Атипичные пневмонии (2).pptx
- Количество слайдов: 48
Атипичные пневмонии
Определение: Пневмония – это клинически манифестирующая острая инфекция легочной ткани, объективным признаком которой является выявляемая при лучевом исследовании пневмоническая инфильтрация.
Атипичные пневмонии: Болезнь легионеров (легионеллез) , пневмония вызываемая Legionella pneumophilla; Микоплазменная пневмония , вызываемая Mycoplasma pneumoniae; Пневмонии вызываемые Chlamydia pneumoniae , Chlamidia psittaci ( пситтакоз, орнитоз).
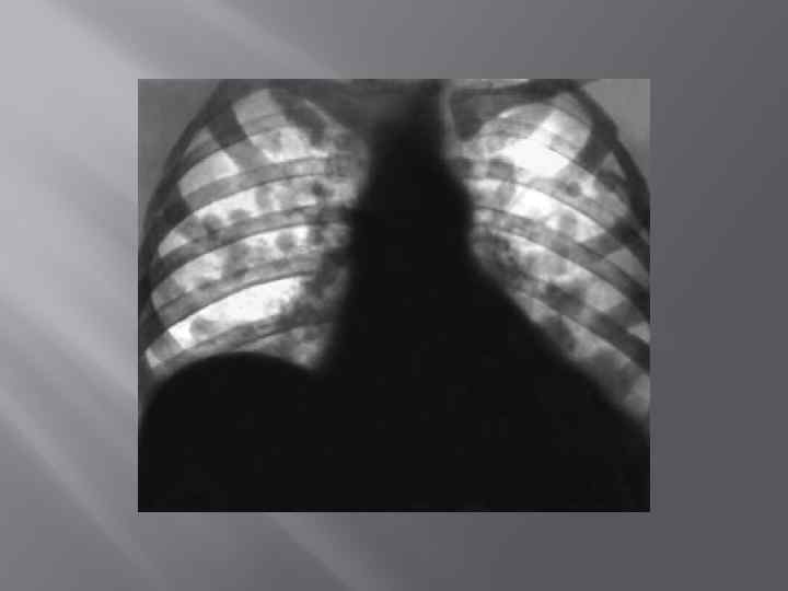
Болезнь легионеров
Рентгенограмма больного с правосторонней легионеллезной пневмонией.
Развитие заболевания: Период предболезни может характеризоваться пребыванием человека в помещениях, вентилируемых с помощью систем кондиционирования , а также выполнение работы, связанной с водной средой, промышленными стоками, канализацией, душем. К факторам риска относятся: хронический алкоголизм, курение, наличие сопутствующей хронической бронхопульмональной патологии, сахарный диабет, мужчины среднего возраста.
Начало заболевания Инкубационный период составляет от 2 до 10 дней( в среднем 7 суток). Болезнь начинается с недомогания, общей слабости, головных, мышечных, суставных болей. Нередко появляются нарушения походки, атаксия, затруднение речи, иногда потеря сознания.
Фаза разгара заболевания Начинается с 4 -7 дня , и характеризуется появлением кашля ( в начале сухого) , а затем с отделением слизистой мокроты, часто с примесью крови, у многих больных мокрота слизисто-гнойная. Может наблюдаться выраженная одышка. Отмечаются так же боли в животе, диарейный синдром(частые поносы, урчание в животе, что стимулирует острую кишечнуб инфекцию). В период разгара заболевания могут поражаться другие органы и системы( желудочно- кишечные нарушения, поражение печени, почек, ЦНС).
Фаза разрешения легионеллезной пневмонии начинается с 3 -й недели. Наличие бронхоэктазов и других факторов( онкологический процесс в легком) замедляют разрешение.
Фаза развития осложнений может характеризоваться появлением выраженной дыхательной недостаточности, развитием инфекционно-токсического шока, отека легких. Возможно развитие ДВС синдрома, инфаркта легких, желудочными , кишечными, маточными кровотечениями, кровохарканьем, гематурией.
Летальный исход Летальность при легионеллезной пневмонии колеблется от 5 % у ранее здоровых лиц без сопутствующих заболеваний до 20% у пациентов без адекватного лечения. Исход пневмонии связан с наличием иммунодефицита, ранним назначением макролидов, дающих быстрый положительный “обрывающий” эффект уже через 48 ч (легионелла резистентна к пенициллинам), и развитием осложнений.
Органопатотопография: Поражение дыхательной системы: чаще поражаются нижние доли легких, что физикально регистрируется как притупление перкуторного звука, скудные!!! данные аускультации легких при значительных инфильтративных изменения в легких; часто встречается плеврит; Поражение желудочно-кишечного тракта : токсический гастрит , колит(боли в эпигастральной области, рвота, диарея) Поражение печени: токсический гепатит( увеличение ее размеров, гипербилирубинемия, синдром цитолиза с повышением в крови уровня аланиновой аминотрансферазы); Поражение почек : токсический нефрит( микрогематурия , протеинурия, возможно развитие ОПН); Токсическое поражение ЦНС( головная боль, головокружение, парестезии, бред, галлюцинации, потеря сознания)
Этиология заболевания Атипично текущая пневмония расценивается как легионелезная при обнаружении диагностического титра антител к легионелезным антигенам
Методы Таблица. Лабораторная диагностика инфекции Legionella spp. Цель Применяемые тесты Культуральные Выделение возбудителя Иммунологические Обнаружение антител Выращивание на питательных средах: агар ВСУЕа, угольнодрожжевой агар, легионеллобактагар Непрямая в крови Обнаружение Прямая антигена в клиническом иммунофлуоресценция материале иммунофлуоресценция Выявление Иммуноферментный метод растворимого антигена в моче (Legionella pneumophila, серогруппа 1) Молекулярно- Обнаружение специфических нуклеотидных ДНК (РНК)-зонды, биологические полимеразная цепная реакция последовательност с праймерами mip гена, гена 5 S или ей 16 S р. РНК
Эффект от лечения: Особенностью легионеллезной пневмонии является внутриклеточное расположение возбудителя (внутри альвеолярных макрофагов и других клеток). Оптимальными препаратами для лечения легионеллезной пневмонии являются препараты, накапливающиеся в высоких концентрациях внутри фагоцитов и хорошо проникающие в бронхиальный секрет. Легионелла высокочувствительна к макролидам (эритромицину и особенно к новым макролидам: азитромицину, рокситромицину, кларитромицину и др. ), тетрациклинам , фторхинолонам, рифампицину, триметоприму, сульфаметоксазолу.
Препаратом первого ряда является эритромицин. Его можно применять внутрь по 0. 5 г 4 раза в день, однако пероральный прием не всегда дает стабильные результаты и часто вызывает диспептические расстройства (тошноту, рвоту, боли в животе). Поэтому предпочтение отдается внутривенному введению эритромицина фосфата или эритромицина аскорбината капельно по 1 г в сутки (встречаются рекомендации до 2 -4 г в сутки) в изотоническом растворе натрия хлорида или 5% растворе глюкозы в концентрации не более 1 мг/мл. Внутривенное введение эритромицина продолжают в течение 5 -7 дней. Однако у ряда больных лечение эритромицином может оказаться неэффективным в связи с отсутствием бактерицидного эффекта. В этом случае можно рекомендовать азитромищн (сумамед), рокситромицин, кларитромицин. Достаточно эффективны тетрациклины, особенно доксициклин и миноциклин, а такжерифампицин (по 0. 15 -0. 3 г каждые 6 ч внутрь). Прием этих препаратов может продолжаться 10 -14 дней. Наиболее выраженная активность в отношении легионелл наблюдается у фторхинолонов: ципроф-локсацина, офлоксацина, нефлоксацина, ломефлоксацина, флероксацина, спарфлоксацина. При особо тяжелом течении рекомендуется имипенем (тиенам).
Микоплазменная пневмония
Боковая рентгенограмма больного с левосторонней пневмонией, вызванной Mycoplasma pneumoniae
Микоплазмы- особый вид микроорганизмов. Они не имеют клеточной стенки. По морфологии и клеточной организации микоплазмы сходны с L-формами бактерий, по размерам приближаются к вирусам.
Развитие заболаения Предболезнь. Микоплазменная пневмония наиболее часто встречается в тесно взаимодействующих колекктивах, среди детей и молодых лиц( средний возраст 5 -35 лет). Развитию пневмонии предшествует клиника поражения верхних дыхательных путей.
Начало и разгар заболевания Микоплазменная инфекция имеет инкубационный период, который составляет около 3 -х недель. Начало болезни постепенное. Больных беспокоит умеренная слабость, кашель. Характерными особенностями кашля являются его длительность и пароксизмальный характер. Наблюдаются приемущественно катаральные явления ринит, фарингит. Температура субфебрильная. Разгар. Указанные симптомы нарастают к 5 -7 дню, и характеризуются увеличением проявлений интоксикации( температура поднимается до 39 -40 *)
И может держатся в течение недели, затем она снижается до субфебрильной и держится на этом уровне еще 7 -12 дней. Характерным признаком микоплазменной пневмонии является продолжительный и сильный кашель с отделением небольшого количества мокроты( не менее 15 дней)
Разрешение и исход: В целом течение микоплазменной пневмонии чаще всего не тяжелое, но длительное. Однако в ряде случаев возможно и тяжелое течение; оно обусловлено тяжестью самой пневмонии или присоединением внелегочных проявлений микоплазменной инфекции.
Развитие осложнений Развите осложнений характеризуется присоединением внелегочных проявлений микоплазменной инфекции.
Органопатотопография: Поражение дыхательных путей: Верхние дыхательные пути( фарингит, трахеит, бронхит). Нижние дыхательные пути( пневмония, плевральный выпот, формирование абсцесса) Внелегочные проявления: Гематологические( гемолитическая анемия, тромбоцитопеническая пурпура) Желудочно-кишечные( гастроэнтерит, гепатит, панкреатит) Сердечно-сосудистые(миокардит, перикардит) Дерматологические( полиморфная эритема) Неврологические( менингит, менингоэнцефалит, ) Генерализованные инфекции( полилимфоаденопатия, септикопиемия)
Этиология заболевания: Клеточная структура микоплазмы приспособлена к рецепторному прикреплению к клеточным мембранам хозяина. В ответ в клетках хозяина возникает воспалительная реакция. При этом доминирующими прямыми эффектами являются гиперемия и экссудация полиморфно-ядерными лейкоцитами. Ответная реакция организма хозяина — образование Ig. G- и Ig. M-антител. Предполагается, что основные клинические проявления заболевания обусловлены не столько прямым действием инфекции, сколько агрессивным ответом организма хозяина. Стало быть, пневмония, вызванная данным агентом, является, скорее всего, постинфекционным феном гиперсенситивности, опосредованной Т-лимфоцитами. В пользу этой теории свидетельствуют задержка проявлений пневмонии, отсутствие микоплазменного антигена в случаях фульминантного течения заболевания и трудности идентификации патогенного агента во всех жидкостях организма, кроме мокроты.
Эффект от лечения: Микоплазма высокочувствительна к эритромицину и новым макролидам (азитромицину, кларитромицину и др. ), причем новые макролиды более эффективны, чем эритромицин, и считаются препаратами 1 ряда. Тетрациклины также эффективны при микоплазменной пневмонии. К β- лактамным антибиотикам (пенициллинам, цефалоспоринам) микоплазма устойчива.
Пневмонии , вызванные хламидиями.
Пневмонии, вызванные . Chlamidia pneumoniae
Развитие заболевания: Предболезнь. В возрасте 20 лет специфические антитела к Chl. pneumonia обнаруживаются у половины обследованных, с увеличением возраста их процент увеличивается. Заболевают чаще лица молодого возраста. Начало и разгар заболевания. По своему развитию эта пневмония сходна с микоплазменной, она так же развивается постепенно. Заболевание начинается сухим кашлем, вначале он упорный, непродуктивный, а затем начинается отделение мокроты( в отличие от микоплазменной пневмонии). Температура тела обычно субфебрильная, но при этом не сопровождается ознобами. Беспокоит головная боль, однако интоксикация выражена не резко. Исход заболевания. Летальность при данной пневмонии составляет около 9%. Возможно также развитие осложнений, характеризующееся внелегочными проявлениями.
Органопатотопография: Поражение дыхательных путей трахеобронхит, назофарингит, Внелегочные проявления( менингоэнцефалит, реактивный артрит, миокардит, гастроэнтерологические проявления) Нетипичные показатели- отсутствие нейторфильного сдвига и лейкоцитоза в периферической крови.
Пневмония, вызванная Chlamidia psittaci
Развитие заболевания: Предболезнь. Характеризуется контактом с пернатыми( канарейки, голуби, попугаи, чайки, утки), работа орнитологом. Начало и разгар заболевания. Инкубационный период составляет 1 -3 недели. Заболевание начинается остро, с повышения температуры до 39*, развивается сильная интоксикация, миалгии, возможна рвота, исчезает аппетит. С 3 -4 дня появляется сухой кашель, в дальнейшем отделяется мокрота слизисто-гнойная( возможна примесь крови). Повышение температуры и рентгенологическая картина могут сохраняться до 46 недель.
Органопатотопография Поражение органов дыхания: притупление перкуторного звука( далеко не всегда!!!), аускультативно- жесткое дыхание, мелкопузырчатые хрипы, нередко сухие хрипы. Чаще локализюуется процесс в нижней доле справа. Внелегочные проявления ( гепато- и спленомегалия у 50% больных!, поражение нервой системы: заторможенность, менингельный синдром, иногда бред)
Эффект от лечения: При пневмониях, вызванных хламидиями, высокой эффективностью обладают новые макролиды (азитромицин , окситромицин, кларитромицин) Альтернативными препаратами являются тетрациклины.
Частота клинических признаков при пневмониях различной этиологии Признаки Микоплазменная пневмония (n=44) Хламидийная пневмония (n=16) Бактериальные пневмонии (n=30) абс. число % 19 25 43, 2 56, 8 4 12 25 75 29 1 96, 7 3, 33 Температура тела: - 37, 1 - 37, 9 0 C - 38, 0 - 38, 9 0 C - 39, 0 - 39, 9 0 C - > 40, 0 0 C 2 21 21 0 4, 6 47, 7 0 11 5 0 0 68, 7 31, 3 0 0 0 9 16 5 0 30 53, 3 16, 7 Головная боль 28 63, 6 8 50 10 33, 3 Осиплость голоса 34 77, 3 8 50 1 3, 3 Ринит 7 15, 9 12 75 2 6, 7 Начало болезни: - острое - постепенное
Кашель: - сухой - влажный 29 15 65, 9 34, 1 7 9 43, 7 56, 3 5 25 16, 7 83, 3 Приступообразн ый кашель 41 93, 2 9 62, 5 5 16, 7 Боли в грудной клетке 25 5 6, 8 9 56, 3 29 96, 7 20 5 0 45, 5 11, 4 0 3 6 0 18, 8 37, 5 0 0 19 6 0 63, 3 20 5 10 1 11 6 3 3 28 11, 4 22, 7 2, 3 25 13, 6 6, 8 63, 6 0 0 4 1 1 0 0 5 0 0 25 6, 3 0 0 31, 3 0 0 0 1 1 0 0 3 0 0 0 3, 3 0 0 10 Характер мокроты: - слизистая - слизистогнойная - гнойная Внелегочные симптомы: - отит - макулопапулезная сыпь - артралгия - боли в животе - тошнота - рвота - диарея - миалгия
Перкуторны й звук: - легочной - притупление Дыхание: - везикулярное -жесткое -ослабленное везикулярное Хрипы: - отсутствие - влажные и/или крепитация - сухие и влажные 14 30 31, 8 68, 2 5 11 31, 2 68, 8 2 28 6, 7 93, 3 1 18 25 2, 3 40, 9 56, 8 1 4 11 6, 2 25 68, 8 0 4 26 0 13, 3 86, 7 4 10 9 21 9, 1 22, 7 20, 5 47, 7 2 10 1 3 12, 5 6, 3 18, 8 1 25 0 4 3, 3 83, 4 0 13, 3
Таблица 2 Признаки Рентгенологическая картина легких у больных пневмонией микоплазменной, хламидийной и бактериальной этиологии Хламидийная пневмония Микоплазменная пневмония (n=44) (n=16) абс. число Бактериальные пневмонии (n=30) абс. число % 1 6, 3 0 0 Норма 2 % 4, 5 Усиление легочного рисунка -ограниченное -распространенное 4 6 9, 1 13, 6 2 3 12, 5 18, 8 0 0 Усиление легочного рисунка с перибронхиальной, периваскулярной инфильтрацией 20 45, 5 2 12, 5 0 0 Пневмоническая инфильтрация: - сегментарная - полисегментарная - долевая 2 6 4 4, 6 13, 6 9, 1 1 5 2 6, 3 31, 2 12, 5 4 15 11 13, 3 50 36, 7 Локализация пневмонической инфильтрации: - правосторонняя - левосторонняя - двусторонняя 27 5 12 61, 4 11, 4 27, 3 5 8 3 31, 3 50 18, 8 18 8 4 60 26, 7 13, 3 Выпот в плевральную полость 0 0 1 6, 3 4 13, 3
Рекомендации по режиму дозирования антимикробных препаратов, применяемых при микоплазмнной и хламидийной пневмониях Препараты Внутрь Парентерально Примечания Макролиды Азитромицин В 1 -й день 0, 5 г, далее - по 0, 25 г/сутки или по 0, 5 г каждые 24 часа За 1 ч до приема пищи Джозамицин 0, 5 г каждые 8 часов Кларитромицин 0, 5 г каждые 12 часов Независимо от приема пищи Медикамицин 0, 4 г каждые 8 часов За 1 ч до приема пищи Рокситромицин 0, 15 г каждые 12 часов За 1 ч до приема пищи Спирамицин 3 млн. МЕ каждые 12 часов 1, 5 млн. МЕ каждые 8 часов Независимо от приема пищи Эритромицин 0, 5 каждые 6 часов 0, 5 -1, 0 г каждые 6 -8 часов Внутрь за 1 ч до приема пищи Тетрациклины Вибрамицин (доксициклин) 0, 1 г каждые 12 часов или в 1 -й день 0, 2 г, далее по 0, 1 г каждые 12 часов 24 часа Юнидокс солютаб 0, 1 г каждые 12 часов или в 1 -й (доксициклина день 0, 2 г, далее по 0, 1 г каждые моногидрат) 24 часа Независимо от приема пищи Новые фторхинолоны Гатифлоксацин 0, 4 г каждые 24 часа Независимо от приема пищи Левофлоксацин 0, 5 г каждые 24 часа Независимо от приема пищи Моксифлоксацин 0, 4 г каждые 24 часа Независимо от приема пищи
Критерии диагноза легионеллеза Наличие эпидемиологических факторов( наличие кондиционеров, работа в ваннах и т. д) Анализ вышеописанной клинической картины Использование Ноттингемских критериев Выделение легионелл из иокроты, плеврального выпота. Рост легионелл в культуре- важнейший диагностический признак, т. к. легионеллы не являются представителями нормальной микрофлоры Определение легионелл с помощью ИФА, ПЦР
Ноттингемские критерии легионеллеза В ПЕРВЫЕ 24 ЧАСА ПОСТУПЛЕНИЯ БОЛЬНОГО 1) Предшествующее заболивание, протекавшее с токсикозом и гипертермией( не менее 39* в течение 4 -5 дней) 2) Кашель, диарея, нарушение сознания 3) Лимфоцитопения(лимфоцитов не менее 10*10 9/л) в сочетании с лейкоцитозом( лейкоцитов не менее 15*10 9/л) 4) Гипонатриемия( менее 130 ммоль/л) В ПОСЛЕДУЮЩИЕ 2 -4 СУТОК 1) Рентгенологическое подтверждение уплотнений в легких( несмотря на обычную терапию антибиотиками) 2) Нарушение функции печени при отсутствии очевидного гепатита- уровань биллирубина или аминотрансфераз более чем в 2 раза превышает верхний предел нормы) 3) Гипоальбуминемия ( уровень альбуминов менее 25 г/л)
Критерии диагноза микоплазменной пневмонии Постепенное начало с коротким продромальным периодом, острый фарингит, ринит, трахеит, интенсивный продолжительный кашель с вязкой, трудноотделяемой мокротой Малая выраженность физикальных признаков пневмонии Наличие внелегочных проявлений: гемолитической анемии, миокардита, перикардита, гепатита, кожных высыпаний Положительные результаты серологической диагностики Обнаружение антигенов микоплазмы в мокроте с помощью моноклональных антител
Критерии диагнозf пневмонии, вызванной Chlamidia pneumoniae Молодой возраст пациента Упорный продолжительный кашель Наличие клиники фарингита бронхита Приемущественно итерстициальные изменения при рентгенологическом исследовании Выявление микроба с помощью ПЦР ИФА
Критерии диагноза пневмонии , вызванной Chlamidia psittaci Указание в анамнезе на бытовой или профессиональный контакт с птицами Острое начало заболевания с выраженным синдромом интоксикации, лихорадкой, кашлем Отсутствие симптоматики поражения верхних дыхательных путей( ринита, трахеита) Приемущественно интерстициальные поражения в легких при рентгенологическом исследовании легких Лейкопения, в сочетании с увеличением СОЭ Определение в крови антител


