1e21f41033196bf2ef910a8146137319.ppt
- Количество слайдов: 50
Atherosklerozda intrakraniyal stentleme Saruhan Çekirge, Serdar Geyik, Kıvılcım Yavuz, Işıl Saatci
İntrakraniyal atheroskleroz: • İK stenoza (50 -99%) bağlı SVO: medikal tedaviye rağmen ilk 1 yıl içinde %11 • WASID çalışması: özll İK stenoz %70 -99 olan hst. lar tüm medikal ted. ye (antitrombotik+vasküler risk faktörlerinin kontrolü) rağmen yüksek risk altında %70+ stenoz: %22 risk ilk 1 yılda medikal ted ile (ASA) warfarin ile artmış kanama riskine bağlı daha kötü • Hst. nın 1 kez semptomatik olması yüksek risk için yeterli ?
SAMMPRIS öncesinde önemli İK stenoz için 3 değişik tedavi yaklaşımı vardı …. • Konservatif yaklaşım: Asemptomatik veya semptomatik lezyonlar ikili antiagregasyon ile tedavi edilir. Lezyon/Hasta bir daha semptomatik olursa stentleme yapılır. . • Kısmen konservatif yaklaşım: Asemptomatik lezyon medikal ted. edilir, fakat semptomatik lezyon tanı sonrası stentlenir. • Agresif yaklaşım: WASID verilerine dayanarak, tüm önemli lezyonlar stentlenir. .
İntrakraniyal kullanılan stentler: • Balonla açılan stentler (çoğ koroner): Bx Sonic/ Velocity (Cordis), R Stent (Orybus), RX Driver (Medtronic), Vision (Guidant), , Express (Boston Scientific), BOA (Balt) etc… • Balonla açılan ilaç kaplı stentler (tümü koroner): Taxus (Boston Scientific), Cypher (Cordis), Endevaour (Medtronic) etc. . • Kendi açılan stentler: Wingspan (Boston Scientific) Neuroform (Boston Scientific) Enterprise (J&J) Solitaire (ev 3/Covidien)
3 yıl kontrol
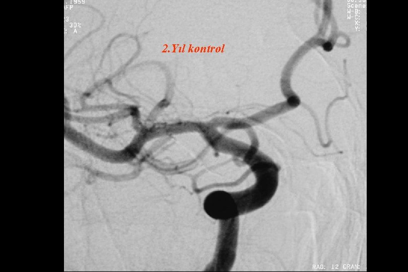
2. Yıl kontrol
Balonla açılan stentler Avantaj / Dezavantajlar • Damar içinde daha iyi açılırlar ve damar duvarına daha iyi yapışırlar • İlaç salınımlı tipleri • Restenoz oranları nispeten düşüktür. Mawad et al İlaç salınımlı olmayanlar: %8 İlaç salınımlı: %5 SSYLVIA çalışması (VA ostial stenozlar dahil olmasına rağmen): restenoz oranı %34 • Stent açılması daha travmatik • İntrakraniyal damarlarda navigasyon daha zor; exchange tel kullanımı gerektirir (distal damar perforasyon riski). . .
11 yıl kontrol MR/MRA
Kendi açılan stentler Avantaj / Dezavantaj • İntrakraniyal navigasyon • Stentin radial gücü damarın daha kolay ve güvenli yeterli açılması için yeterli değil: etkili predilatasyon şart • Stent açılması damar duvarına daha az travmatik Buna rağmen zayıf radiyal güce bağlı stent tekrar eski • Stent boyut seçimi daha haline gelebilir (recoiling). esnek olabilir. • Wingspan ilk yayınlanan (daha büyük; uzunluk). çalışmasında restenoz oranı: % 29. . 50 - yaş ve ant dolaşımda %50’e yükselir • İlaç salınımlı tipleri henüz yok.
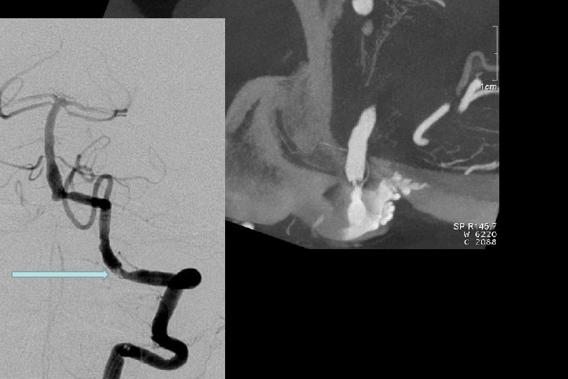
2. yıl kontrol
Atherosklerotik plak morfolojisi Dyna BT Anjiyografi gösterilebilir ve stent tipi buna göre seçilebilir.
Atilla GÜLER-video
Post
1 yıl kontrol
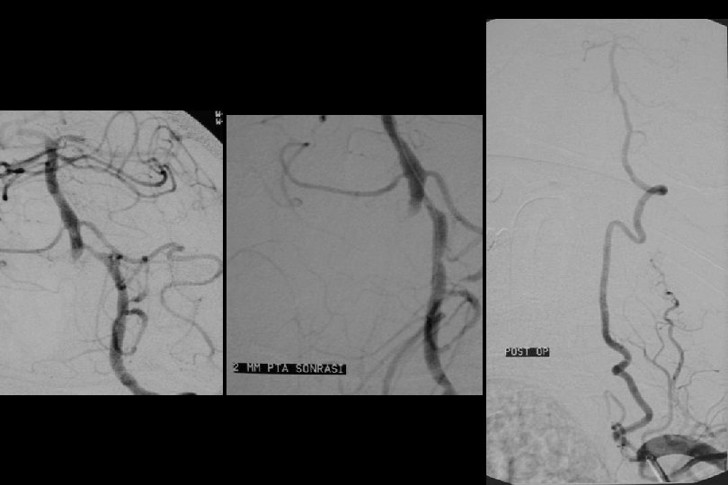
PTA ve Solitaire ile stentleme sonrası
Literatürde intrakraniyal stentleme sonuçları: (BAS) Periprosedürel komplikasyon: %7 -26 (BES) Chow (Ajnr 2005): Semptomatik VB yetmezlik BAS: %23 komplikasyon Jiang WC (Neurology 2006; 66 (12): SSYLVIA: (Stroke: 2004) : Randomize 169 hst semp İK stentleme: olmayan, multi-merkezli, güvenlik ve perforan damar SVO %3 (preop enfarkt performans çalışması. olanlarda: %8. 2; olmayanlarda %0. 8 • Başarı: %95; 30 gün SVO %7. 2; Fiorella (Neurosurgery 2007): 44 hst 47 lezyon (semptomatik ik VB) mortalite yok. başarı oranı: %96; • 1 yıl SVO: %10. 9 periprosedürel teknik morbidite ve mortalite: %26 • Reküren stenoz: %35 restenoz: %12. 5 Lylyk (Neurol Res 2005): 106 hst Suh (AJNR 2008): 100 hst (%70+ stenoz); başarı oranı: %99 Teknik başarı: %98 Adverse olay: %10 (%3 mortalite dahil) 30 gün SVO: %5. 7; ölüm: %3. 7 Stabil hst: 4. 1%; Stabil olmayan hst: %26 iyi klinik sonuç: Stabil hst. da %97% ve stabil olmayan hst. da %67 Restenoz yok
Literatürde Kendi açılan Stent/WINGSPAN ile stentleme sonuçları: • Fiorella et al: Stroke 2007; 38: 881 Prosedürel ve erken postop sonuçlar: 78 hst 82 lezyon Prosedürel başarı: %98. 8 Ted öncesi ortalama stenoz: %74. 6± 13. 9 Tedavi sonrası: %27. 2 ± 16. 7 Majör periprosedürel komplik: %6. 1 Mortalite: %5 • Levy et al: Neurosurgery 2007; 61: 644 Stent içi restenoz ve tromboz: ISR= damar çapı>50% veya postop çap >%20 stenoz 78 hst 84 lezyon (total 129 hst/ 137 lezyon) Ortalama takip: 5. 9 ay Stent-içi restenoz: %29. 7 (25 lezyon) 4 stent tromboz (%4. 8) Tam tromboz: 2=1+stent; 1 early plavix discontd; 1 ant cerebral art (<1. 5 mm) Çoğ. asemp. (%24: semp); 15/29 retx (4 CX); ANT: %42; post: %13
• Genç yaş: ISR 45. 2% vs 24. 2% (55 y sınır) • Ant: %50 > Post: %20 supraklinoid ICA & semptomatikde fazla Turk et al: AJNR 2008; 29: 23 Sadece Anjiyoplasti: Teknik başarı: %80+ CX: %4 -40%; Dezavantajlar: • Hemen elastik ‘recoil’ • Disseksiyon • akut damar oklüzyon • Rezidüel stenoz %50+ • Yüksek restenoz oranı ? ? . .
6 ay kontrol
52 y kadın efektiv/test edilmiş ikili antiagregan ted altında iken multipl TIA Basit PTA sonrası
1. Yıl kontrol
1 yıl kontrol PTA Sonrası
Atherosklerozda intrakraniyal stentleme Hacettepe sonuçları (1998 -2012) • • 156 hst; 158 lezyon, 112 E, 44 K Yaş: 41 -83 67 lezyon ant dolaşımda; 91 post dolaşımda • S 670 -BX Sonic-Cordis/ROrybus/Wingspan/Enterprise/So litarie (74 SE, 84 BE) • 132 hst. da kontrol anjiyografi veya BTA (6 ay - 2 -5 yıl). • 14 lezyonda re-PTA gerektiren restenoz: %10. 6 • 7 mortalite (%4. 5): 4 reperfüzyon hemorajisine bağlı (postop 2. , 4. 6. and 12 saat) ve 3 distal tel perforasyonu (2) ve SVO (1) • 5 hst. da majör SVO (%3. 2) tümü midbaziler veya M 1 stentleme sonrası perforan dal tıkanmasına bağlı; 1’i tam düzelme diğerleri m. RS>2 (%2. 5) • Kalıcı morbidite/ mortalite: %7 • 1 hst bazilar artery ruptürü; kaplı stent ile müdahele: 6. ayda nörolojik kayıp yok.
SAMMPRIS 2011; 365: 993 -1003 Ø Başlangıç 2008 – 2011’de sonlandırıldı. Ø Hst § Semptomatik (> %70 stenoz) § Son 1 ay içinde semptomlar Ø Girişimsel işlemi yapan kişi: § Son ardışık 20 IK- AP/S sonrası değerlendirme ile sertifiye edilmiş. Ø PTAS Sistem § Gateway/Wingspan Ø Medikal tedavi § § SBP <140 mm. Hg (<130 mm. Hg DM varsa) LDL <70 mg/d. L (rasuvastatin) Aspirin + clopidogrel Hayat tarzı değişikliği Ø Primer sonlanım § 30 gün içinde SVO veya ölüm ya da 30 gün sonrasında klinik olarak ilişkili iskemik SVO
2011; 365: 993 -1003 Medikal Tedavi (n=224) Stentleme (n=227) <14 gün Görüntüleme ile değerlendirilen. TIAs - - Eşlik eden SVO mekanizması - - >14 gün sonra tedavi edilen hst oranı 75% %81 TIA 36% %33 Stenoz > 70% 100% %100 Lokalizasyon ICA MCA Baziler Vertebral 22% 46% 22% 10% %20 %41 %22 %17 %11 1. ayda/%25% 1. yılda <10% 1. ayda Tedaviye kadar median süre Öngörülen olay oranı
SAMMPRIS Medikal Tedavi PTAS 30 -gün Risk 1 -yıl Risk Primer sonlanım (öngörülen oran) %5. 8 (%11) %12. 2 (%25) %14. 7 (%<10) %20. 0 (%16) IS 30 gün içinde %5. 3 - %10. 3 - %0 - %4. 5 - ICH 30 gün içinde Orijinal yayında sonuçlar: : İntrakraniyal arteriyel stenozlu hastalarda, agresif medikal tedavi Wingspan sistemi kullanılarak yapılan PTAS’ e üstün i-PTAS sonrası erken SVO oranı yüksek olduğu ii-Sadece agresiv medikal terapi sonrası SVO oranı beklenenden daha düşük olduğu için
SAMMPRIS’den Dersler: Ø PTAS Risklerinin azaltılması gerekli: § Stent tipi § Reperfüzyon hasarı ve tel perforasyonuna bağlı hemorajilerin mümkün olduğunca elimine edilmesi gerekir. § Çoğu iskemik SVO’lar perforator oklüzyonuna bağlıdır § Operatör deneyimi. . ? ? Ø Yüksek riskli grup tanımlanmalı § IC stenozdaki SVO mekanizması önemlidir. Ø Düşük akıma bağlı Ø Arterden artere emboli Ø Plak tarafından perforator oklüzyonu § Lezyon özellikleri
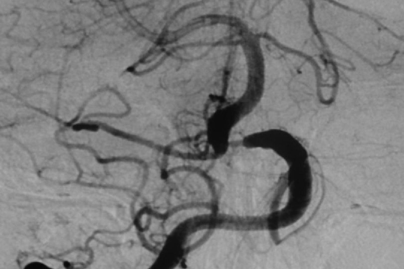
71 y kadın hasta En iyi medikal tedavi altında post fossa iskemik ataklara neden olan baziler stenoz
Sağ brakial yaklaşım ile Reflex /Navien servikal R- VA’e ve intrakraniyal segmente ilerletilmiştir.
• • • Distal Giriş Kateterleri Exchange in minumuma indirilmesi (primer gateway le bypass veya Reflex ve monorail balonla bypass pta balon Mikrokateterden bırakılan stent kullanılması
PTA sonrası
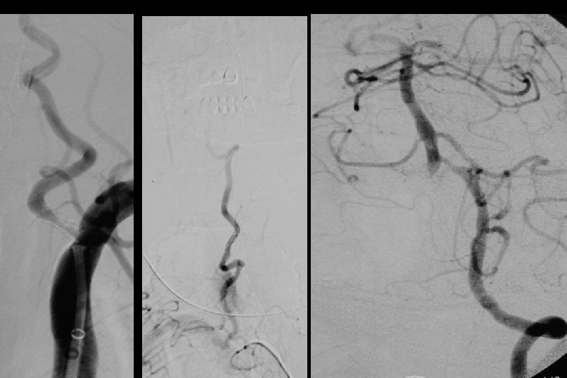
. . 6 mm Solitaire ile Stentleme sonrası
66 mm Solitaire ile post stent
Post stent
Sonuçlar: • İntrakraniyal stenoz ciddi bir klinik durumdur ve hastalar max medikal tedaviye rağmen risk altındadır. Revaskülarizasyon en son çözümdür. • İntrakraniyal stentleme medikal TX nin tek alternatifidir (seçilmiş vakalarda by-pass cerrahi hariç) • Kendi açılan stentleme teknolojisi küçük profilli sistemleri mümkün kılmıştır. Ancak ilaç salınımlı kendi açılan stentlere ihtiyaç vardır. • Yeni stent teknolojisi ile yüksek hacimli merkezlerde yeni bir çalışma planlanabilir.
Teşekkürler …


