8e2cd2a98ecffd358166ccdc8d098f86.ppt
- Количество слайдов: 100
ARDS and Ventilator Management Behrouz Jafari, M. D. Pulmonary & Critical Care Section University of California Irvine/VA Long Beach
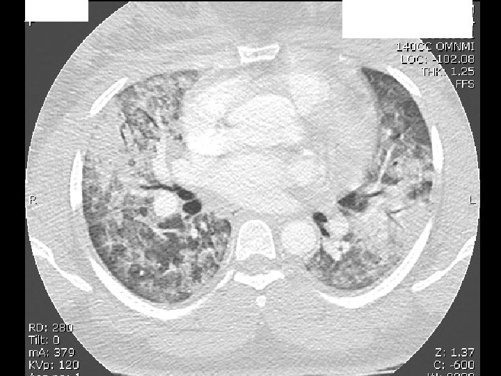
27 year old woman with dyspnea • 4 days s/p C section • Gradual increase in dyspnea over 24 hours with fever of 101 • Evaluation – Crackles R > L – No peripheral edema – Hypoxia (7. 25/67/41 on 40% VM) – Normal Echo
27 year old woman with dyspnea • Clinical Course – Fi. O 2 100%; PEEP 20 cm H 2 O – Peak and plateau airway pressures: 40 s
27 year old woman with dyspnea • Clinical Course – Fi. O 2 100%; PEEP 20 cm H 2 O – Peak and plateau airway pressures: 40 s • Key questions – What is the cause of acute respiratory failure? – How to oxygenate the patient? – How to save her life?
Common Causes of Hypoxemic Respiratory Failure Acute lung injury (ALI) / ARDS Pulmonary Edema Diffuse alveolar Hemorrhage Pulmonary Embolism Interstitial lung disease Pneumonia Neoplasm Pulmonary contusion Atelectasis COPD Asthma Bronchiolitis
ARDS: Berlin Definition Category Timing Criterion Within 1 week of clinical insult or new/worsening respiratory sx Bilateral opacities – not fully explained Chest Imaging by effusions, lobar/lung collapse, or nodules Origin of edema Not fully explained by cardiac failure or fluid overload. Objective measure to rule out hydrostatic edema Oxygenation: Mild 200 mm Hg < Pa. O 2/FIO 2 < 300 mm Hg* Oxygenation: 100 mm Hg < Pa. O 2/FIO 2 < 200 mm Moderate Hg** Oxygenation: Pa. O 2/FIO 2 < 100 mm Hg** Severe JAMA 2012; 307: 2526 33 * PEEP or CPAP > 5 cm H 2 O; ** PEEP > 5 cm H 2 O
• Diffuse bilateral infiltrates – Patchy, confluent – Alveolar, ground ‐ glass • In contrast to CHF, no prominence of. . – Cardiomegaly – Pleural effusion – Widened vascular pedicle
ARDS: Chest Radiograph Criteria • Radiographic findings not attributable to: – Chronic changes – Atelectasis – Mass – Pleural effusion
Lung Compliance in ARDS Volume Normal ARDS Pressure
ARDS Triggers primary vs secondary • Primary Direct lung injury (eg aspiration, • pneumonia, contusion, inhalation) – Patchy – If it doesn’t evolve into SIRS/MODS, Outcome better than secondary
ARDS Triggers primary vs secondary • • Secondary Lung is one of many organs involved in SIRS/MODS (sepsis, pancreatitis, hypotension) – Diffuse – Outcome worse than primary
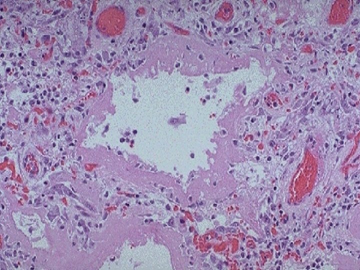
ARDS clinical progression STAGE I DAYS XRAY Initiation Nl PATHOLOGY PMNs
ARDS clinical progression STAGE DAYS XRAY I Initiation Nl II 1 2 days Patchy PATHOLOGY PMNs, edema, Type I
ARDS clinical progression STAGE DAYS XRAY I Initiation Nl II 1 2 days Patchy III 2 10 days Diffuse PATHOLOGY PMNs, edema, Type I cell damage Exudate, Type II
ARDS clinical progression STAGE DAYS XRAY PATHOLOGY I Initiation Nl II 1 2 days Patchy III 2 10 days Diffuse cell damage Exudate, Type II IV >10 days Diffuse proliferation Lymph, PMNs, edema, Type I fibrosis
ARDS Mortality Trend
ARDS Management
ARDS: Blocking the trigger • Appropriate infection management –Antibiotics –Surgical drainage –Foreign body removal
ARDS mediator modulation • Failed trials • Coagulation cascade • Immuno nutrition
ARDS blocking manifestations • Goals are to “buy time” and avoid complications • Support gas exchange/lung protective ventilator strategies • Assure other components of DO 2 are optimal • Altering lung fluid fluxes
ARDS Management Mechanical Ventilation : • Low TV (ARDSNET protocol) • Unconventional approach: • APRV • HFV
ARDS Management Mechanical Ventilation : • Low TV (ARDSNET protocol) General Measures: • Prone positioning • Nitric oxide • Unconventional approach: • APRV • HFV • NMBA • Fluid Management • ECMO
Ventilator Management
Ventilation with Lower Tidal Volumes as Compared with Traditional Tidal Volumes for Acute Lung Injury and Acute Respiratory Distress Syndrome 861 Patients 12 cc/kg 6 cc/kg 432 Patients 429 Patients ARDSNET N Engl J Med 2000; 342: 1301 8
ARDSNET: Setting the Ventilator Fi. O 2 . 3. 4. 4. 5. 5 PEEP 5 5 8 . 6 . 7 . 7 . 8 . 9 . 9 1 1 8 10 10 10 12 14 14 14 16 18 18 20 24 http: //hedwig. mgh. harvard. edu/ardsnet_old/justvent 911. html
Hypothesis of ARDSnet 6 vs 12 Trial
Brower et al, AJRCCM 2002; 166: 1515 17 Brower et al, AJRCCM 2005; 172: 1241 5
General Measures
Effect of Prone Positioning on Oxygenation Gattinoni, et al. N Engl J Med 2001; 345: 568 573 prone supine Change in Pa. O 2: Fi. O 2 from baseline to 1 h to end of period to next morning
• Multicenter RCT comparing prone (n = 237) and supine (n = 229) positioning in severe (P/F <150) ARDS
• Multicenter RCT comparing prone (n = 237) and supine (n = 229) positioning in severe (P/F <150) ARDS – > 16 hr / d prone positioning • Prone positioning associated with: – – Lower 28 and 90 day mortality More patients extubated at 90 days More ventilator free days (at 28, 90 d) No difference in complications Guerin et al. N Engl J Med 2013
Inhaled Nitric Oxide • Endogenous vasodilator • Inhalation of 2 40 ppm produces selective dilation of pulmonary vessels • Rapidly inactivated by combining with hemoglobin and by oxidation
What is the Role for Nitric Oxide in ARDS? • Oxygenation benefit for up to 4 days (5 20 ppm) ‐ • No outcome benefit (survival, duration of mechanical ventilation, ICU LOS) • Routine use of inhaled NO is not supported • Potential role for inhaled NO as rescue therapy for severe refractory hypoxemia
ECMO for ARDS • Venovenous (VV ‐ ECMO) for respiratory failure – Blood removed and pumped through oxygenator and returned to circulation; no cardiac support – Large vascular cannula, and coagulation, infection risk
The Bottom Line • Identify ARDS using conventional parameters (predisposition / timing, CXR, ABG) • Use “lung protective approach” – 6 ml/kg PBW Vt • Avoid trans alveolar pressure > 30 cm. H 2 O; • Avoid cyclic alveolar collapse by applying PEEP, particularly for severe ARDS
The Bottom Line • Conservative fluid management: aim for balanced I=O • Consider NMBA, prone positioning, NO, or ECMO for severe hypoxemia – moving from least invasive to most invasive. • Prove that it helps to continue rx
• Randomized, blinded controlled trial of methylprednisilone vs. placebo for ALI persisting > 7 days • 2 mg/kg/day x 14 days; then 1 mg/kg/day x 7 days then tapered over 4 days.
Methylprednisilone vs. placebo results
Pressure vs Volume ‐Targeted Ventilation in ARDS? • No large, recent (low Vt) RCTs comparing only pressure vs volume‐‐‐targeting • Potential advantages of pressure‐‐‐targeting – Easily adjust inspiratory time – Better patient‐‐‐ventilator synchrony – Avoid regionally excessive transalveolar pressure • Potential advantages of volume‐‐‐targeting – Avoid high tidal volume, simplify implementation Mac. Intyre & Sessler. Respir Care 2010; 55: 4355 Marini & Mac. Intyre Chest 2011; 140: 286 -294
Mortality according to % of recruitable lung
RM Techniques CCM 2004: 32: 2371
Mechanical Ventilation in ARDS: Prolonged Inspiratory Time • Methods – Inspiratory Pause – Decreased PIFR – Prolonged TI • Potential benefits – Higher mean pressure – Autopeep
Mechanical Ventilation in ARDS: Prolonged Inspiratory Time • Impaired DO 2 • Barotrauma • Need for heavy sedation • Doesn’t work
Ventilation with Lower Tidal Volumes as Compared with Traditional Tidal Volumes for Acute Lung Injury and Acute Respiratory Distress Syndrome Male IBW = 50 + 2. 3(ht(in) 60) Female IBW = 45. 5 + 2. 3(ht(in) 60) ARDSNET N Engl J Med 2000; 342: 1301 8
ARDSNET: Setting the Ventilator: Subtleties • RR can be increased to correct p. H • VT can be increased for – Dyspnea and breath stacking (if PPl < 30) – PPl < 25 and VT < 6 ml/kg • VT may go as far as 4 ml/kg if needed to keep PPl <30 cm. H 20 • Paralysis rarely needed (~6%) • Vast majority complied with protocol http: //hedwig. mgh. harvard. edu/ardsnet_old/justvent 911. html
Eisner MD et al. , Am J Resp Crit Care Med 2001; 164: 225
Causes of Death in ARDS (%) n=67 * Ferring M, Vincent JL. Eur Respir J 1997; 10: 1297 1300
ARDS: Organ Failure(s) and Mortality Ferring M, Vincent JL. Eur Respir J 1997; 10: 1297 1300
Inflammatory Cytokines in ARDS (D 1) Headley et al. , Chest 1997; 111: 1306
n=16 Elliot, C. G. et al. , ARRD 1987; 135: 634
Mc. Hugh, L. G. et al. , AJRCCM 1994; 150: 90 94
ARDS: AECC Consensus Definition
Criticism • Problems with the definition: –PEEP not specified –CXR criteria vague • ALI vs ARDS: Does it matter?
ALI vs ARDS: Does it Matter? Characteristic ALI (n=66) ARDS (n=221) P/F 239. 8 ± 27. 1 130. 7 ± 37. 5 Age 55. 0 ± 19. 8 61. 3 ± 16. 5 APACHE II 17. 2 ± 7. 9 19. 2 ± 7. 9 Quadrants on CXR 2. 8 ± 0. 8 3. 0 ± 0. 9 Mortality (90 d) 42. 2% 41. 2% Lure, O. R. et al. , Am J Respir Crit Care Med 1999; 159: 1849
Lung protection tradeoffs: PO 2 Crs also better in the HIGH Vt group
Lung protection tradeoffs: p. H ARDSnet rules allowed p. H values as low as 7. 15
Unconventional vent. approach
ARDS –Unconventional approaches: • Long I time strategies (APRV) • HFOV
APRV
APRV Concerns: Auto. PEEP & Tidal Volume Creep Tidal volume pressure flow 700 650 600 550 500 450 400 350 300 6 ml/kg IBW 10 pm 2 am 6 am 10 am Incomplete emptying (i. e. auto. PEEP)
HFOV – CPAP with a “wiggle”
HFOV for Severe ARDS • Multicenter RCT of 548 patients of HFOV vs LTVV (Vt 6 ml/kg, high PEEP) for ARDS (Pa. O 2: Fi. O 2 < 200 mm. Hg) • Stopped early for harm • HFOV associated with: – Higher mortality (ICU, hosp) – More sedation, NMBA – More vasopressors – Less refractory hypoxemia Ferguson et al. N Engl J Med 2013
HFOV for Severe ARDS • Multicenter RCT of 548 patients of HFOV vs LTVV (Vt 6 ml/kg, high PEEP) for ARDS (Pa. O 2: Fi. O 2 < 200 mm. Hg) • • Multicenter RCT of 795 UK patients of HFOV vs usual care for ARDS (Pa. O 2: Fi. O 2 < 200 mm. Hg) • – Vt = 8. 3 ml/kg, PEEP 11 cm H 2 O • Stopped early for harm • No difference in: • HFOV associated with: – 30 day all cause mortality – Higher mortality (ICU, hosp) – ICU, Hosp LOS – More sedation, NMBA – Vent free days ‐ – More vasopressors – Less refractory hypoxemia Ferguson et al. N Engl J Med 2013 Young et al. N Engl J Med 2013
ECMO for ARDS • Extracorporeal Life Support (ECLS) • Large RCT in UK : • lower mortality and/or disability in group (but many other Rx differences) Peek et al. Lancet 2009
What PEEP should we choose? High or Low?
Pressure vs Volume ‐Targeted Ventilation in ARDS? • No large, recent (low Vt) RCTs comparing only pressure vs volume‐‐‐targeting • Potential advantages of pressure‐‐‐targeting – Easily adjust inspiratory time – Better patient‐‐‐ventilator synchrony – Avoid regionally excessive transalveolar pressure • Potential advantages of volume‐‐‐targeting – Avoid high tidal volume, simplify implementation Mac. Intyre & Sessler. Respir Care 2010; 55: 4355 Marini & Mac. Intyre Chest 2011; 140: 286 -294
ARDS outcome • Long term mortality depends on underlying health status (11% mortality in 1 st year) NEJM 2003; 348: 8
ARDS outcome • Long term mortality depends on underlying health status (11% mortality in 1 st year) • At one year: – 6 MW 49%, VC 85%, DLCO 72% – PTSD like syndrome –Are these long term effects of hypoxemia? hypotension? drugs ? NEJM 2003; 348: 8
Controversies in VILI Overdistention • Is it “maximal” stretch or “tidal” stretch (or both) that causes VILI? –If “maximal” , goal is to keep Pplat <30 with any VT • Pplat < 30 is “safe” –If “tidal”, goal is to reduce VT and Pplat to minimums • No Pplat is “safe”
Stretch injury Is it max stretch or tidal stretch?
Controversies in VILI Overdistention • Is it “maximal” stretch or “tidal” stretch (or both) that causes VILI? –If “maximal” , goal is to keep Pplat <30 with any VT • Pplat < 30 is “safe” –If “tidal”, goal is to reduce VT and Pplat to minimums • No Pplat is “safe”
Steroids in ARDS: • Use of low dose, longer duration steroids is associated with more rapid recovery and may be associated with reduced mortality risk – But, small studies, methodological quality issues
Steroids in ARDS: • Use of low dose, longer duration steroids is associated with more rapid recovery and may be associated with reduced mortality risk – But, small studies, methodological quality issues • If use steroids in ARDS – Avoid starting after day 14 – Avoid NMBA – Infection surveillance – Methylprednisolone 2 m g/kg/d, taper over 4 weeks
Lower Tidal Volumes and Survival in ARDSNET N Engl J Med 2000; 342: 1301 8
8e2cd2a98ecffd358166ccdc8d098f86.ppt