Скачать презентацию Anatomy for Neuroimaging J Keith Smith M D Скачать презентацию Anatomy for Neuroimaging J Keith Smith M D

3da0744cd134083eead43ac8738c5bb9.ppt

  • Количество слайдов: 47

Anatomy for Neuroimaging J. Keith Smith, M. D. , Ph. D. Neuroradiology Anatomy for Neuroimaging J. Keith Smith, M. D. , Ph. D. Neuroradiology

Neuro-Anatomy • • Skull and Meninges (Dura, Pia) Vasculature: Veins and Arteries Surface Anatomy-Lobes, Neuro-Anatomy • • Skull and Meninges (Dura, Pia) Vasculature: Veins and Arteries Surface Anatomy-Lobes, gyri, Sulci Histologic-Broadman’s Functional-motor, sensory, speech White Matter Cross sectional imaging

Skull and Meninges Skull and Meninges

Intracranial Hemorrhage Intracranial Hemorrhage

Cranial nerves http: //www. teachingbiomed. man. ac. uk/resources/wwwcal/ cranial_nerves/page 1. asp Cranial nerves http: //www. teachingbiomed. man. ac. uk/resources/wwwcal/ cranial_nerves/page 1. asp

Arterial Blood Supply Arterial Blood Supply

Anterior circulation Internal carotid arteries Posterior circulation Vertebral arteries Anterior circulation Internal carotid arteries Posterior circulation Vertebral arteries

Anatomy and Vascular Territories of the 3 Main Cerebral Arteries: Middle Cerebral Artery Anatomy and Vascular Territories of the 3 Main Cerebral Arteries: Middle Cerebral Artery

Anterior Cerebral Artery and Posterior Cerebral Artery Anterior Cerebral Artery and Posterior Cerebral Artery

Cortical Areas Supplied by the MCA, ACA and PCA Cortical Areas Supplied by the MCA, ACA and PCA

Superficial and Deep Arterial Supply to the Cerebral Hemispheres Coronal Plane Superficial and Deep Arterial Supply to the Cerebral Hemispheres Coronal Plane

Superficial and Deep Arterial Supply to the Cerebral Hemisphere Axial Plane Superficial and Deep Arterial Supply to the Cerebral Hemisphere Axial Plane

Lenticulostriate Arteries Supply the Basal Ganglia and Internal Capsule Lenticulostriate Arteries Supply the Basal Ganglia and Internal Capsule

Arterial Supply of the Thalamus and Basal Ganglia Arterial Supply of the Thalamus and Basal Ganglia

Ischemic: MCA Infarct Ischemic: MCA Infarct

Ischemic: Lacunar Infarct Ischemic: Lacunar Infarct

Ischemic: Basilar Thrombosis Ischemic: Basilar Thrombosis

Surface Anatomy-Lobes http: //faculty. washington. edu/chudler/lobe. html Surface Anatomy-Lobes http: //faculty. washington. edu/chudler/lobe. html

Surface Anatomy-Gyri & Sulci http: //www. univie. ac. at/anatomie 2/plastinatedbrain/surfaceanatomy/surfac e-suplat-text. html Lateral Surface Anatomy-Gyri & Sulci http: //www. univie. ac. at/anatomie 2/plastinatedbrain/surfaceanatomy/surfac e-suplat-text. html Lateral

Medial http: //www. univie. ac. at/anatomie 2/plastinatedbrain /surfaceanatomy/surface. html Medial http: //www. univie. ac. at/anatomie 2/plastinatedbrain /surfaceanatomy/surface. html

Histological Anatomy-Broadman’s Histological Anatomy-Broadman’s

Functional- Motor Cortex Functional- Motor Cortex

Somatic Sensory Cortex Somatic Sensory Cortex

Language Areas Language Areas

Talaraic Atlas http: //www. neuro. spc. org/talaraic/ Talaraic Atlas http: //www. neuro. spc. org/talaraic/

White Matter-DTI White Matter-DTI

White Matter Fiber Tracts Association Projection Callosum Wakana S, Jiang H, Nagae-Poetscher LM, van White Matter Fiber Tracts Association Projection Callosum Wakana S, Jiang H, Nagae-Poetscher LM, van Zijl PC, Mori S. Fiber tract-based atlas of human white matter anatomy. Radiology. 2004 Jan; 230(1): 77 -87. Epub 2003 Nov 26.

Ventricles http: //faculty. washington. edu/chudler/vent. html Ventricles http: //faculty. washington. edu/chudler/vent. html

Normal CT Normal CT

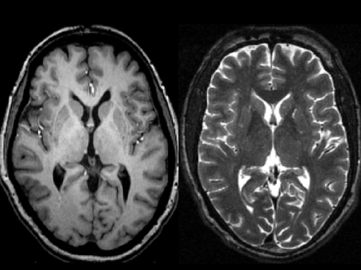
Normal MRI T 1 Weighted Normal MRI T 1 Weighted

Normal MRI T 2 Weighted Normal MRI T 2 Weighted

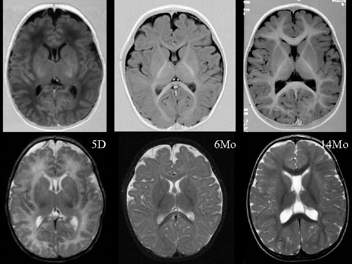
5 D 6 Mo 14 Mo 5 D 6 Mo 14 Mo

Misc Web resources http: //www. neuropat. dote. hu/anatomy. htm http: //www. temple. edu/acb/aker/Gross Brain Misc Web resources http: //www. neuropat. dote. hu/anatomy. htm http: //www. temple. edu/acb/aker/Gross Brain Show/slide 2. htm