omf_2_kurs_2_rub_111111_2.ppt
- Количество слайдов: 67
Бауыр абцессі А. Абцесс қуысы
Өт қабығының аденокарциномасы • • А. Бауырға инфильтрациялаушы ісік Б. Өт қабы В. Тастар
Мультиформалы глиобластома • • А. Глиобластома Б. Сүйелді дене
Астроцитома • А. ісік тіні • Б. оң жақ шеткері қарынша • В. сол жақ шеткері қарынша
Пилоцитарлы астроцитома • А. сопақша ми • Б. мишықтың пилоцитарлы астроцитомасы
Менингиома • • А. Парасагиттальді менингиома Б. Маңдайлық улес В. Мозолистое тело Г. Шеткері қарыншалар
Менингиома • • • А. өзгермеген тін Б. жұмсақ милы қабықша В. Ісік тіні Г. жасушалық кластералар
Менингиома • А. менинготелиальді типтің жасушалық кластерлері • Б. Ядролық псевдоинклюзиялар
Мишық және ми бағаны Медуллобластома • • А. медуллобластома Б. ми бағаны В. мишықк Г. төртінші қарынша
Мишық медуллобластомасы • А. митоздар • Б. розетка түріндегі жасуша кластерлері
Бас миының метастазды карциномасы • А. гиппокамп • Б. метастаздар
Вильмс ісігі • А. өзекшелер • Б. Ісік тіні • В. строма
Бүйрек үсті безі. Ганглионейробластома • • А. ганглиозды жасушалар Б. нейропиля В. нейробласттар
Сүт безі рагі • • А. ісік жасушаларының инвазиясы Б. май тіні В. строма Г. өзгермеген протоки
Меланома • А. айқын емес контур • Б. пигментацияның қараңғы ошақтары
Меланома • • А. эпидермис Б. Атипті жасушалардың ұясы В. жалғыз атипті жасушалар
Меланома • • • А. меланоманың атипті жасушалары Б. тамырлар В. митоз фигуралары Г. Меланин пигменті Д. ірі эозинофильді ядрошықтар
Диспластикалық невус • А. айқын емес контур • Б. ашық пигментация • В. қою пигментация
Хондросаркома • А. Ісік тіні
Алып жасушалы сүйек ісігі • • А. өзгермеген тін Б. ісік тіні В. қан құйылу
Инфекциялық эндокардит • А. вегетациялы перфорирленген аортальный қақпақша
Инфекциялық эндокардит • А. фибрин • Б. қабынулық инфильтрация • В. бактериялар
Ашофф гранулемасы • А. Ашоффтың жалғызядролы жасушалары • Б. Ашоффтың көпядролы жасушалары
Жіті ревматикалық қызба кезіндегі миокард • А. Ашофф гранулемалары
Бактериальді эндокардит кезіндегі митральді қақпақша • А. вегетациялар • Б. бактериялар (темно-синего цвета) • В. абсцесс аймағы
Атипиялық дерматит кезіндегі қабыну инфилтраты Б В • • А. тамыр Б. лимфоцитарлық инфильтрация В. эозинофилдер А
Рефлюкс эзофагит (биопсия) А Б В А. жалпақ зэпителийінің өзгермеген жасушалары Б. эозинофил В. нейтрофил Г. лимфоцит Г
Крона ауруы Б А • А. казеозды емес гранулема • Б. шырышты қабық
Өкпе. Созылмалы гралематозды ауру кезіндегі абцесс Б А • • • А. абсцесс қуысы Б. мононуклеарлы фагоцитарлы инфильтрат
Қалақанша бездің папилярлы рагы А Б • А. қалқанша бездің паренхимасы • Б. ісік тіні (папиллярлы рак)
Жатыр лейомиомасы А Б А • • • А. мойын Б. жұмыртқа В. ісік (лейомиома)
Жұмыртқаның эмбрионалды карциномасы синцитиотрофобласпен тбірге А Б А. Эмбрионалды карцинома Б. синцитиотрофобласт
Экзема кезіндегі серозды дерматит • А. эпидермис везикуласы, серозды экссудатпен толған • Б. жасушаның тікенекті қабатының дискомплексациясы • В. дерманың толақандылығы
Инфекциялық эндокардит Б А В • А. фибрин • Б. бактерия колониясы • В. қабыну инфильтраты
Тұмаулық ошақтық пневмония А Б Г В Д • Бронх арасындағы лейкацитарлы эксудат (А), бронх эпителийі аздап қысылған(Б), бронх қабырғасындағы лейкацитарлы инфильтрация(В) қан, тамырлар толақандылығы(Г), қан құйылу(Д).
Уремия кезіндегі фиброзды перикардит Б А А. Фибринозды қабаты бар эпикарт беті Б. Перикардиалды сөмке
Продуктивті ревматоидты миокардит А • Үлкен гиперхромды макрофагы бар стромадағы (перевоскулярлы) Ашоффа-Талалаевасы гранулемасы фибриноидты А- некрозы бар лейкоциттермен
Асқыну кезіндегі созылмалы тонзилит • • • ДИСТРОФИялық некротикалық өзгерістер жаралану ошақтары инфильтративті нейтрофилденген лейкоциттермен (1) Атрофиланған лимфоидты фоликулдар стромадағы склероз (2) Кеңейтілген лакуналарда нейтрофильді лейкоциттер және бакретиялар ошақтары (3)
Созылмалы асқазан ойық жарасы • • 1. ФИБРИНОЗды- іріңді ЭКССУДАТ 2. ФИБРИНОИДты НЕКРОЗ 3. ГРАНУЛЯрлы тін 4. склерозданған және гиалинозданған тамырлары бар тыртықтанған тін
Асқазан полипті Шырышты қабықпен қапталған асқазан арнасындағы жалпақ негізді кішкентай экзофидті түзілім ГИСТОЛОГИялық - аденома
Созылмалы аппендицит Қалыпты көлемдегі құрт тәрізді өсінді, сірлі қабаты тегіс, жарқыраған, сұрғылт, қабырғасы қалыңдаған, тығыздалған, саекалардың түзілісімен
Жайылған фибринозды іріңді перитонит Ішек ілмектері толыстанған (ішек парезі, динамикалық ішек өтімсіздігі) құрсақта фибринозды массивті қабаттасулар
ДИФТЕРИя кезіндегі дифтериялық тонзиллит • 1 - ФИБРИНОЗды қабық • 2 -қан тамырлар толақандылығы мен нейтрофилды лейкоциттердің жиналуы бар демаркационды зона
ФЛЕГМОНОЗды АППЕНДИЦИТ • Құрт тәрізді өсінді көлемі ұлғайған, қабырғасы қалыңдаған, іріңге диффузды сіңген беті бос қызғылт көк, толақанды қан тамырларымен, шашырқайы толақанды, іріңді және қан құйылу ошақтарымен
Өкпе туберкулезі А Б В • А. Казеозды некроз • Б. Бронх • В. Қалыпты өкпе паренхимасы
Гона ошағы с кальцификациямен Б В А Г • • А. Гона ошағы Б. Трахея В. Бронх Г. Өкпе
Казеозды некроз А Б В • А некрозды аймақ • Б. Эпителиалды жасуша • В. Алып жасуша
ЖұмыртқаныңГранулематозды қабынуы В А Б • А. Некроз • Б. Эпителиалды жасуша • В. Алып Пирогова-Лангханс жасушасы
Бүйрек үсті безінің Гранулематозды қабынуы А Б • А. Некроз • Б. Алып бір ядролы жасуша
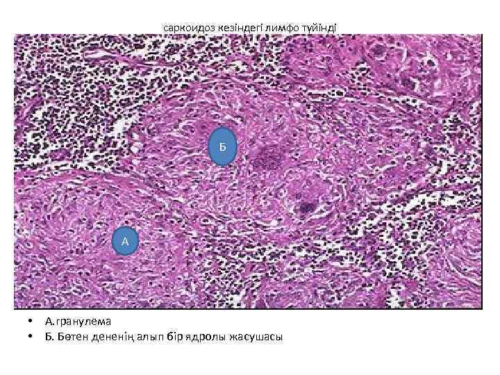
саркоидоз кезіндегі лимфо түйінді Б А • • А. гранулема Б. Бөтен дененің алып бір ядролы жасушасы
саркоидоз кезіндегі өкпе А Б А. Саркаидоз кезіндегі гранулема Б. Бөтен дененің алып бір ядролы жасушасы
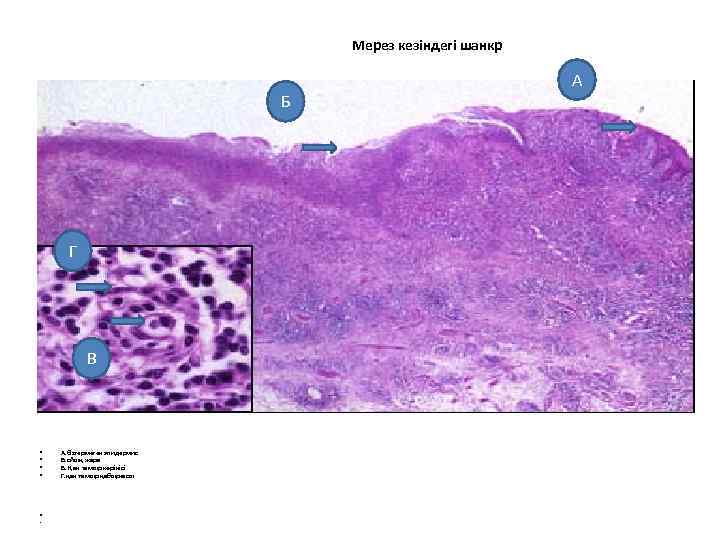
Мерез кезіндегі шанкр Б • А. Плазматикалық жасушалар
Мерез кезіндегі шанкр Б Г В • • А. Өзгермеген эпидермис Б. ойық жара В. Қан тамыр көрінісі Г. қан тамыр қабырғасы • • А
Аналық жыныс жасуша мен жатыр түтігінің қабынуы • • • А. Фаллопий түтіктері Б. Өзгермеген аналық жыныс жасушасы В. Жатыр Г. Жатыр мойыны Д. Тубоовариальді қабыну
Фаллопий түтіктерінің жедел қабынуы • • • А. Бұлшық етті қабырға Б. Шырышты қабықтың қабынулық инфильтрациясы Р. Түтіктегі қабыну жасушалары
Жамбас астауы мүшелерінің қабынуы. Фаллопий түтігі • • • А. Просвет трубы Б. Слизистая оболочка В. Подслизистая Г. Плазматические клетки Д. Нейтрофилы
Аралас қабынулық инфильтрат • А. эозинофилдер • Б. плазматические клетки • В. макрофагтар
Өкпе рагі • А. Өспе тіні
Өкпе туберкулезі • • • А. казеозды некроз 2. вал эпителиоидты жасушалардың В. Пирогова-Лангханс алып жасушалары
Бронхопневмония • 1. пневмония ошағы • 2. абсцесс
Бронхопневмония • • 1, пневмония ошағы 2. өзгермеген өкпе тіні
Екіншілік туберкулез • А. қуыс • Б. консолидацич ошақтары
Аденоматозды полип Аденоматозный полип А. Железы Б. железистый эпителий • А. бездер • Б. безді эпителий
Ерте асқазан рагі • А. Ойық жара • Б. Түйінді шырыш
Ерте асқазан рагі • • А. Шырыштың бұлшықеттік пластинкасы Б. Шырышасты қабаты В. Бұлшықеттік қабат Г. Ісік
Инвазивті асқазан карциномасы • А. бұлшықетті пластина • Б. карцинома, инфильтратты серозды қабық
Созылмалы холецистит • А. Фиброз • Б. Изъязвление және қабыну • В. Шырышты қабық некрозы
omf_2_kurs_2_rub_111111_2.ppt