Ateroskleroz_russ_2010.ppt
- Количество слайдов: 33
Атеросклероз Убийца номер один!
Определение: Атеросклероз- хроническое заболевание, в основе которого лежит нарушение липидного и белкового обмена, характеризующееся поражением артерий эластического и мышечно-эластического типа в виде отложения в интиме липидов и белков и реактивного разрастания соединительной ткани.
Факторы риска: n n n n возраст пол – у мужчин семейная предрасположенность гиперлипидемия – ведущий фактор риска. Атерогенный индекс 4: 1 и значительно возрастает при атеросклерозе артериальная гипертензия курение сахарный диабет
Основные теории развития атеросклероза. Инфильтрационная теория Н. Н. Аничкова n Тромбогенная теория Рокитанского n Нервно-метаболическая теория А. Л. Мясникова n Иммунологическая теория А. Н. Климова и В. А. Нагорнева. n Вирусная теория n Теория реакции на повреждение n
Патогенез Морфогенез
Анатомические стадии n Жировые пятна и полосы n Фиброзная бляшка n Атероматозная бляшка n Осложненная бляшка n Атерокальцинозная бляшка
Стадии морфогенеза Долипидная, n Липоидоз - жировые пятна и полосы n Липосклероз - фиброзные бляшки n Атероматоз - атероматозные бляшки n Стадия осложнений - изъязвление, кровоизлияние, тромбоз n Атерокальциноз - атерокальцинозная бляшка n
Артериальная стенка (норма)
Липоидоз
Липоидоз
Образование фиброзной бляшки
Атеросклероз коронарных артерий
Атеросклероз аорты
Атеросклероз коронарных артерий Кальций
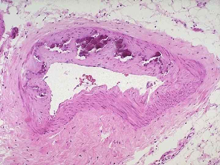
Бляшка, осложненная тромбом
Разрыв покрышки бляшки Покрышка Тромбс тромбозом
Клинико-морфологические формы Атеросклероз n аорты n венечных артерий( ИБС) n головного мозга ( ЦВБ) n почек n кишечника n нижних конечностей
Двоякие изменения: острые изменения - ишемия, инфаркт, гангрена. n хронические - дистрофия, атрофия, склероз. n
Атеросклероз коронарных артерий • Left Coronary Artery. • Anterior Descending (LAD) • Left Circumflex (LCx) • Right Coronary Artery. LCx LAD
Атеросклероз коронарной артерии
Атеросклероз коронарной артерии (кровоизлияние в бляшку)
Атеросклероз коронарных артерий
Тромбоз коронарной артерии и инфаркт
Ангиограмма – эмболия и инфаркт мозга
Стадии атеросклероза Жировые пятна Атерома Осложненные бляшки
Атеросклероз аорты, разрыв аневризмы
Аневризма аорты
Тромбоэмболия
Субарахноидальное кровоизлияние
Ateroskleroz_russ_2010.ppt