d379202e88c647b43d565872a0f57a70.ppt
- Количество слайдов: 100
Artículos de la Revista de la Asociación Americana de Oncología Clínica Journal of Clinical Oncology Volume 26, Issue 34 1 de Diciembre del 2008
Indice 1) Randomized Trial of Postoperative Reirradiation Combined With Chemotherapy After Salvage Surgery Compared With Salvage Surgery Alone in Head and Neck Carcinoma. François Janot, Dominique de Raucourt, Ellen Benhamou, Christophe Ferron, Gilles Dolivet, René-Jean Bensadoun, Marc Hamoir, Bernard Géry, Morbize Julieron, Marine Castaing, Etienne Bardet, Vincent Grégoire, and Jean Bourhis JCO Dec 1 2008: 5518– 5523. 2) Clinical Outcome and Predictors of Survival in Late Relapse of Germ Cell Tumor. David S. Sharp, Brett S. Carver, Scott E. Eggener, G. Varuni Kondagunta, Robert J. Motzer, George J. Bosl, and Joel Sheinfeld JCO Dec 1 2008: 5524– 5529 3) "BRCAness" Syndrome in Ovarian Cancer: A Case-Control Study Describing the Clinical Features and Outcome of Patients With Epithelial Ovarian Cancer Associated With BRCA 1 and BRCA 2 Mutations. David S. P. Tan, Christian Rothermundt, Karen Thomas, Elizabeth Bancroft, Rosalind Eeles, Susan Shanley, Audrey Ardern. Jones, Andrew Norman, Stanley B. Kaye, and Martin E. Gore JCO Dec 1 2008: 5530 – 5536. 4) Body-Mass Index and Progression of Hepatitis B: A Population-Based Cohort Study in Men. Ming-Whei Yu, Wei-Liang Shih, Chih-Lin Lin, Chun. Jen Liu, Jhih-Wei Jian, Keh-Sung Tsai, and Chien-Jen Chen JCO Dec 1 2008: 5576– 5582
Indice 5 ) EGFR Mutations Predict Survival Benefit From Gefitinib in Patients With Advanced Lung Adenocarcinoma: A Historical Comparison of Patients Treated Before and After Gefitinib Approval in Japan Toshimi Takano, Tomoya Fukui, Yuichiro Ohe, Koji Tsuta, Seiichiro Yamamoto, Hiroshi Nokihara, Noboru Yamamoto, Ikuo Sekine, Hideo Kunitoh, Koh Furuta, and Tomohide Tamura JCO Dec 1 2008: 5589– 5595. 6 ) Circulating 25 -Hydroxyvitamin D, VDR Polymorphisms, and Survival in Advanced Non– Small-Cell Lung Cancer. Rebecca Suk Heist, Wei Zhou, Zhaoxi Wang, Geoffrey Liu, Donna Neuberg, Li Su, Kofi Asomaning, Bruce W. Hollis, Thomas J. Lynch, John C. Wain, Edward Giovannucci, and David C. Christiani JCO Dec 1 2008: 5596– 5602 7 ) Nonpharmacologic Strategies for Managing Common Chemotherapy Adverse Effects: A Systematic Review. Kerryann Lotfi-Jam, Mariko Carey, Michael Jefford, Penelope Schofield, Catherine Charleson, and Sanchia Aranda JCO Dec 1 2008: 5618– 5629 8 ) Phase I/II Trial of Erlotinib and Temozolomide With Radiation Therapy in the Treatment of Newly Diagnosed Glioblastoma Multiforme: North Central Cancer Treatment Group Study N 0177 Chemotherapy Paul D. Brown, Sunil Krishnan, Jann N. Sarkaria, Wenting Wu, Kurt A. Jaeckle, Joon H. Uhm, Francois J. Geoffroy, Robert Arusell, Gaspar Kitange, Robert B. Jenkins, John W. Kugler, Roscoe F. Morton, Kendrith M. Rowland, Jr, Paul Mischel, William H. Yong, Bernd W. Scheithauer, David Schiff, Caterina Giannini, and Jan C. Buckner JCO Dec 1 2008: 5603– 5609 9 ) Chemotherapy Use for Hormone Receptor–Positive, Lymph Node–Negative Breast Cancer Michael J. Hassett, Melissa E. Hughes, Joyce C. Niland, Stephen B. Edge, Richard L. Theriault, Yu -Ning Wong, John Wilson, W. Bradford Carter, Douglas W. Blayney, and Jane C. Weeks JCO Dec 1 2008: 5553– 5560
ÍNDICE 10)Roles of Radiotherapy and Chemotherapy in the Development of Contralateral Breast Cancer. Maartje J. Hooning, Berthe M. P. Aleman, Michael Hauptmann, Margreet H. A. Baaijens, Jan G. M. Klijn, Ruth Noyon, Marilyn Stovall, and Flora E. van Leeuwen JCO Dec 1 2008: 5561– 5568 11) Phase III, Double-Blind, Randomized Study Comparing Lapatinib Plus Paclitaxel With Placebo Plus Paclitaxel As First. Line Treatment for Metastatic Breast Cancer Angelo Di Leo, Henry L. Gomez, Zeba Aziz, Zanete Zvirbule, Jose Bines, Michael C. Arbushites, Stephanie F. Guerrera, Maria Koehler, Cristina Oliva, Steven H. Stein, Lisa S. Williams, Judy Dering, Richard S. Finn, and Michael F. Press JCO Dec 1 2008: 5544– 5552. 12) Diagnosis in Oncology: Late Relapsing Stage I Nonseminoma Carmel J. Pezaro, Girish Mallesara, and Guy C. Toner. JCO Dec 1 2008: 5647– 5648
Randomized Trial of Postoperative Reirradiation Combined With Chemotherapy After Salvage Surgery Compared With Salvage Surgery Alone in Head and Neck Carcinoma François Janot, Dominique de Raucourt, Ellen Benhamou, Christophe Ferron, Gilles Dolivet, René-Jean Bensadoun, Marc Hamoir, Bernard Géry, Morbize Julieron, Marine Castaing, Etienne Bardet, Vincent Grégoire, Jean Bourhis From the Institut Gustave Roussy, Villejuif France; Centre François Baclesse, Caen; Hotel Dieu, Nantes; Centre Alexis Vautrin, Nancy; Centre Antoine Lacassagne, Nice, France; and Hôpital Saint Luc, Bruxelles
Objetivos Una re-irradiación a dosis completa combinada con Quimioterapia ha demostrado ser factible luego de una cirugía de salvataje con una aceptable toxicidad. n El Grupo de Estudio de Tumores de cabeza y Cuello y el Grupo de Radioterapia Oncológica de Cabeza y Cuello de los hospitales de Francia, diseñaron un estudio randomizado para evaluar su eficacia. n
Materiales y Métodos n n n Entre 1999 y 2005, 130 pacientes con cáncer de cabeza y cuello fueron tratados con cirugía de salvataje y randomizados a una re-irradiación , a dosis completa combinada con Quimioterapia ( brazo de RT) o a observación (tipo “ espera y vee "; Brazo WS). Los criterios de elección fueron : recurrencia o la aparición de un segundo tumor , en una zona previamente irradiada debido a un tumor primario previo , buen estado general, ausencia de metástasis a distancia , y una cirugía de salvataje con resección completa macroscópica. Los pacientes en el brazo de RT recibieron 60 Gy en 11 semanas combinadas con 5 - fluorouracilo e hidroxiurea en forma concomitante.
Fig 1. CONSORT diagram Janot, F. et al. J Clin Oncol; 26: 5518 -5523 2008
Resultados n n n 65 pacientes fueron randomizados y asignados a cada brazo. Ambos brazos estaban bien balanceados de acuerdo al tumor y a las características de cada paciente. Las toxicidades agudas más serias en el brazo de RT fueron: mucositis, grado 3 o 4, en 28% de los pacientes. A los 2 años, 39% de los pacientes en el brazo de la RT y 10% en el de Observación (WS) experimentaron toxicidad tardía grado 3 o 4 de acuerdo a los criterios del Grupo de Radioterapia Oncológica. (P =. 06). La Sobrevida libre de enfermedad (DFS) mejoró en forma significativa en el brazo de RT, con un hazard ratio de 1. 68 (95% CI, 1. 13 a 2. 50; P =. 01), pero la Sobrevida Global (OS) no fue estadísticamente significativa. .
Fig 2. Control Loco-regional Janot, F. et al. J Clin Oncol; 26: 5518 -5523 2008
Fig 3. Sobrevida libre de Enfermedad. Janot, F. et al. J Clin Oncol; 26: 5518 -5523 2008
Fig 4. Sobrevida Global Janot, F. et al. J Clin Oncol; 26: 5518 -5523 2008
Conclusiones La re-irradiación a dosis completas combinada con Quimioterapia luego de la cirugía de salvataje mejoraron significativamente la sobrevida libre de enfermedad (DFS), pero no tuvo impacto significativo en la sobrevida global. n Un aumento de las toxicidades en ambas situaciones tanto en forma aguda como tardía fueron observados. . n
Clinical Outcome and Predictors of Survival in Late Relapse of Germ Cell Tumor David S. Sharp, Brett S. Carver, Scott E. Eggener, G. Varuni Kondagunta, Robert J. Motzer, George J. Bosl, Joel Sheinfeld From the Departments of Urology and Medicine, Memorial Sloan-Kettering Cancer Center, New York, NY
Objetivos La recidiva en forma tardía (LR) de los tumores de células germinales (GCT) es una entidad asociada a una pobre sobrevida. n El objetivo es reportar nuestra experiencia con recaídas tardías y a su vez determinar los predictores de sobrevida. n
Materiales y Métodos Desde 1990 a 2004, 75 pacientes fueron tratados por recidivas tardías de tumores de células germinales en nuestra institución. n Se revisaron los parámetros clínicos y patológicos. Se calculó la sobrevida específica de cáncer utilizando el método de Kaplan-Meier, y el modelo proporcional de Cox para evaluar potenciales predictores de evolución. n
Fig 1. Diagrama del estudio Sharp, D. S. et al. J Clin Oncol; 26: 5524 -5529 2008
Resultados n n n El tiempo medio a la aparición de la recaída fue de 6. 9 años. (rango, 2. 1 a 37. 7 años). Del total , 56 pacientes (75%) presentaron recaída en el retroperitoneo, incluyendo 25 (93%) de los 27 pacientes , a los que inicialmente no se les realizó vaciamiento de los ganglios retroperitoneales. La sobrevida específica a los 5 años es de 60% (95% CI, 46% a 71%). Los Pacientes a los que se les realizó la resección quirúrgica completa en el momento de la recaída (n = 45) tuvieron una sobrevida específica de cáncer a 5 años de 79% versus 36% para aquellos pacientes que no tuvieron resección completa (n = 30; P <. 0001).
Resultados n n La sobrevida específica por cáncer a los 5 años en los pacientes vírgenes de tratamiento, fue significativamente mayor que en aquellos pacientes que tenían una historia previa de Quimioterapia como parte de su tratamiento inicial (5 -años de CSS, 93% v 49%, respectivamente). En un análisis multivariado de los parámetros pretratamiento al momento de la recaída, demostró que la presencia de síntomas (hazard ratio [HR] = 4. 9) y la presencia de enfermedad multifocal (HR = 3. 0) están asociados con una inferior sobrevida específica por cáncer (CSS).
Fig 2. Análisis de sobrevida especíifica por cáncer por Kaplan-Meier de acuerdo a la resección completa de la recaída tardía (LR) versus la resección incompleta o la no reseccion de la recaída tardía. (LR) Sharp, D. S. et al. J Clin Oncol; 26: 5524 -5529 2008
Fig 3. Análisis de sobrevida específica por cáncer desde el tiempo de recaída tardía por Kaplan-Meier de acuerdo a la Quiimoterapia previa Sharp, D. S. et al. J Clin Oncol; 26: 5524 -5529 2008
Conclusiones Los datos sugieren que un meticuloso control del retroperitoneo es crítico para prevenir las recaídas tardías en el retroperitoneo. n En un análisis multivariable , los pacientes con una forma de presentación sintomática y aquellos con enfermedad multifocal tienen una sobrevida significativamente menor. n La Sobrevida es francamente mejor si se puede lograr una resección quirúrgica completa. n
"BRCAness" Syndrome in Ovarian Cancer: A Case-Control Study Describing the Clinical Features and Outcome of Patients With Epithelial Ovarian Cancer Associated With BRCA 1 and BRCA 2 Mutations David S. P. Tan, Christian Rothermundt, Karen Thomas, Elizabeth Bancroft, Rosalind Eeles, Susan Shanley, Audrey Ardern-Jones, Andrew Norman, Stanley B. Kaye, Martin E. Gore From the Gynaecological Oncology and Cancer Genetics Units, Royal Marsden Hospital, London; Section of Medicine, Institute for Cancer Research; Department of Medical Statistics, Royal Marsden Hospital; and the Translational Cancer Genetics Team, The Institute of Cancer Research, Surrey, United Kingdom Corresponding author: Martin E. Gore, MD, Ph. D, The Royal Marsden Hospital, Gynecological Oncology
Objetivos n Se evaluó el impacto clínico de las mutaciones de la línea germinal BRCA 1/2 en pacientes con cáncer del ovario de tipo epitelial (EOC) con respuestas a la primera y subsecuentes líneas de tratamiento de quimioterapia, intervalo libre de tratamiento, (TFI) entre cada línea de tratamiento y la sobrevida global (OS).
Materiales y Métodos 22 pacientes con ca del Ovario de tipo epitelial con mutaciones en la línea germinal de BRCA 1 o BRCA 2 (BRCA-positivas) fueron seleccionadas de nuestra base de datos y comparadas (1: 2) con 44 pacientes con ca del ovario no epitelial no hereditarias, de control (definidas por no poseer una historia personal de cáncer de la mama; ni familiar de cáncer de la mama ni ovario o por lo menos no informadas del test de mutación del BRCA). n Se comparó estadío, subtipo histológico, edad y año del diagnóstico. n
Materiales y Métodos Todas las pacientes recibieron quimioterapia primaria basada en platino. n Las Comparaciones estadísticas incluyeron : n 1º Respuesta luego de la 1º, 2º y 3º línea de tratamiento ( Test Exacto 2/Fisher's) n 2º Sobrevida media Global OS ( Método de Kaplan-Meier /log-rank test). n
Resultados n n n Comparada controles, las pacientes BRCA-positivas tienen un mayor índice de respuestas totales (95. 5% v 59. 1%; P =. 002) y mayor índice de respuestas completas (81. 8% v 43. 2%; P =. 004)en la 1º línea de tratamiento, así como también mayores respuestas a la 2º y 3º línea de tratamiento basada en Cisplatino. (2º línea, 91. 7% v 40. 9% [P =. 004]; 3 línea, 100% v 14. 3% [P =. 005]) más larga TFIs. Una mejoría significativa en la sobrevida media global en las pacientes BRCA-positivas comparadas con los controles fue observada en ambos tiempos del diagnóstico (8. 4 v 2. 9 años ; P <. 002) y tiempo a la 1º recaída (5 v 1. 6 años; P <. 001). El estado del BRCA , estadío, y tiempo a la 1º respuesta fueron factores independientes pronósticos en el tiempo a la 1º recaída
Fig 1. Intervalo Medio libre de tratamiento - (TFIs) luego de cada línea de tratamiento para las pacientes BRCA-positivas y las no hereditarias con cáncer del ovario de tipo epitelial (EOC) pacientes en (A) fueron tratados con esquema de quimioterapia basado en platinos ; y (B) pacientes tratados con un esqema de quimioterapia sin platino. Tan, D. S. P. et al. J Clin Oncol; 26: 5530 -5536 2008
Conclusiones n n Las pacientes con B RCA-positivo que padecen cáncer de Ovario de tipo epitelial, tienen mejor evolución que aquellas pacientes con igual patología no hereditaria. Existe un Síndrome clínico de “BRCAness” que incluye al tipo histológico seroso, con altos índices de respuesta a la 1º y subsecuentes líneas basadas en un esquema basado en Cisplatino, mayor intervalo libre de tratamiento entre las recaídas y mejoría en la sobrevida global.
Body-Mass Index and Progression of Hepatitis B: A Population-Based Cohort Study in Men Ming-Whei Yu, Wei-Liang Shih, Chih-Lin Lin, Chun-Jen Liu, Jhih-Wei Jian, Keh-Sung Tsai, Chien-Jen Chen From the Graduate Institute of Epidemiology, College of Public Health, National Taiwan University; Department of Gastroenterology, Ren-Ai Branch, Taipei City Hospital; Division of Gastroenterology, Department of Internal Medicine, National Taiwan University Hospital and National Taiwan University College of Medicine; and the Department of Laboratory Medicine, National Taiwan University Hospital and Genomics Research Center, Academia Sinica, Taipei, Taiwan
Objetivos n Determinar prospectivamente cuando la masa de índice corporal (BMI) está asociada con la morbilidad y mortalidad debida al hígado entre los pacientes de sexo masculino portadores del virus hepatitis B (HBV).
Materiales y Métodos Hemos realizado un estudio prospectivo en 2, 903 hombres , con antígeno de superficie positivo para virus B HBV entre los empleados del gobierno que no padecían ningún tipo de cáncer, siendo enrolados entre 1989 y 1992. n Los controles fueron realizados con test bioquímicos, ultrasonografía, analizándose el diagnóstico incidental de hepatocarcinoma (HCC), y la muerte relacionada con la enfermedad hepática. n
Fig 1. Enrolamiento y evolución Yu, M. -W. et al. J Clin Oncol; 26: 5576 -5582 2008
Resultados Con un seguimiento medio de 14. 7 años, 134 pacientes desarrollaron hepatocarcinoma y 92 fallecieron por causas relacionadas con el hígado. n En un modelo proporcional de Cox ajustado por edad, número de visitas, diabetes, hábito de alcohol y de tabaco, el hazard ratio para incidente de hepatocarcinoma fue de 1. 48 (95% CI, 1. 04 a 2. 12) en hombres con sobrepeso (BMI entre 25. 0 y 29. 9 kg/m 2) y de 1. 96 (95% CI, 0. 72 a 5. 38) en hombres obesos (BMI 30. 0 kg/m 2), comparado con hombres con peso normal (BMI entre 18. 5 y 24. 9 kg/m 2). n
Resultados n La mortalidad relacionada con el hígado ajustada hazard ratios fue de 1. 74 (95% CI, 1. 15 a 2. 65) en hombres con sobrepeso y de 1. 50 (95% CI, 0. 36 a 6. 19) en hombres obesos. El exceso de BMI también estuvo asociado con la presencia de Hígado graso y cirrosis detectados por Ecografía, lo mismo que la elevación de las transaminasas TGO y TGP durante el seguimiento. , siendo más marcada la movilización de la TGO que de la TGP, demostrando que la elevación de la TGO y la cirrosis son importantes predictores de muerte relacionada con enfermedad hepática y con el Hepatocarcinoma.
Conclusiones n Este estudio de cohorte longitudinal indica que el exceso de peso corporal está involucrado en el proceso de transición de los portadores de virus B (HBV), sanos al hepatocarcinoma ( HCC) e incluso relacionado con la muerte secundaria a enfermedades del hígado entre el sexo masculino.
EGFR Mutations Predict Survival Benefit From Gefitinib in Patients With Advanced Lung Adenocarcinoma: A Historical Comparison of Patients Treated Before and After Gefitinib Approval in Japan Toshimi Takano, Tomoya Fukui, Yuichiro Ohe, Koji Tsuta, Seiichiro Yamamoto, Hiroshi Nokihara, Noboru Yamamoto, Ikuo Sekine, Hideo Kunitoh, Koh Furuta, Tomohide Tamura From the Division of Internal Medicine; Clinical Laboratory Division; Statistics and Cancer Control Division, Research Center for Cancer Prevention and Screening; and Clinical Support Laboratory, National Cancer Center Hospital; and the Department of Medical Oncology, Teikyo University School of Medicine, Tokyo, Japan
Objetivos n Este estudio evalúa si la presencia de mutación del receptor del factor de crecimiento epidérmico (EGFR) en pacientes con Adenocarcinoma de Pulmón avanzado, resulta ser un marcador predictivo beneficioso y/o un marcador pronóstico en relación a la sobrevida en pacientes que reciben tratamiento para esta patología.
Materiales y Métodos La sobrevida global (OS) fue comparada entre pacientes con adenocarcinoma de pulmón que comenzaban tratamiento de 1º línea con terapia sistémica antes o después de la aprobación del gefitinib, en Japón (Enero de 1999 a Julio del 2001 y de Julio del 2002 a Diciembre del 2004, respectivamente). n Fueron evaluadas la deleción de las mutaciones en el exon 19 o la mutación del L 858 R en el exon 21 del EGFR utilizando análisis de alta resolución. n
Fig 1. Comparación de la Sobrevida global entre los pacientes que comenzaron la 1º línea de tratamiento luego de la aprobacíon del gefitinib y los pacientes que comenzaron tratamiento previo a la aprobación del gefitinib. Takano, T. et al. J Clin Oncol; 26: 5589 -5595 2008
Resultados n n La mutación del EGFR fue detectada en 136 (41%) de los 330 pacientes incluídos en el estudio. La Sobrevida global fue significativamente mayor entre los pacientes con la mutación del EGFR- tratados luego de la aprobación del gefitinib comparada con la sobrevida global de los pacientes tratados previo a la aprobación del gefitinib ( tiempo de Sobrevida median [MST], 27. 2 v 13. 6 meses, respectivamente; P <. 001), en cambio no se observó una mejoría significativa en la sobrevida entre los pacientes que no poseían la mutación del EGFR (MST, 13. 2 v 10. 4 meses, respectivamente; P =. 13).
Resultados Se ha observado una significativa interacción entre la presencia de la mutación del EGFR y la mejoría en la sobrevida (P =. 045). n Entre los pacientes tratados antes de la aprobación del gefitinib , aquellos con mutación del EGFR vivieron más tiempo que aquellos sin la mutación EGFR (MST, 13. 6 v 10. 4 meses, respectivamente; P =. 034). n El índice de respuestas a la 1º línea de tratamiento con Quimioterapia no fue significativamente diferente entre los pacientes con y sin mutación del EGFR (31% v 28%, respectivamente; P =. 50). n
Fig 2. (A) Comparación de la sobrevida global entre los pacientes con o sin mutaciones de receptor de factor de crecimiento epidérmico (EGFR) entre los pacientes tratados antes de la aprobación del gefitinib (B) La misma comparación cuando el gefitinib es administrado luego del estudio de la mutación Takano, T. et al. J Clin Oncol; 26: 5589 -5595 2008
Conclusiones n Las mutaciones del EGFR predicen significativamente tanto el beneficio en la sobrevida con el uso de Gefitinb como el pronóstico favorable en los pacientes que padecen adenocarcinoma de pulmón avanzado.
Circulating 25 -Hydroxyvitamin D, VDR Polymorphisms, and Survival in Advanced Non–Small-Cell Lung Cancer Rebecca Suk Heist, Wei Zhou, Zhaoxi Wang, Geoffrey Liu, Donna Neuberg, Li Su, Kofi Asomaning, Bruce W. Hollis, Thomas J. Lynch, John C. Wain, Edward Giovannucci, David C. Christiani From the Massachusetts General Hospital; Harvard School of Public Health, Boston, MA; Princess Margaret Hospital, Toronto, Ontario, Canada; and Darby Children's Research Institute, Medical University of South Carolina, Charleston, SC
Objetivos n Hemos mostrado previamente; que en estadíos tempranos de cáncer de pulmón, non–small-cell lung cancer (NSCLC), los niveles séricos de vitamin D y los polimorfismos VDR están asociados con la sobrevida. n Hemos planteado la hipótesis de que los níveles de vitamin D y los polimorfismos VDR pueden afectar la sobrevida en los pacientes con NSCLC avanzados.
Materiales y Métodos Hemos evaluado la relación entre los niveles circulantes de 25 -hydroxyvitamin D ; los polimorfismos VDR, incluyendo Cdx-2 G>A (rs 11568820), Fok. I C>T (rs 10735810), y Bsm. I C>T (rs 144410); y la Sobrevida global entre los pacientes con NSCLC avanzado. n El análisis de la sobrevida fue realizado usando el logrank test y el modelo proporcional de Cox ajustado por edad, sexo, y performance statuts. n
Resultados n n 294 pacientes y 233 muertes, con un seguimiento medio de 42 meses. No se encontró diferencia en la sobrevida de acuerdo a los niveles circulantes de vitamina D El C/C genotipo del polimorfismo Fok. I está asociado con una mejoría de la sobrevida media : para C/C fue de 21. 4 meses, para C/T fue de 12. 1 meses, y para T/T fue de 15. 6 meses (log-rank P =. 005). No hubo un efecto significativo en la sobrevida en el polimorfismo Cdx-2 o Bs. MI. , a pesar de lo cual , el tener un mayor número de alelos protectores , está relacionado con una mejoría en la sobrevida (ajustada hazard ratio por 2 o más v zero aun alelo protector , 0. 57; 95% CI, 0. 41 a 0. 79; P =. 0008). En un análisis haploptipo el haplotipo G-T-C (Cdx-2 -Fok. I-Bsm. I) estaba asociado con una peor sobrevida comparado con el más común haplotipo de G-C-T (ajustado hazard ratio, 1. 61; 95% CI, 1. 21 a 2. 14; P =. 001).
Fig 1. (A) Polimorfismos VDR Fok. I y Sobrevida Global Heist, R. S. et al. J Clin Oncol; 26: 5596 -5602 2008
Conclusiones No existe efecto que relacione los niveles séricos de Vitamina D y la sobrevida global en los pacientes con NSCLC avanzado. n El alelo T del polimorfismo VDR Fok. I>T y el haplotipo G-T-C (Cdx-2 -Fok. I-Bsm. I) están asociados con una peor sobrevida. n
Nonpharmacologic Strategies for Managing Common Chemotherapy Adverse Effects: A Systematic Review Kerryann Lotfi-Jam, Mariko Carey, Michael Jefford, Penelope Schofield, Catherine Charleson, Sanchia Aranda From the Department of Nursing and Supportive Care Research, Peter Mac. Callum Cancer Centre; Faculty of Medicine, Dentistry and Health Sciences, the University of Melbourne, Melbourne; and The Cancer Council Victoria, Carlton, Victoria, Australia
Objetivos n n n Los efectos adversos de la Quimioterapia pueden ser severos y pueden tener un impacto significativo en la calidad de vida personal. En los últimos tiempos ha habido un incremento de los tratamientos ambulatorios, por lo que es necesario informar con mayor claridad a los pacientes respecto a los efectos y las estrategias con respecto a su cuidado personal, y por sobre todo al manejo de los efectos adversos, pero siempre las recomendaciones deben ser basadas en evidencia. . Esta revisión sistemática provee una mirada investigacional en el área así también como una revisión efectiva con respecto a las estrategias no farmacológicas (cuidado personal =self-care) en ensayos clínicos de alta calidad controlados y randomizados. (RCTs).
Materiales y Métodos n n Una intensa búsqueda en la literatura fue llevada a cabo para identificar los ensayos clínicos RCTs relacionados con las estrategias de cuidado personal para reducir las náuseas, vómitos, constipación, diarrea, fatiga, pérdida de cabello o mucositis. Ciertos estudios de relevancia publicados entre 1980 y Agosto 2007 fueron incluidos. Las características del estudio, los resultados y la calidad de la metodología fueron examinados. La alta calidad de los estudios (RCTs) fueron analizadas para establecer el efectividad de las recomendaciones con respecto al cuidado personal.
Resultados n La búsqueda identificó 77 ensayos clínicos (RCTs). n Encontrando una razonable calidad entre ellos brindando o un limitado apoyo con respecto a los trastornos cognitivos, ejercicio, hipnosis, relajación, como tampoco psico-educación para la fatiga y la reducción de las naúseas.
Conclusiones A pesar de que algunas estrategias parezcan prometedoras , la evaluación de la calidad de vida de los ensayos clínicos( RCTs) es generalmente pobre, siendo dificultoso sacar conclusiones sobre la efectividad de las estrategias en los cuidados personales. n Serán necesarios futuros estudios, con un mejor diseño y con una metodología clara, basada en la evidencia para poder brindar recomendaciones del cuidado personal a las personas que se encuentran realizando tratamiento de Quimioterapia. n
Phase I/II Trial of Erlotinib and Temozolomide With Radiation Therapy in the Treatment of Newly Diagnosed Glioblastoma Multiforme: North Central Cancer Treatment Group Study N 0177 Paul D. Brown, Sunil Krishnan, Jann N. Sarkaria, Wenting Wu, Kurt A. Jaeckle, Joon H. Uhm, Francois J. Geoffroy, Robert Arusell, Gaspar Kitange, Robert B. Jenkins, John W. Kugler, Roscoe F. Morton, Kendrith M. Rowland, Jr, Paul Mischel, William H. Yong, Bernd W. Scheithauer, David Schiff, Caterina Giannini, Jan C. Buckner From the Mayo Clinic and Mayo Foundation, Rochester, MN; The University of Texas M. D. Anderson Cancer Center, Houston, TX; Mayo Clinic Jacksonville, FL; Illinois Oncology Research Association Community Clinical Oncology Program (CCOP), Peoria; Carle Cancer Center CCOP, Urbana, IL; Meritcare Hospital CCOP, Fargo, ND; Iowa Oncology Research Association CCOP, Des Moines, IA; University of California, Los Angeles, CA; and University of Virginia, Charlottesville, VA
Objetivos La amplificación del receptor del factor de Crecimiento Epídérmico (EGFR) en el Glioblastoma multiforme (GBM) es común y está asociada con la resistencia al tratamiento. n Erlotinib, un inhibidor selectivo del EGFR, fue combinado con temozolomida (TMZ) y radioterapia (RT) en un ensayo fase I/II. n
Materiales y Métodos Aquellos pacientes adultos que no recibían anticonvulsivantes inductoresvenzyme luego de la resección o biopsia de GBM fueron tratados con erlotinib (150 mg diarios ) hasta progresión. n Erlotinib era administrado solo por 1 semana luego concurrente con la TMZ (75 mg mg/m 2 diaria ) y RT (60 Gy), y finalmente, concurrentemente por 6 ciclos de TMZ (200 mg/m 2 diaria por 5 días cada 28 días ). n El Objetivo primario era la Sobrevida al año. n
Fig 1. Esquema de régimen de tratamiento para los ensayos Fase I y Fase II; TMZ, temozolomida; RT, radioterapia Brown, P. D. et al. J Clin Oncol; 26: 5603 -5609 2008
Resultados n n n 97 pacientes elegibles fueron reclutados con un seguimiento medio de 22. 2 meses. Por definición el objetivo primario fue cumplido exitosamente con una sobrevida media de 15. 3 meses, a pesar de lo cual no parece haber beneficio en la Sobrevida Global cuando comparamos N 0177 con el brazo RT/TMZ de la Organización Europea para Investigación y tratamiento / Ensayo N 26981/22981 del Instituto Nacional del Cáncer de (recursive partitioning analysis [RPA] class III, 19 v 21 meses; RPA class IV, 16 v 16 meses; RPA class V, 8 v 10 meses, respectivamente). Ni la presencia de diarrea, rash, y EGFRv. III, resultaron ser predictos de Sobrevida (P >. 05), como tampoco el p 53, la fosfatasa, el homólogo de la tensina (PTEN), EGFR PTEN, y la amplificación del EGFR
Fig 2. tabla de Kaplan-Meier estimada de acuerdo a sobrevida global of en relación con el Radiation Therapy Oncology Group/European Organization for the Research and Treatment of Cancer recursive partitioning analysis classes Brown, P. D. et al. J Clin Oncol; 26: 5603 -5609 2008
Conclusiones A pesar que el objetivo primario fue exitosamente logrado usando tratamiento basado en nitrosourea(pre-TMZ) en los controles históricos de control. , no existían signos de beneficio comparados con TMZ era controles. n El análisis molecular no reveló ningún grupo de pacientes con mayor sensibilidad al erlotinib. n La Quimioterapia con TMZ combinada con RT resulta en una mejor evolución comparada con los históricos controles que recibían una quimioterapia basada en nitrosourea. n
Chemotherapy Use for Hormone Receptor–Positive, Lymph Node–Negative Breast Cancer Michael J. Hassett, Melissa E. Hughes, Joyce C. Niland, Stephen B. Edge, Richard L. Theriault, Yu-Ning Wong, John Wilson, W. Bradford Carter, Douglas W. Blayney, Jane C. Weeks From the Department of Medical Oncology, Dana-Farber Cancer Institute, Boston, MA; Division of Information Sciences, City of Hope National Medical Center, Duarte, CA; Department of Breast and Soft Tissue Surgery, Roswell Park Cancer Institute, Buffalo, NY; The University of Texas M. D. Anderson Cancer Center, Houston, TX; Fox Chase Cancer Center, Philadelphia, PA; Ohio State University, Columbus, OH; H. Lee Moffitt Cancer Center and Research Institute, Tampa, FL; and University of Michigan Cancer Center, Ann Arbor, MI
Objetivos n Describir la frecuencia del uso de quimioterapia en pacientes con Ganglios axilares negativos (LN) con Receptores hormonales positivos (HR) desde 1997 a 2004, en 8 instituciones especializadas en cáncer, para evaluar si el uso de la quimioterapia, varía a través del tiempo y entre las diferentes instituciones, a su vez se buscó identificar factores asociados con la decisión de indicar la quimioterapia.
Materiales y. Métodos n n n Se analizaron la frecuencia de uso de quimioterapia en mujeres con cáncer de la mama con un T menor a 1 cm , en mujeres menores de 70 años con receptores hormonales positivos y ganglios negativos, obtenidos los datos de una base de datos anual. Se utilizó un modelo de regresión logística multivariable para relacionar el uso de la QT y el año del diagnóstico , institución, características de la paciente y del tumor. Los términos de interacción fueron agregados al modelo y un análisis estratificados fue llevado a cabo para explorar las determinantes en el uso de la Quimioterapia.
Fig 1. Porcentaje de pacientes que recibieron Quimioterapia en cada institución, clasificadas por edad al diagnóstico. Hassett, M. J. et al. J Clin Oncol; 26: 5553 -5560 2008
2. Porcentaje de pacientes que recibieron Quimioterapia por edad al diagnóstico, tamaño tumoral, y la institución por cada año de diagnóstico. Fig Hassett, M. J. et al. J Clin Oncol; 26: 5553 -5560 2008
Fig 3. Odds radio Ajustado a recibir QT por cada institución a lo largo del tiempo. Hassett, M. J. et al. J Clin Oncol; 26: 5553 -5560 2008
Resultados 56% de las 3, 190 mujeres recibieron Quimioterapia. n Se observó que la Qt fue menos usada en: n Las pacientes con un tamaño tumoral de 1. 1 a 2 cm con respecto a las pacientes con un tumor mayor a 2 cm (47% v 87%, respectivamente ; P <. 01) n Las mujeres con una edad de 60 a 69 años con respecto a las menores de 50 años (24% v 76%, respectivamente ; P <. 01). n
Resultados n n n n En un análisis multivariable, los predictores independientes asociados con recibir Quimioterapia fueron: Tamaño tumoral mayor Alto Grado. Sobre-expresión del HER 2 neu Edad Joven (con una P <. 01 para todas) Institución Siendo las Instituciones las que presentaban diferencias muy marcadas entre los índices de uso de la QT variando de 46% a 65%. Observándose a su vez patrones de cambio en el uso de la QT a través del tiempo que variaban de un aumento relativo de 79% a una disminución relativa de 22%.
Conclusiones A pesar que pareciera existir un consenso entre las instituciones con respecto al tratamiento en las pacientes con cáncer de la mama con Axila negativa y Receptores Hormonales positivos, no todas las mujeres que debieran recibir Quimioterapia lo hacen. n Solo un estudio controlado, prospectivo y randomizado establecería en forma concluyente que subtipo de pacientes con axila negativa y receptores positivos , se beneficiarían con la Quimioterapia. n
Roles of Radiotherapy and Chemotherapy in the Development of Contralateral Breast Cancer Maartje J. Hooning, Berthe M. P. Aleman, Michael Hauptmann, Margreet H. A. Baaijens, Jan G. M. Klijn, Ruth Noyon, Marilyn Stovall, Flora E. van Leeuwen From the Departments of Epidemiology, Radiation Oncology, and Bioinformatics and Statistics, the Netherlands Cancer Institute, Amsterdam; Departments of Radiation Oncology and Medical Oncology, Erasmus Medical Center, Daniel den Hoed Cancer Center, Rotterdam, the Netherlands; and the Department of Radiation Physics, The University of Texas, M. D. Anderson Cancer Center, Houston, TX
Objetivos n Pocos estudios han examinado en que medida las técnicas modernas de radioterapia y Quimioterapia afectan el riesgo de contraer cáncer de la mama (CBC), y estos han resultado poco concluyentes.
Materiales y Métodos Hemos evaluado el riesgo a largo plazo de Cáncer de la mama Contralateral , predominantemente en una población de mujeres jóvenes (n = 7, 221), concentrándose en los efectos de la dosis de radioterapia, la quimioterapia y una historia familiar de cáncer de mama. n EL riesgo de cáncer de mama contralateral es evaluado usando un modelo de regresión Cox proporcional n
Fig 1. Promedio de dosis en los cuadrantes de la mama contralateral por diferentes campos y tipos de beam Hooning, M. J. et al. J Clin Oncol; 26: 5561 -5568 2008
Resultados n n n El riesgo de cáncer de la mama asociado con el tratamiento de radioterapia disminuye con la edad al diagnóstico. : (edad < 35 años, hazard ratio [HR] = 1. 78; 95% CI, 0. 85 a 3. 72; edad > 45 años, HR = 1. 09; 95% CI, 0. 82 to 1. 45). La radioterapia Postmastectomía usando campos directos de electrones llevan a una disminución significativa de la exposición a la radioterapia en la mama contralateral con respecto a la radioterapia postlumpectomía usando campos tangenciales. Las mujeres tratadas antes de los 45 años con radioterapia postlumpectomía tuvieron un aumento 1. 5 -veces mayor riesgo de contraer cáncer de la mama contralateral con respecto a aquellas con radioterapia post - mastectomía. .
Resultados El efecto de la radioterapia postlumpectomía y una fuerte historia familiar de riesgo de cáncer de la mama fueron mayores de lo esperado cuando los riesgos individuales fueron sumados (HR = 3. 52; 95% CI, 2. 07 a 6. 02; Pdeparture from additivity =. 043). n El Tratamiento con Quimioterapia adyuvante (ciclofosfamida , metotrexate, y fluorouracilo) estaban asociadas con una disminución del riesgo no significativa de cáncer contralateral en los primeros 5 años de seguimiento pero no reduce el riesgo en los años subsiguientes. n
Fig 2. (A) Riesgo de cáncer de la mama contralateral (CBC) por modalidad de tratamiento ( modelo de Cox l) en pacientes menores a 45 años con diagnóstico de cáncer de la mama (BC) Hooning, M. J. et al. J Clin Oncol; 26: 5561 -5568 2008
Conclusiones Las pacientes jóvenes con cáncer de la mama irradiado con campos tangenciales tuvieron un aumento del riesgo de cáncer de la mama contralateral (CBC), especialmente en aquellos con una historia familiar positiva de cáncer de la mama. n Estos hallazgos deben ser tenidos en cuenta cuando se realizan campos tangenciales especialmente en mujeres jóvenes. n La quimioterapia Adyuvante pareciera reducir el riesgo de cáncer de mama contralateral solamente, durante los 1º 5 años después del tratamiento. n
Phase III, Double-Blind, Randomized Study Comparing Lapatinib Plus Paclitaxel With Placebo Plus Paclitaxel As First-Line Treatment for Metastatic Breast Cancer Angelo Di Leo, Henry L. Gomez, Zeba Aziz, Zanete Zvirbule, Jose Bines, Michael C. Arbushites, Stephanie F. Guerrera, Maria Koehler, Cristina Oliva, Steven H. Stein, Lisa S. Williams, Judy Dering, Richard S. Finn, Michael F. Press From the "Sandro Pitigliani" Medical Oncology Unit, Prato, Italy; Instituto Nacional de Enfermedades Neoplasicas, Lima, Peru; Allama Iqbal Medical College, Lahore, Pakistan; Riga Eastern University Hospital Latvian Oncology Centre, R ga, Latvia; National Cancer Institute, Rio De Janeiro, Brazil; Medicine Development Center Oncology, Glaxo. Smith. Kline, Collegeville, PA; Geffen School of Medicine at University of California, Los Angeles; and Norris Comprehensive Cancer Center, University of Southern California, Los Angeles, CA
Objetivos Lapatinib, un inhibidor dual de la tyrosin kinasa de receptor del factor de crecimiento (EGFR/Erb. B 1) y del receptor 2 del factor de crecimieno epidérmico humano (HER-2/Erb. B 2), es efectivo contra los tumores de la mama localmente avanzados o metastásicos HER-2–positivos(MBC). n Este ensayo Fase III evalúa la eficacia del Lapatinib en pacientes HER-2–negativas y HER-2–no definido en pacientes metastásicas. n
Materiales y Métodos Mujeres con Ca de la mama metastásico fueron randomizadas y asignadas a una 1º línea con paclitaxel 175 mg/m 2 cada 3 semanas más lapatinib 1, 500 mg/día o placebo. n Una evaluación retrospectiva pre-planeada del estado del HER 2 fue realizada utilizando la técnica de FISH n El objetivo primario era el tiempo a la progresión. (TTP); y el secundario eran : índice de respuestas objetivas (ORR), índice de beneficio clínico (CBR), sobrevida libre de eventos (EFS), y sobrevida global (OS). n
Fig 1. Diagrama CONSORT Di Leo, A. et al. J Clin Oncol; 26: 5544 -5552 2008
Resultados n n n En la población con intención a tratar (n = 579), no existieron diferencias significativas en TTP, EFS, o OS entre los brazos de tratamiento. Se observaron diferencias en ORR y CBR en 86 pacientes HER-2–positivas (15%), el tratamiento con paclitaxellapatinib resultó en mejorías estadísticamente significativas en TTP, EFS, ORR, y CBR comparada con el brazo paclitaxel -placebo. No hubo diferencias entre ambos grupos de tratamiento en las pacientes HER 2 negativas. Los eventos adversos más comunes fueron; alopecia, rash, y diarrea. La incidencia de diarrea y rash fue significativamente mayor en el brazo de paclitaxel-lapatinib. El índice de eventos cardíacos fue bajo y no se observaron diferencias entre los diferentes brazos de tratamiento.
Fig 2. Eventos adversos Fatales (AEs) de acuerdo al tiempo y Nª de pacientes en tratamiento Di Leo, A. et al. J Clin Oncol; 26: 5544 -5552 2008
Fig 3. Tabla de Kaplan-Meier estimada por tiempo a la progresión Di Leo, A. et al. J Clin Oncol; 26: 5544 -5552 2008
Fig 4. Tabla de Kaplan-Meier estimada por Sobrevida Global Di Leo, A. et al. J Clin Oncol; 26: 5544 -5552 2008
Conclusiones n n n Pacientes con HER-2–negativo o HER-2–no testeado con cáncer de la mama metastásico (MBC) no se benefician con el agregado de lapatinib al paclitaxel. Pero una 1º línea de terapia con paclitaxel-lapatinib mejora significativamente la evolución clínica de las pacientes HER-2 –positivas. Una evaluación Prospectiva de la eficacia y seguridad de esta combinación está en curso en pacientes HER 2 positivos tanto en estadíos tempranos como metastásicos.
DIAGNOSIS IN ONCOLOGY Late Relapsing Stage I Nonseminoma Carmel J. Pezaro Department of Medical Oncology, Peter Mac. Callum Cancer Centre, East Melbourne, Victoria, Australia Girish Mallesara Department of Medical Oncology, Calvary Mater Newcastle, New South Wales, Australia Guy C. Toner Department of Medical Oncology, Peter Mac. Callum Cancer Centre, St. Andrews Place, East Melbourne; University of Melbourne, Victoria, Australia
Historia Clínica n n n En 1985, se le diagnostica a los 31 años, un tumor testícular derecho. La alfa feto proteína sérica (AFP) fue inicialmente elevada, y las investigaciones confirmaron una enfermedad Estadío I. . Se le realizó una orquiectomía derecha que mostró un tumor de células germinales no seminomatosas de 50 mm (NSGCT) conformado un 50% de seminoma, 25% de teratoma immaduro, 20% de carcinoma embrional , y 5% de un probable tumor del saco de yolk, confinado a los testiculos, sin invasión del espacio linfovascular. Luego de la orquiectomía, la alfa feto proteína sérica retornó al nivel basal.
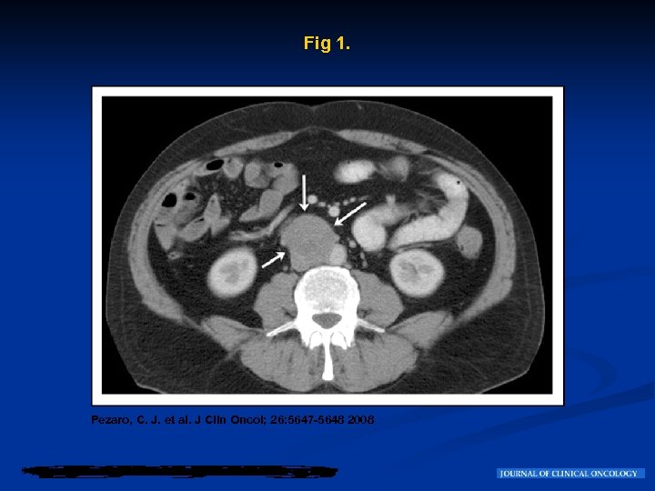
Historia Clínica n n No recibió tratamiento adyuvante pero fue manejado en otro Centro de un programa con un activo control de seguimiento por el lapso de 5 años, con examen físico periódico, marcadores tumorales y Tomografías Computadas (CT) que fueron todas normales , por 5 años luego de la orquiectomía. . En el año 2007, a los 52 años, consulta por antecedentes de 12 -meses de dolor abdominal y de espalda. El examen físico era normal. La BHCG y la alfa feto-proteína sérica dentro de los límites de normalidad. , pero la lactosa dehidrogenasa fue marginalmente elevada : 537 U/L ( rango normal , 230 a 460 U/L). La tomografía Abdominal CT mostró una masa retroperitoneal (Fig 1,
Fig 1. Pezaro, C. J. et al. J Clin Oncol; 26: 5647 -5648 2008
Evolución Esta masa fue biopsiada y mostró NSGCT. n Fue referido a nuestro Centro para su posterior manejo. Se realizó una tomografía por emision de Positrones (FDG-PET) que mostró una avidez a la captación de una masa ganglionar en el nivel de L 3 en los ganglios interaortocavos con una extensión caudal por debajo de la cadena de ganglios (Fig 2 A). Figure 2 B muestra claramente la localización interaortocavo posterior de la masa tumoral. n
Fig 2. Pezaro, C. J. et al. J Clin Oncol; 26: 5647 -5648 2008
Tratamiento n n n Se procedió a la disección de los ganglios retroperitoneales. En el acto quirúrgico se encontró que el tumor comprometía la vena testicular derecha. La Anatomía Patológica mostró predominantemente un teratoma inmaduro con áreas de seminoma viable. Fue tratado con quimioterapia por 4 ciclos con una combinación de etopósido y cisplatino Evolucionó en forma normal y libre de enfermedad por más de 12 meses luego de completar la quimioterapia.
Comentarios n n n Más de 95% de los pacientes con estadíos tempranos se encuentran curados de la enfermedad. . Las Recaídas ocurren generalmente entre los 2 primeros años del diagnóstico inicial. Recaídas tardías son definidas como una recaída 2 años luego del tratamiento Un pool de análisis de recaídas ocurridas entre 1989 y 2006 para todos los estadíos y tipos de tumores germinales mostró una incidencia de recaída tardía de 32%. Un tercio de los casos eran estadíos I al diagnóstico. En pacientes con Estadío I el mejor predictor de futura recaída fue la invasión vascular I pero no existen factores pronósticos claros de recaída tardía. . La localización de la recaída es la típica metástasis de los tumores testiculares derechos.
Comentarios El Hallazgo del compromiso patológico del origen de la vena derecha es característico de las metástasis de los tumores testiculares derechos. , lo mismo que la localización de la masa y descartan el diagnóstico diferencial de un nuevo tumor primario. n El intervalo de 22 años entre la orquiectomía como único tratamiento y la recaída es raro, en general para los estadíos I solo se recomienda un seguimiento estricto de 5 años. n
Comentarios n n n Se le había realizado una TAC normal 3 años antes de la recaída o sea 19 años después de la orquiectomía lo que indica que la recaída , sugiere un crecimiento con transformación de un clon de células durmientes en un fenotipo más maligno). Esta situación nos permite plantear el potencial valor de la resección ganglionar retroperitoneal , como parte de la terapia inicial , así como también el desarrollo de apropiadas estrategias de seguimiento. El sitio más común de recaída es el retroperitoneo , asociada generalmente con un aumento de frecuencia de teratoma.
Comentarios A pesar de que el manejo del estadío I , internacionalmente, continúa siendo control y terapia adyuvante. n Un estudio de cohorte en 2 instituciones en Holanda, mostró una sobrevida similar en aquellos control VS RPLND luego de un seguimiento medio de 7 años. No hubo recaídas luego de 44 meses. n Las guías de recomendación de ESMO 2005 son 5 TAC (a los 3, 6, 9, 12, y 24 meses luego de la orquiectomía y detenerse luego de los 5 años de seguimiento, para el Estadío I. n
Rol del PET n n n El rol del PET en el cáncer testicular se encuentra en evolución. En un estudio retrospectivo de 55 pacientes con Recaída , el PET tiene un valor predictivo positivo de 96% (similar al 94% de los marcadores séricos ) , un valor predictivo negativo de 90% en pacientes con masas residuales y esto ha resultado en un cambio del manejo en más de la mitad de los casos. El FDG-PET puede ser menos sensible en las recaídas tardías , donde el crecimiento tumoral es más lento y por lo tanto resulta difícil de diferenciar entre la no avidez del teratoma maduro. Dado que un mayor número de pacientes con esta patología se curan, el evitar las recaídas a largo plazo y las toxicidades resultan muy importantes. Un esfuerzo internacional para evaluar recaídas a largo plazo están siendo realizadas para redefinir la conducta inicial. .


