Скачать презентацию АППАРАТУРНЫЙ МЕТОД ЛЕЧЕНИЯ КЛАССИФИКАЦИЯ АППАРАТОВ ВНЕРОТОВЫЕ Скачать презентацию АППАРАТУРНЫЙ МЕТОД ЛЕЧЕНИЯ КЛАССИФИКАЦИЯ АППАРАТОВ ВНЕРОТОВЫЕ

Аппаратурное лечение.ppt

  • Количество слайдов: 75

АППАРАТУРНЫЙ МЕТОД ЛЕЧЕНИЯ АППАРАТУРНЫЙ МЕТОД ЛЕЧЕНИЯ

КЛАССИФИКАЦИЯ АППАРАТОВ • ВНЕРОТОВЫЕ ----- • ВНУТРИРОТОВЫЕ • ОДНОЧЕЛЮСТНЫЕ --- • ДВУЧЕЛЮСТНЫЕ • СЪЕМНЫЕ КЛАССИФИКАЦИЯ АППАРАТОВ • ВНЕРОТОВЫЕ ----- • ВНУТРИРОТОВЫЕ • ОДНОЧЕЛЮСТНЫЕ --- • ДВУЧЕЛЮСТНЫЕ • СЪЕМНЫЕ ------- • НЕСЪЕМНЫЕ

ПО РАСПОЛОЖЕНИЮ • ВНЕРОТОВЫЕ • ВНУТРИРОТОВЫЕ ПО РАСПОЛОЖЕНИЮ • ВНЕРОТОВЫЕ • ВНУТРИРОТОВЫЕ

ПО РАСПОЛОЖЕНИЮ НА ЧЕЛЮСТЯХ • ОДНОЧЕЛЮСТНЫЕ • ДВУЧЕЛЮСТНЫЕ ПО РАСПОЛОЖЕНИЮ НА ЧЕЛЮСТЯХ • ОДНОЧЕЛЮСТНЫЕ • ДВУЧЕЛЮСТНЫЕ

ПО СПОСОБУ ФИКСАЦИИ • СЪЕМНЫЕ • НЕСЪЕМНЫЕ ПО СПОСОБУ ФИКСАЦИИ • СЪЕМНЫЕ • НЕСЪЕМНЫЕ

ПО МЕХАНИЗМУ ДЕЙСТВИЯ • МЕХАНИЧЕСКИЕ • ФУНКЦИОНАЛЬНЫЕ комбинированные ПО МЕХАНИЗМУ ДЕЙСТВИЯ • МЕХАНИЧЕСКИЕ • ФУНКЦИОНАЛЬНЫЕ комбинированные

Внеротовые аппараты Внеротовые аппараты

Лицевая дуга Лицевая дуга

Лицевая дуга Лицевая дуга

Лицевая дуга Лицевая дуга

Лицевая дуга Лицевая дуга

Направление силы действия лицевой дуги Направление силы действия лицевой дуги

Эффекты лицевой дуги Эффекты лицевой дуги

Лицевая маска Диляра Лицевая маска Диляра

Лицевая маска Диляра Лицевая маска Диляра

Лицевая маска Диляра Лицевая маска Диляра

Как работает лицевая маска Диляра Как работает лицевая маска Диляра

Как работает маска Диляра Как работает маска Диляра

Подбородочная праща с головной шапочкой Подбородочная праща с головной шапочкой

Самодельная праща с головной шапочкой Самодельная праща с головной шапочкой

Подбородочная праща с головной тягой Подбородочная праща с головной тягой

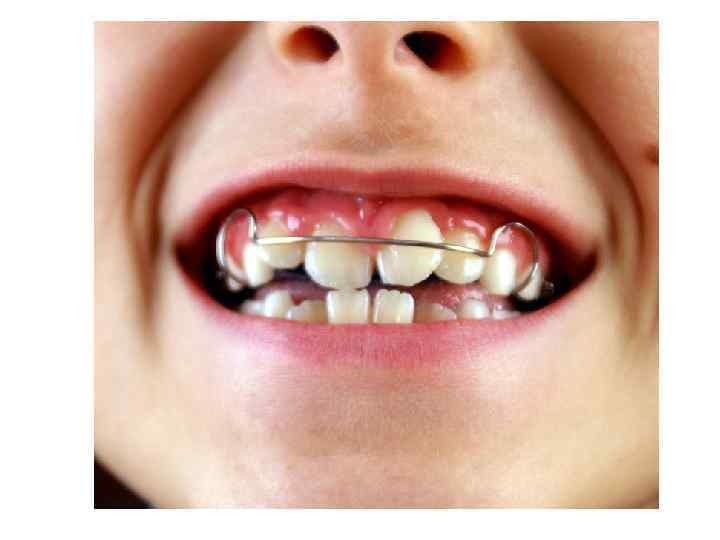
Механические аппараты (съемные, внутриротовые) Основные элементы: • Базис; • Кламмера (Адамса, круглый, пуговчатый); • Механические аппараты (съемные, внутриротовые) Основные элементы: • Базис; • Кламмера (Адамса, круглый, пуговчатый); • Вестибулярная дуга

Механические аппараты Активные элементы: • Винт; • Сложная вестибулярная дуга; • Пружины (рукообразные, протрагирующие, Механические аппараты Активные элементы: • Винт; • Сложная вестибулярная дуга; • Пружины (рукообразные, протрагирующие, толкатели) • Петли; • Брекет-системы (дуги, эластические цепочки, пружины, эластические тяги, )

Механические аппараты (несъемные, внутриротовые) Механические аппараты (несъемные, внутриротовые)

Механические аппараты Аппарат Дерихсвайлера Механические аппараты Аппарат Дерихсвайлера

Аппарат Гербста Аппарат Гербста

Аппарат для дистализации моляров Аппарат для дистализации моляров

Функциональные аппараты Функциональные аппараты

Регулятор функции Френкеля Регулятор функции Френкеля

Регулятор функции Френкеля Регулятор функции Френкеля

Регулятор функции Френкеля Регулятор функции Френкеля

Бионатор Бальтерса Бионатор Бальтерса

Аппарат Персина Аппарат Персина

Аппарат Брюкля Аппарат Брюкля

Комбинированные аппараты Комбинированные аппараты

Комбинированные аппараты Комбинированные аппараты

Аппарат Андрезена-Гойпля Аппарат Андрезена-Гойпля

Ретенционные аппараты (съемные) Ретенционные аппараты (съемные)

Ретенционные аппараты (съемные) Ретенционные аппараты (съемные)

Ретенционные аппараты (съемные) Ретенционные аппараты (съемные)

Ретенционные аппараты (несъемные) Ретенционные аппараты (несъемные)

Ретенционные аппараты (несъемные) Ретенционные аппараты (несъемные)

Заместительные детские протезы Заместительные детские протезы

Заместительные детские протезы Заместительные детские протезы

Заместительные детские протезы Заместительные детские протезы