАТИТ (классификация, Лос-Анджелес, 1994) • • ВИРУСНЫЙ АУТОИММУННЫЙ ЛЕКАРСТВЕННЫЙ КРИПТОГЕННЫЙ
ХРОНИЧЕСКИЙ ГЕПАТИТ • МОРФОЛОГИЧЕСКАЯ ДИАГНОСТИКА НАИБОЛЕЕ ВАЖНА ДЛЯ • -ОПРЕДЕЛЕНИЯ АКТИВНОСТИ • -СТАДИИ ЗАБОЛЕВАНИЯ • НО НЕ ЭТИОЛОГИЧЕСКОЙ ПРИНАДЛЕЖНОСТИ И ФАЗЫ ЦИКЛА ВИРИОНА
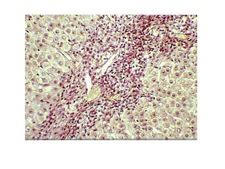
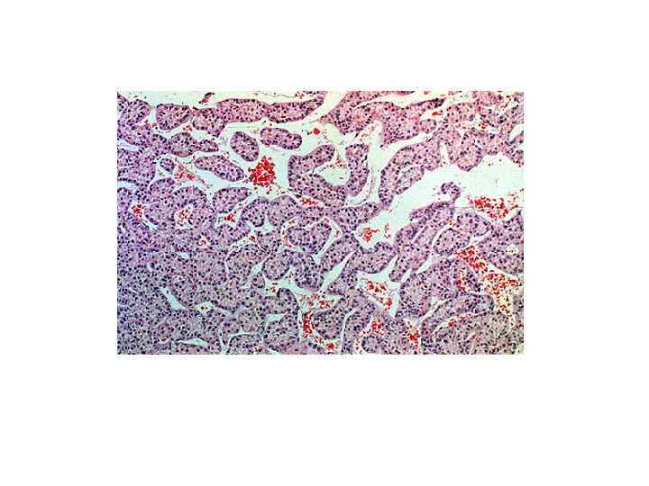
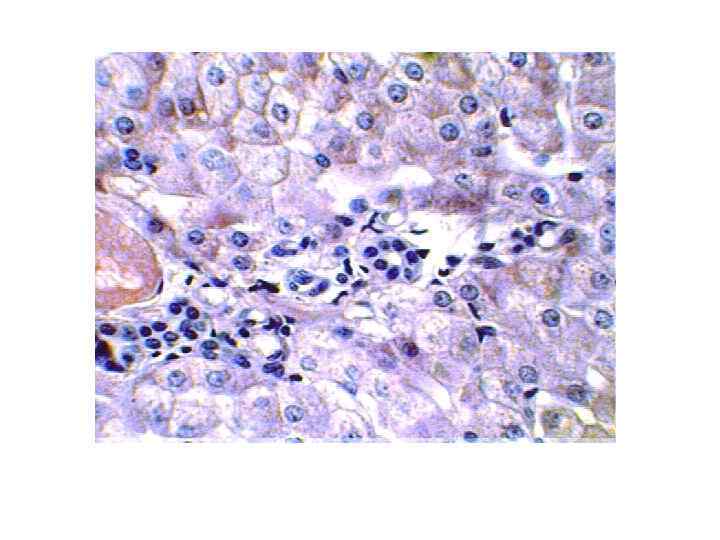
Активность ХВГ (French METAVIR Cooperative Study Group, 1994) • -определение основано на оценке выраженности некрозов (А) • А 0 -нет некрозовоспалительной активности • А 1 -минимальная активность • А 2 -умеренная активность • А 3 -выраженная активность
ШКАЛА АКТИВНОСТИ АКТИВНОСТЬ Ступенчатые некрозы Лобулярные некрозы 0 Отсутствуют Отс. или единичные 1 Единичные Умеренные 2 Умеренные Множественные 3 Множественные -
Минимальная степень активности ПТ ПТ
Умеренная степень активности ПТ ПТ
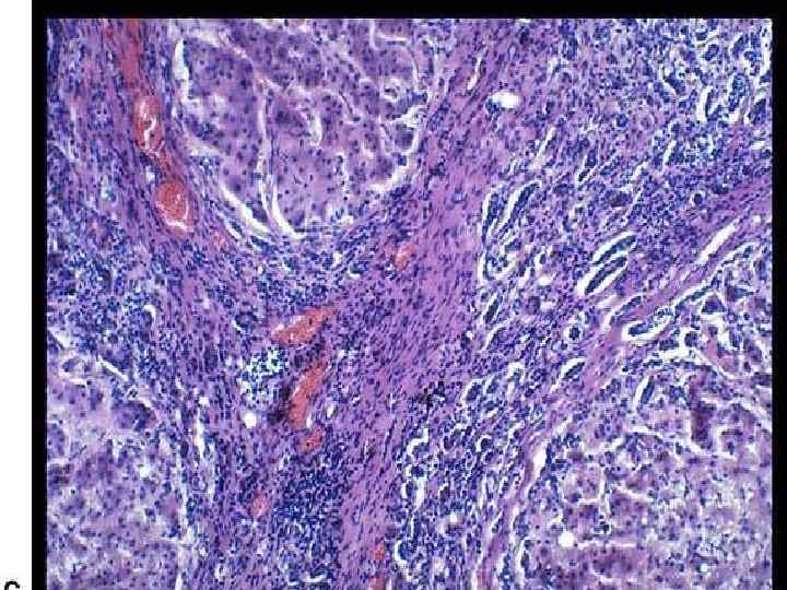
Выраженная степень активности ПТ
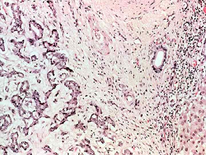
Стадия хронизации ХГ ОЦЕНИВАЕТСЯ ПО ХАРАКТЕРУ ФИБРОЗА (F) -О- нет фиброза -1 - портальный фиброз без септ -2 - портальный фиброз с единичными септами • -3 - множество септ без цирроза • -4 - цирроз • •
Патогенез фиброза • -нарушение баланса между процессами синтеза и распада внеклеточного матрикса с преобладанием процессов образования внеклеточных матричных компонентов • -важнейшие участники фиброгенезазвезчатые клетки (клетка Ито)
Патогенез фиброза Гепат Тромбоц Лимфоц АА и ПОЛ ЗК Кол 1 Кол 3, 4 ФН Ламинин ММП
Патогенез фиброза Матричные металлопротеиназы Коллагеназы Желатин, коллаген Коллаген 1, 3, 4 4 типа Стромилизины Ламинин, фибронектин
Факторы прогрессии фиброза • -возраст (чем раньше, тем хуже), особенно в младенчестве • -мужской пол • -алкоголь (более 50 -80 грамм в сутки-в пересчете на чистый этанол) • -способ инфицирования (гемотрансфузии) • -генотип HCV( 1 b) • -вирусная нагрузка • -нагрузка железом
ХРОНИЧЕСКИЙ ГЕПАТИТ (алгоритм диагностики) • вначале исключается ВИРУСНЫЙ и АУТОИММУННЫЙ • затем исключается ЛЕКАРСТВЕННЫЙ • при исключении вышеназванных можно говорить о КРИПТОГЕННОМ
ХРОНИЧЕСКИЙ ВИРУСНЫЙ ГЕПАТИТ • -более 2 млрд. имеют признаки текущей или завершившейся HBV инфекции • -400 млн. хронических носителей HBV и более 200 млн. HCV • -более 700 000 ежегодно умирают от последствий ХВГ и ЦП • - ежегодно более 500 000 случаев выявления ПКП
Хронический вирусный гепатит • Наиболее часто вызывается гепатотропными вирусами типа В, С, D, G • HDV всегда сочетается с HBV • HAV и HEV не вызывают ХВГ • Очень важна фаза жизненного цикла вириона (репликация или отсутствие)
ХВГ В (HBV) • -высокая контагиозность ( в 100 раз больше чем при HIV) • -повреждение гепатоцитов в большей степени связано с иммуноопосредованными реакциями • -процент хронизации после острого гепатита-510% • -протекает малосимптомно, часты безжелтушные формы
ХВГ С (HСV) • - характеризуется генетической гетерогенностью вириона • -прямой цитопатический эффект • -частота хронизации 75 -85 % • -преимущественно безжелтушные формы
Хронический лекарственный гепатит (механизмы развития) • -прямая гепатотоксичность (НПВС, противопухолевые препараты и др. ) • -идиосинкратический ответ (изониазид, метилдопа и др. ) • -холестатические реакции (оральные контрацептивы, метилтестостерон и др. )
Хронический лекарственный гепатит Микро: • -гранулематоз • -наличие в инфильтрате большого количества эозинофилов • -холестаз (внутри- и внеклеточный)
Хронический аутоиммунный гепатит • -отсутствие серологических маркеров гепатитов В, С, D, G • -наличие в крови специфических аутоантител • - большое количество плазматических клеток в инфильтрате портальных трактов в биоптате • -положительный эффект иммуносупрессивной терапии
Прогноз ХВГ • - возраст, пол, давность заболевания • -тип вируса, генотип вириона (HCV) • -преобладающий вариант иммунного ответа • -сопутствующая патология
Алкогольная болезнь печени (факторы риска) • -генетическая обусловленная чувствительность к алкоголю • -скорость метаболизма в печени (активность АДГ) • -женский пол • -дефицит белка и витаминов • -злоупотребление алкоголем с молодого возраста • -инфицированность вирусами гепатита В, С
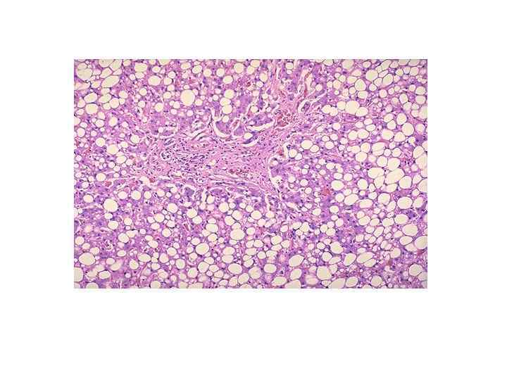
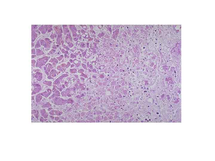
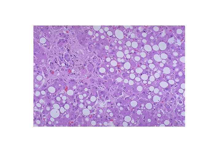
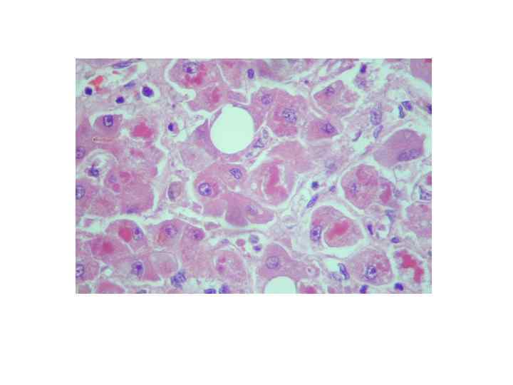
Алкогольная болезнь печени • - стеатоз (наиболее частая форма) • - острый алкогольный гепатит • - веноокклюзионная болезнь
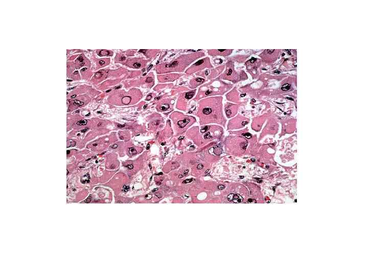
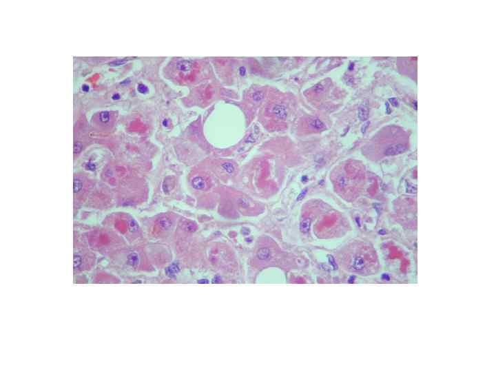
Алкогольная болезнь печени (морфология) • -микровезикулярная жировая дистрофия (менее благоприятна) • -макровезикулярная жировая дистрофия • -очаговые интралобулярные некрозы с преимущественно нейтрофильной инфильтрацией • -алкогольный гиалин (тельца Маллори)
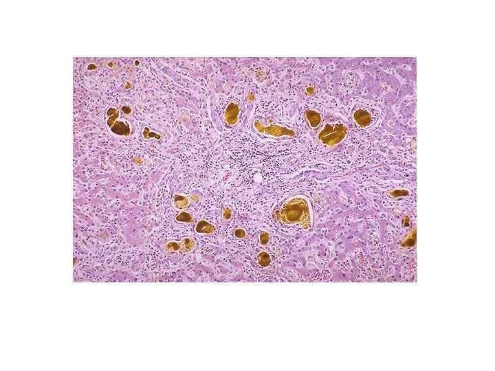
ЦИРРОЗ ПЕЧЕНИ (этиология) • -вирусные гепатиты (В±D, особенно C, G) • -алкоголь • -метаболические расстройства (дефицит альфа 1 антитрипсина, гликогеноз и др. ) • -длительный холестаз (внутри- и внепеченочный) • -обструкция печеночных вен (синдром Бадда. Киари, констриктивный перикардит и др. ) • -токсические агенты и лекарственные вещества
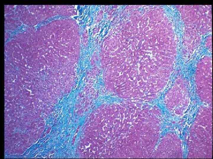
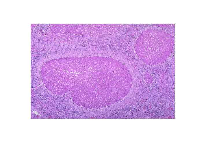
Цирроз печени • -диффузный процесс, который характеризуется избыточным развитием фиброзной ткани и образованием регенераторных узлов с нарушением архитектоники печени и развитием внутрипеченочных сосудистых анастомозов. • МАКРОскопически выделяют: • -микронодулярный (узлы 1 -3 мм) • -макронодулярный (более 3 мм) • -смешанный
ЦИРРОЗ ПЕЧЕНИ МИКРО • -МОНОЛОБУЛЯРНЫЙ- узелок образуется на территории одной дольки, в узле отсутствуют портальный тракты и центральные вены • -МУЛЬТИЛОБУЛЯРНЫЙ- узелки образованы несколькими дольками, портальные тракты и центральные вены есть
Внепеченочные проявления цирроза • -желтуха • -портальная гипертензия (асцит, спленомегалия, варикоз вен ЖКТ, передней брюшной стенки) • -печеночная энцефалопатия • -геморрагический диатез • -пептические язвы ЖКТ
Портальная гипертензия (патогенез) • -постсинусоидальный блок кровотока в печени (сдавление веточек воротной вены разрастанием фиброзной ткани) • -перисинусоидальный фиброз • -наличие артериовенозных анастомозов в септах (передача печеночного артериального давления на воротную вену)
Осложнения цирроза • -печеночная кома • -почечная недостаточность • -кровотечение из варикозно расширенных вен (25%), из язв и эрозий ЖКТ (10%), тромбоз воротной вены • -инфекционные осложнения (пневмония, сепсис, асцит-перитонит)
Злокачественные опухоли печени -Гепатоцеллюлярная карцинома -Холангиоцеллюлярный рак -Смешанный гепатохолангиоцеллюлярный рак -Гепатобластома
Злокачественные опухоли печени • МАКРО- три формы -узловая -диффузная -массивная Ткань серого цвета, зеленовато-серого цвета, плотной консистенции с очагами кровоизлияний и зонами распада
Злокачественные опухоли печени • МИКРО-крупные эозинофильные опухолевые клетки, которые складываются в трабекулы (гепатоцеллюлярный рак) -структуры аденокарциномы разной степени зрелости (холангиоцеллюлярный) -опухолевые клетки, напоминающие эмбриональные и фетальные (гепатобластома)
Болезни печени-лекция.ppt