АФО новорожденного ребенка.pptx
- Количество слайдов: 51
Анатомо-физиологические особенности доношенного новорожденного Anatomo-physiological features of a mature (full-term) newborn
Процесс адаптации новорожденного, к внешнему миру происходит при незрелой нервной системе и слабо выраженных иммунобиологических защитных реакциях, поэтому этот период считают критическим. The process of adaptation of the newborn to the outside world occurs when the immature nervous system and poorly defined immunological defense reactions, therefore, this period is considered critical.
Понятия Сoncepts • Доношенный новорожденный - ребенок, родившийся в сроке беременности от 37 до 42 недель (260 -294 дни гестации). • Недоношенный новорожденный - ребенок, родившийся в сроке беременности от 22 до 37 недель (до 260 -го дня гестации). • Full-term (mature) newborn is a baby born at term pregnancy from 37 to 42 weeks (260 -294 days of gestation). • Premature baby - a baby born at term of pregnancy from 22 to 37 weeks (up to 260 days of gestation).
• Доношенный ребенок массой более 2500 г. , ростом более 45 см имеет пропорциональное телосложение. • A full-term baby weighing more than 2500 g, an increase of more than 45 cm is proportional physique.
• Температура в помещении должна быть 24– 26°С, пеленальный стол с подогревом, ребенок должен быть сухим. Осмотр лучше проводить через 2 -2, 5 часа после кормления, когда ребенок бодрствует и находится в спокойном состоянии. Исследование во время сна или при беспокойстве могут дать недостоверные результаты. Обследование новорожденного требует терпения, осторожности и мягкости в обращении. • The room temperature should be 24 -26°C, changing table, heated, child must be dry. Inspection is best done in 2 -2. 5 hours after feeding, when the baby is awake and is in a calm state. Research while you sleep or when anxiety can give false results. Examination of a newborn requires patience, care and gentleness in handling.
Кожа The skin • В период рождения кожа ребенка покрыта первородной смазкой серовато-белого цвета, состоящей из слущенного эпителия и жира. • После удаления смазки на коже появляется физиологическая эритема, которая сохраняется до 2— 3 -х суток. В последующие дни наступает отрубевидное шелушение и кожа здорового новорожденного приобретает нежно-розовый цвет. • During the birth the baby's skin is covered with original grease grayish-white color, consisting of Kumanovo epithelium and fat. • After removal of lubricant, the skin appears physiological erythema that persists up to 2 -3 days. In the following days comes pityriasis peeling and the skin of a healthy newborn acquires a pale pink color.
• Роговой слой кожи тонкий, нежный. Эпидермис и базальный слой рыхлые, что обусловливает слабую связь эпидермиса с дермой, способствует легкому возникновений опрелостей и гнойничковых заболеваний. Кожа новорожденного обильно снабжена кровеносными сосудами и относительно широкими капиллярами. Повышена функция сальных желез и снижена — потовых. • The stratum corneum is thin, tender. The epidermis and basal layer of loose, resulting in a weak connection of the epidermis with the dermis, pores of occurrences of diaper rash and pustular diseases. Newborn skin is richly supplied with blood vessels and capillaries are relatively wide. Increased function of the sebaceous glands and reduced perspiration.
• Подкожная основа у доношенных детей хорошо выражена, жировые отложения состоят из большого количества тугоплавких кислот пальмитиновой и стеариновой, вследствие чего под влиянием охлаждения, обезвоживания и других факторов кожа может уплотняться и отекать. • Пушковые волосы (лануго) покрывают верхний отдел спины, плечи, лоб новорожденного. • У доношенных детей ногти покрывают ногтевое ложе, доходя до края фаланг, у недоношенных нередко не доходят до кончиков пальцев. • Subcutaneous basis in full-term infants are well defined, body fat consist of a large number of refractory palmitic and stearic acids, resulting under the influence of cooling, dehydration and other factors, the skin may thicken and swell. • Vellus hair (lanugo) cover the upper back, shoulders, forehead of a newborn. • In full-term infants fingernails cover the nail bed, reaching the edge of the phalanges, preterm often do not reach the fingertips.
• У новорожденных защитная функция кожи снижена, что объясняется нежностью ее поверхностных слоев и их легкой ранимостью. Кожа новорожденного очень быстро отдает тепло и влагу, поэтому в случаях неправильного ухода может наступить перегревание или переохлаждение ребенка. • In newborns the protective function of the skin is reduced, due to the tenderness of its surface layers and their easy vulnerability. Newborn skin is very quickly gives off heat and moisture, so in case improper care can come overheating or overcooling of the child.
• Стопы исчерчены многочисленными бороздками. • Пупочное кольцо располагается на середине расстояния между мечевидным отростком и лобком. • Foot striated numerous grooves. • The umbilical ring is located at mid-distance between xiphoid process and pubic bone.
Костная система The skeletal system • Кости новорожденного отличаются мягкостью, эластичностью и меньшей ломкостью. • Сразу же после рождения голова имеет вытянутую (долихоцефалическую) форму. • Голова отличается преобладанием мозгового черепа над лицевым, конфигурирована, покрыта волосами длиной 1 -2 см. Окружность головы на 1 -2 см больше, чем окружность груди. Высота головы составляет у доношенного ребенка 1/4. • The bones of the newborn are soft, elastic and less brittle. • Immediately after birth the head is elongated (has) form. • The head is characterized by a predominance of cerebral cranium over facial, configured, covered with hair with a length of 1 -2 cm. head Circumference of 1 -2 cm more than chest circumference. The height of the head is 1/4 full-term baby.
Родовая опухоль Generic tumor
Большой родничок Large fontanelle
• Шея короткая. Ушные раковины плотные. • Позвоночный столб у новорожденного не имеет физиологических изгибов. • Нижние конечности новорожденного относительно короткие, несколько искривлены выпуклостью кнаружи. • The neck is short. Auricle dense. • The spine of the newborn has physiological curves. • The lower limbs of the newborn are relatively short, somewhat curved bulge outward.
• Грудная клетка имеет форму усеченного конуса. Большой диаметр нижней грудной клетки обусловлен высоким расположением органов брюшной полости, особенно печени. После первого вдоха легкие расправляются, верхняя часть грудной клетки несколько расширяется, верхние ребра принимают почти горизонтальное положение. • The thorax has the shape of a truncated cone. The large diameter of the lower rib cage due to the high location of the abdominal organs, especially the liver. After the first breath the lungs are straightened, the upper part of the chest somewhat expands the upper ribs take a nearly horizontal position.
Мышечная система The muscular system • Мышцы у новорожденного развиты слабо, характерна мышечная физиологическая гипертония, обусловленная особенностями нервной системы – палидарная система преобладает над стриарной. Для здорового новорожденного характерна флексорная поза: ручки и ножки полусогнуты, кисти сжаты в кулачки. • Новорожденный самостоятельно не держит голову. Движения не координированы, хаотичны. • The muscles in the newborn are underdeveloped, characteristic physiological muscle hypertension, due to the peculiarities of the nervous system – Palitana system dominates striate. For a healthy newborn flexera characteristic posture: arms and legs bent, hands clenched in fists. • A newborn alone is not holding the head. Movements are not coordinated, chaotic.
Сердечно-сосудистая система The cardiovascular system • После первого вдоха зародышевые кровеносные пути — артериальный (боталлов) и венозный (аранциев) протоки, овальное отверстие и остатки пупочных сосудов — закрываются. • Сердце имеет округлую форму и расположено в грудной клетке высоко, поперечно, его размеры относительно грудной клетки велики. Круговорот крови у новорожденного происходит в 2 раза быстрее, чем у взрослого. • The first breath of a germ blood path — arterial (botallov) and venous (arancia) ducts, oval hole and the remnants of the umbilical vessels are closed. • The heart has a rounded shape and is located in a chest high cross, its dimensions are regarding the chest high. Circulation of blood in the newborn is 2 times faster than an adult's.
• Пульс в первые дни после рождения 140— 160 в 1 мин, на 2— 3 -й неделе— 125— 140 в 1 мин. Для детей раннего возраста характерны лабильность пульса, аритмия, особенно дыхательная. • Артериальное давление при рождении: систолическое 66 мм рт. ст, диастолическое 36 мм рт. ст. ; в возрасте 10 дней артериальное давление становится выше: 80 мм рт. ст. — систолическое и 43 мм рт. ст. — диастолическое. • The pulse in the first days after birth 140 -160 1 min, 2 -3 week— 125— 140 in 1 min. For children of early age is characterized by the lability of the pulse, arrhythmia, especially respiratory. • Blood pressure at birth: 66 mm Hg systolic. St, 36 mm Hg diastolic. article; at the age of 10 days the blood pressure becomes higher: 80 mm Hg. article — systolic and 43 mm Hg. article— diastolic.
• Отмечаются повышенная проницаемость, хрупкость, ломкость кровеносных сосудов, что объясняется плохим развитием в сосудистой системе эластической ткани. • Особенности ЭКГ новорожденного обусловлены положением сердца в грудной клетке, его анатомическим строением и иннервацией. Характерна правограмма. • Marked increased permeability, fragility of blood vessels, due to poor development in the vascular system elastic tissue. • ECG of a newborn due to heart position in the thorax, its anatomical structure and innervation. Typical right orientation.
Дыхательная система Respiratory system • Нос короткий, нижний носовой ход недоразвит, а остальные — узкие. Слизистая оболочка полости носа тонкая, обильно снабжена кровеносными сосудами, склонна к отеку. • Легкие новорожденного богаты кровеносными сосудами, межуточной тканью и бедны эластической тканью. Лимфатические щели и капилляры широкие. Вследствие этих особенностей легкие более полнокровны, менее воздушны и эластичны, что создает условия для возникновения застойных явлений и развития инфекции. • The nose is short, the lower nasal passage underdeveloped, and the rest narrow. The mucous membrane of the nasal cavity is thin, richly supplied with blood vessels, prone to edema. • Lungs of a newborn is rich in blood vessels, interstitial tissue and is poor in elastic tissue. Lymphatic capillaries and cracks wide. Due to these features light a fuller, less airy and stretchy, which creates conditions for the emergence of stagnation and the development of infection.
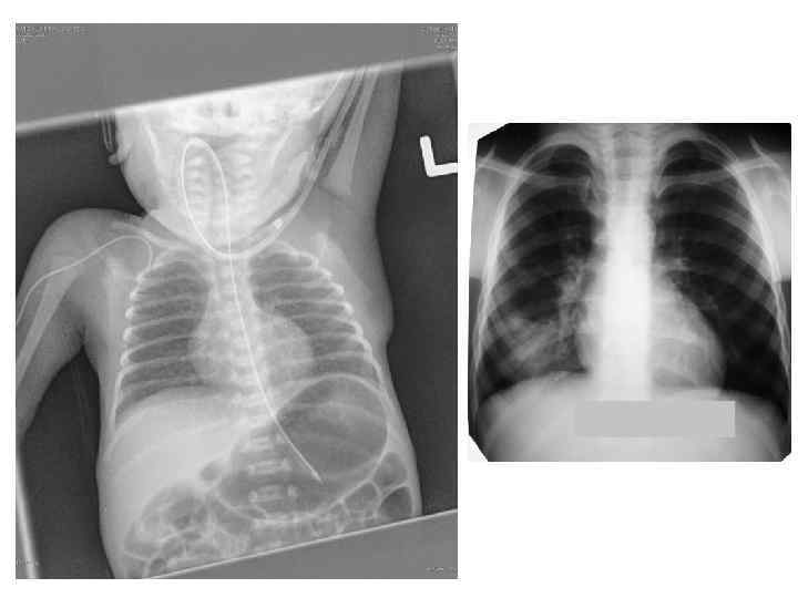
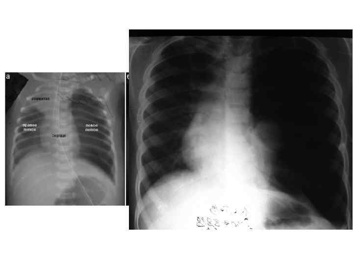
• У новорожденных дыхание частое и поверхностной, характерны аритмия и лабильность дыхания. Число дыхательных движений у доношенного новорожденного от 40 до 50— 60 в 1 мин. • Становление функции дыхания у новорожденных происходит при участии легочного сурфактанта (антиателектатического фактора). При недостатке сурфактанта (например, при гипоксии) развивается синдром дыхательных расстройств (СДР). • Newborns breathing is frequent and superficial, characterized by lability and arrhythmias breathing. The number of respiratory movements in full-term newborn from 40 to 50 -60 in 1 min. • The formation of the respiratory function in newborns occurs when the pulmonary surfactant (antiateroskleroticescoe factor). With a lack of surfactant (e. g. , during hypoxia) develops respiratory distress syndrome (SDR).
Пищеварительная система Digestive system • Полость рта у новорожденного относительно мала, слизистая оболочка ярко-красная, нежная, легко ранимая. • В толще щек — жировые комочки Биша, способствующие акту сосания. На губах расположены плотные валики (складки Робэна – Мажито), способствующие плотному захватыванию соска. • The mouth of the newborn is relatively small, the mucous membrane is bright red, tender, easily vulnerable. • Deep in the cheeks and fat lumps bisha, promoting the act of sucking. Lips tight rollers located (folds of Robena – Maito), contributing to the tight grasping of the nipple.
• Желудок доношенного ребенка в первые дни жизни вмещает 30— 35 мл жидкости. Мышцы кардиальной части желудка менее развиты, чем мышцы привратника, вследствие чего у новорожденных легко возникают рвота и срыгивание при заглатывании ребенком воздуха (аэрофагия), повышенной возбудимости, перекорме, при некоторых заболеваниях. • Желудочный и кишечный соки у новорожденного по составу такие же, как у взрослого, однако кислотность желудочного сока и активность ферментов в несколько раз меньше, чем у взрослого. • Слизистая оболочка кишок отличается повышенной проницаемостью для микробов и токсинов, что объясняется особенностями ее строения: она нежна, богато снабжена кровеносными сосудами, лимфатическими узлами, ворсинками, легко ранима.
• Stomach full-term baby in the first days of life accommodates 30 -35 ml. Muscle cardiac part of the stomach less developed than the muscles of the pylorus, resulting in newborns there is easy vomiting, and regurgitation when swallowing a child of air (aerophagia), hyperexcitability, overfeeding, in some diseases. • Gastric and intestinal juices in the newborn in composition the same as that of an adult, however, the acidity of gastric juice and enzyme activity is several times less than that of an adult. • The mucous membrane of the intestines has a high permeability to bacteria and toxins, because of the peculiarities of its structure: it is delicate, richly supplied with blood vessels, lymph nodes, fibers and vulnerable.
• Сразу после рождения ребенка содержимое кишок стерильно. Через несколько часов различными путями (через соски матери, предметы ухода и др. ) в них попадает сапрофитная микрофлора (бифидумбактерии, непатогенная кишечная палочка и др. ). • В первые 2— 3 дня после рождения у детей отходит меконий, состоящий из слущенного эпителия, кишечной слизи, желчи, проглоченных околоплодных вод. Меконий имеет вид темно-зеленой, гомогенной, тягучей, густой, лишенной запаха массы. В дальнейшем кал принимает золотисто-желтую окраску. • Частота стула у новорожденного 1— 3 до 5 раз в сутки.
• Immediately after birth the contents of the intestines sterile. After a few hours in different ways (across the nipples of the mother, care items, etc. ) gets them a saprophytic microflora (bifidobacteria, non-pathogenic E. coli, etc. ). • In the first 2 -3 days after birth in children leaves meconium, consisting of Kumanovo epithelium, intestinal mucus, bile and swallowed amniotic fluid. Meconium is a dark green, homogeneous, viscous, dense, devoid of odor mass. In the future, cal takes a Golden yellow color. • Stool frequency in the newborn 1 -3 to 5 times a day.
• Печень новорожденного имеет большие размеры, полнокровна, бедна соединительной тканью. При пальпации нижний край ее закруглен, на 1, 5— 2 см может выступать из-под края реберной дуги. В печени содержится недостаточное количество фермента глюкоронилтрансферазы, что предрасполагает к развитию желтухи. Кроме того, снижен синтез протромбина и других факторов свертывания крови, что обусловливает предрасположенность к геморрагическому синдрому. • The liver of the newborn is large, fulfilling, and poor connective tissue. On palpation the lower edge of its rounded, 1. 5— 2 cm may protrude from under the edge of costal arc. The liver contains an insufficient amount of enzyme glucuronyltransferase that predisposes to the development of jaundice. In addition, the reduced synthesis of prothrombin and other coagulation factors, resulting in a predisposition to hemorrhagic syndrome.
Мочевыделительная система The urinary system • Величина почек по отношению к массе тела у новорожденных больше, чем у взрослых, вследствие чего их можно пропальпировать. Почки доношенного ребенка функционируют нормально с первых дней жизни. • В первые 2— 4 дня жизни новорожденного характерна физиологическая олигурия, что обусловлено ограниченным поступлением в организм жидкости. В последующем мочеиспускание учащается до 20— 25 раз в сутки, при этом ребенок выделяет каждый раз от 10 до 50 мл мочи. Первые порции мочи бесцветны или с желтоватым оттенком. Начиная с 4 -5 дней жизни и весь период новорожденности моча бесцветна и прозрачна. • The size of the kidneys relative to body weight in neonates more than in adults, so that they can be palpated. The kidneys a full-term baby are functioning normally from the first days of life. • In the first 2 -4 days of life the newborn is characterized physiologic oliguria, due to limited intake of liquid. In subsequent urination becomes more frequent up to 20 -25 times a day, the child selects each time from 10 to 50 ml of urine. The first portion of the urine is a colorless or with a yellowish tint. Starting with 4 -5 days of life and during the neonatal urine is colorless and transparent.
Зрелость Mature • Это готовность органов и систем ребенка к обеспечению его внеутробного существования. • Зрелым считается здоровый доношенный ребенок, у которого морфологическое и функциональное состояние органов и систем соответствует его сроку гестации. • It is the willingness of the organs and systems of the child to ensure its extrauterine existence. • Mature is a healthy full-term baby, whose morphological and functional state of organs and systems consistent with his gestational age.
Шкала Petrussa Баллы 0 1 2 Ушные раковины Бесформенные, мягкие Загнут только верхний край Полностью сформированы, плотные Грудные железы Сосок в виде красной точки Яички В паховом канале Ареола соска едва Диаметр ареолы различима соска более 5 мм Высоко в мошонке Низко в мошонке Не закрывают Закрывают малые половые губы Большие половые губы Едва различимы Исчерченность стоп Только 1 -2 борозды Исчерченность верхней части стопы Исчерченность всей стопы Кожа Тонка, красная, прозрачная Красная или отечная Розовая Гестационный возраст = 30 + сумма баллов Gestational age = 30 + sum of points
Шкала зрелости по Балларду Scale of maturity for Ballard 1. Физическая зрелость 2. Нейро-мышечная зрелость 1. Physical maturity 2. Neuro-muscular maturity
Баллы 0 1 2 Поверхностное шелушение/сыпь, видны несколько вен Редкое Кожа Красная, отечная Гладкая, розовая, видны вены Лануго Нет Обильное Нет Нечеткие красные полосы Борозды на подошвенной поверхности стопы Грудные железы Ушные раковины Наружные половые органы (мальчики) Наружные половые органы (девочки) 3 4 Трещины, бледные Пергаментная, участки, видны глубокие трещины, несколько вен сосуды не видны Безволосистые участки Нет Выражена только Борозды выражены Борозды покрывают передняя только на передних всю стопу поперечная борозда 2/3 стопы Ареола возвышается Ареола полностью над окружающей сформирована, кожей, диаметр соска 5 -10 соска 3 -4 мм мм Едва есть Сосок не выражен, ареола плоская Ареола четко очерчена, диаметр соска 1 -2 мм Ушная раковина плоская, загнутая внутрь Край ушной раковины слегка загнут внутрь, она мягкая, расправляется хорошо Вся верхняя часть ушной раковины загнута внутрь, она мягкая, расправляется хорошо Мошонка пустая и гладкая Яички расположены Яички свободно Яички опущены в Мошонка пустая, над входом в подвешены в мошонку, складки слабо мошонку, на ней хорошо выражены выражено несколько выражены глубокие выражены складок складки Выступающие клитор и малые половые губы Выступающий клитор, широкие малые половые губы Большие и малые половые губы возвышаются в равной степени Ушная раковина полностью сформирована, плотная, быстро расправляется Большие половые губы частично покрывают малые Хрящ ушной раковины толстый, она твердая Большие половые губы полностью покрывают малые половые губы и клитор
Сумма баллов 2 х таблиц The sum of points 2 table Баллы Недели 5 26 10 28 15 30 20 32 25 34 30 36 35 38 40 40 45 42 50 44
АФО новорожденного ребенка.pptx