Анатомия.ppt
- Количество слайдов: 72
Анатомия, гистология, физиология кожи.
Кожа состоит из трех слоев: Эпидермис Дерма Гиподерма
Эпидермис состоит из 5 слоев: Базальный Шиповатый Зернистый Блестящий Роговой
Базальный слой (Stratum basale, germinativum) Состоит из 1 ряда клеток ( базальных кератиноцитов) Клетки цилиндрической формы, имеют овальное ядро Между собой клетки соединены межклеточными мостиками, свободно омываются питательными веществами Митотическая активность клеток данного слоя обеспечивает формирование вышележащих структур эпидермиса 1 кератиноцит – 2 шиповат. кл. В норме цикл развития кератиноцита – 28 дней. При гиперпролиферации – 14 дней. (1 кератин. – 4 шипов. К. )
Шиповидный слой (Stratum spinosum) Состоит из 3 -6 (иногда 15) рядов шиповатых кератиноцитов Клетки имеют полигональную форму, связаны между собой десмомомами Базальный и шиповидный слои называют Мальпигиевым ростковым слоем, так как в них встречаются митозы. Связи между клетками непрочные – клетки омываются питат. В-ми
Зернистый слой (Stratum granulosum) Состоит из 1 -5 рядов клеток ромбовидной формы, ядра уплощенные В цитоплазме клеток данного слоя образуются включения – зерна кератогиалина В цитоплазме присутствуют кератиносомы ( тельца Одланда).
Блестящий слой (Stratum lucidum) Состоит из 3 -4 рядов вытянутых по форме клеток Вся клетка заполнена аморфной массой - эллеидином Ядра в верхних слоях клеток отсутствуют Виден под микроскопом в виде сплошной прозрачной полосы
Роговой слой (Stratum corneum) является результатом полной кератинизации клеток. Клетки не имеют ядер, окрашиваются эозинофильно. Роговое вещество состоит из нерастворимого белка кератина, в который входит цистеин. Между клетками рогового слоя обнаруживают липиды, выполняющие барьерную функцию рогового слоя. Роговые чешуйки в нижних и средних отделах плотно прилегают к другу, ближе к поверхности они расположены более рыхло и легко слущиваются.
Дерма (Cutis propria). Состоит из 2 слоев сетчатого и сосочкового. Сосочковый слой представлен рыхлой неоформленной соединительной тканью. Сетчатый представлен плотной соединительной тканью.
Сосочковый слой (Stratum papillare).
Сетчатый слой (Stratum reticulare).
Строение дермы Основа (матрица). Волокнистые субстанции Клеточные компоненты
Строение дермы. 1. АМОРФНОЕ ВЕЩЕСТВО. Состоит из различных мукополисахаридов, в соединении с белками, глюкуроновой кислоты, хондроитинсерной к-т. Мукополисахариды, белки, сульфатированные полисахариды аморфного вещества вырабатываются фибробластами, гистиоцитами и тканевыми базофилами. Представляет собой гелеобразную аморфную массу.
Строение дермы. 2. Волокнистые структуры Коллагеновые волокна дерме располагаются в виде пучков. В сосочковом слое в тонкие, в небольшом количестве, располагаются перпендикулярно поверхности эпидермиса. Основу коллагеновых волокон составляет коллаген, относящийся к классу склеропротеинов. Эластические волокна обычных методах окраски не при видны. Состоят из 2 компонентов- белковых комплексов и мукополисахаридов (хондроитинсульфат В). На электронограммах состоит из аморфной части низкой электронной плотности и электронно-плотных фибрилл, располагающихся параллельно другу. Ретикулярные волокна - располагаются субэпидермально вокруг сосудов, сальных и потовых желез, волосяных фолликулов. Они так же как коллагеновые волокна имеют поперечную исчерченность.
Строение дермы. 3. КЛЕТОЧНЫЕ ЭЛЕМЕНТЫ. Представлены фиброцитами, фибробластами - в эндоплазматический сети которых образуются молекулы тропоколлагена , которые соединяясь с мукополисахаридами в комплексе Гольджи образуют молекулы коллагена. Молекулы коллагена выводятся из фибробласта в аморфное вещество в котором происходит сборка первичных молекул коллагена. Гистиоциты (оседлые макрофаги) наделенные специальной функцией - клетки секреции и накопления. Располагаются по ходу сосудов вокруг придатков кожи. Гигантские клетки Лангенгарсасодержат гранулы серотонина, гистамина, – участвуют в воспалении. Тканевые базофилы - локализуются по ходу кровеносных сосудов, капсул волосяных фолликулов в строме потовых желез, в верхних отделах дермы, в сосочковом слое. Плазматические клетки - встречаются редко, в виде единичных клеток вокруг сосудов. Имеют очень разветвленную эндоплазматическую сеть, т. к. клетка синтезирует белки иммуноглобулины. Т и В-лимфоцитыответственны за специфическую иммунную защиту организма.
Сосуды кожи Поверхностное капилярное сплетениепитает эпидермис; Глубокое капилярное сплетение – питает собственно кожу, железы, волосяные фолликулы.
Гиподерма (Subcutis). Подкожножировая клетчатка, связанная непосредственно с подлежащей фасцией соединительнотканными тяжами. Состоит из переплетающихся пучков рыхлой волокнистой ткани, между которыми располагаются скученные в дольки жировые клетки.
По характеру патологического процесса в эпидермисе Пролиферативные процессы Экссудативные процессы
Гиперкератоз Утолщение рогового слоя эпидермиса, являющееся следствием избыточного содержания кератина. Кожный рог
Гиперкератотическая экзема ладоней
Пролиферационный гиперкератоз формируется в результате повышения функциональной активности клеток эпидермиса, протекая на фоне утолщения зернистого и шиповатого слоев. Ретенционный гиперкератоз формируется в результате замедления процесса отшелушивания клеток рогового слоя. Зернистый слой при этом тонкий или вовсе отсутсвует. Красный плоский лишай Вульгарный ихтиоз
Гранулез утолщение зернистого слоя, в котором вместо 1 -2 рядов клеток насчитывают 5 и более.
Акантоз увеличение количества рядов клеток зернистого слоя (до 50)
Равномерный акантоз Экзема Псориаз Неравномерный акантоз
Папилломатоз удлинение, нередко в разветвлением, сосочков дермы, неравномерно приподнимающих над собой эпидермис.
Вегетирующая пузырчатка
Паракератоз нарушение процесса ороговения с потерей способности клеток эпидермиса вырабатывать кератогеалин, в результате чего происходит неполное ороговение клеток эпидермиса.
Дискератоз преждевременное автономное ороговение отдельных кератиноцитов.
Контагиозный моллюск Доброкачественный дискератоз Злокачественный Дискератоз кожи Рак
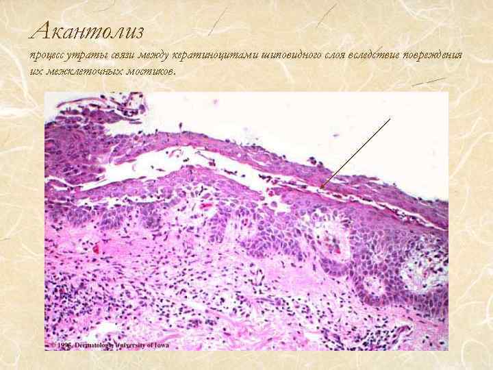
Акантолиз процесс утраты связи между кератиноцитами шиповидного слоя вследствие повреждения их межклеточных мостиков.
Вульгарная пузырчатка
Спонгиоз межклеточный отек в результате проникновения серозного экссудата из расширенных сосудов сосочкового слоя в эпидермис.
Вакуольная дегенерация - характеризуется внутриклеточным отеком кератиноцитов с образованием в их цитоплазме вакуолей.
Вакуольная дегенерация
Простой опоясывающий лишай
Баллонирующая дегенерация Некробиотический процесс, влекущий за собой разрыв межклеточных мостиков клетки или группы клеток. Клетки свободно плавают в расширенных межклеточных пространствах в виде набухших шаровидных образований. Это некробиотические изменения клеток мальпигиевого слоя с одновременным межклеточным отеком и образованием пузырьков в которых находятся дегенеративные клетки в виде шаров.
Баллонирующая дегенерация
Дисгидротическая форма микоза стоп
Нервный аппарат кожи. Клетки Меркеля, Мейснера – осязательные клетки. Колбы Краузе – холодовые рецепторы. Тельца Руффини – тепловые рецепторы. Тельца Фатера – Пачини – чувство глубокого давления.
Придатки кожи. Потовые железы. Сальные железы. Волосы. Ногти.
Потовые железы (glandulae sudoriparae ). Потовые железы имеют клубочковое строение и по механизму секреции делятся на эккринные (выделительные, мерокринового секреция которых типа), происходит без гибели секреторных клеток и апокринные, голокриновогоутипа, которых в момент секреции разрушается часть секреторной клетки выводного протока. Эккринные потовые железы располагаются на всех отделах кожного покрова, за исключением красной каймы губ, кожи малых половых губ, головки полового члена, крайней плоти. Особенно много их на коже ладоней, подошв, лба, груди, живота. Заболевание эккринновых потовых желез (группа глубокой стафилодермии) псевдофурункулез Фингера. Апокринные потовые железы локализуются в подмышечных впадинах, коже половых органов, мошонки, в нижней части живота, на лобке, в области молочных желез, в окружности ануса, в паховых складках. Их концевые отделы получают развитие только с момента полового созревания. Заболевания апокриновых потовых желез (группа глубокой стафилодермии) с поражением потовых желез гидраденит.
Сальные железы (glandulae sebaceae ). альвеолярные по типу строения с голокриновым типом секреции. Располагаются во всех участках тела, за исключением ладоней и подошв. Имеют выводной проток выходящий непосредственно на поверхность кожи или в инфандибулярную зону волосяного фолликула (встречаются в области ареолы сосков, малых половых губ, крайней плоти, головки полового члена, красной каймы губ, слизистой оболочки щек и глаз в виде мейбоевых желез).
Волосы делятся на Длинные (голова, борода, усы), Щетинистые (брови, ресницы, слизистая оболочка носового хода, слуховой проход, область лобка и подмышечных впадин), Пушковые, покрывающие значительную часть кожного покрова.
Строение волоса. Стержень – часть волоса, выстоящая над кожей. Корень, располагающийся в волосяном мешочке (волосяном фолликуле). Фолликулярная воронка – расширение в верхней части волосяного фолликула, у ее основания впадает выводной проток сальной железы. Нижняя часть корня несколько расширена и носит название луковицы волоса. Она покоится на волосяном сосочке, в котором находятся кровеносные сосуды, питающие волос.
Стенка волосяного фолликула состоит из двух оболочек: Наружная – соединительнотканная Внутренняя – эпителиальная, в которой различают наружное и внутреннее корневые влагалища
Микроскопически в волосе различают три слоя: Центральный - мозговое вещество. Состоит из кубических клеток, содержащих пигмент. Средний – корковое вещество, состоящее из сплющенных клеток. Наружный слой – кожица или кутикула, состоящий из плоских черепицеобразных клеток.
Фазы роста 3 фазы роста: анагеновая фаза катагеновая фаза телогеновая фаза
Анагеновая или фаза роста Зона кератинизации • Интенсивное деление клеток образующих волос в матриксе • Поддержка матрикса интенсивным кровоснабжением • Продолжительность роста волоса около 3 -8 лет
Катагеновая или переходная фаза • Замедление деления клеток образующих волос • Волосяная луковица отделяется от папулы • Фолликул сокращается на 1/3 к первоначальной длине и начинает двигаться к поверхности, способствуя выпадению волоса • Продолжительность: 2 -3 недели
Телогеновая или фаза покоя • Волос постепенно продвигается к поверхности кожи и выпадает • Волосяной фолликул опускается глубоко в кожу • В глубине волосяного фолликула в остатке прежнего зачаткового слоя клетки вновь начинают размножаться начинается новая анагеновая фаза • Продолжение: 2 -4 месяца
Цикл роста волос Рост волос цикличен
Ноготь (unguis). Представляет собой ороговевшее образование из плотно скрепленных кератинизированных клеток, сохранивших остатки ядер.
В ногтевой пластинке различают Тело Передний свободный край Задний край, срытый в коже, Два боковых края. Ногтевая пластинка сзади и с боков погружена в складки кожи, называемые ногтевыми валиками. Задняя часть ногтя, скрытая в коже, называется корнем ногтя. Поверхность кожи, на котором располагается ногтевая пластинка, носит название ногтевое ложе
Функции кожи. Защитная: от механического воздействия (от растяжения, от давления, от ушибов, защита подлежащих тканей); от электрического тока, от вредных химических влияний, от микроорганизмов. Рецепторная Экскреторная Иммунная Депо крови Резорбционная Терморегулирующая: теплоизлучение, теплопроведение, испарение воды с поверхности кожи. Секреторная: сальные и потовые железы. Обменная: синтез меланина, витамина D, водный обмен, минеральный обмен, углеводный обмен.
Строение слизистой Слизистая оболочка полости отличается от кожи с одной стороны, отсутствием волос и потовых желез, с другой, - наличием слюнных желез. Слизистая оболочка состоит из трех отделов: поверхностного (эпителия), слизистого (собственно слизистой оболочки), подслизистого. Поверхностный отдел (многослойный плоский эпителий) содержит два подслоя: базальный и шиповидный (ряд цилиндрических клеток и несколько рядов полигональных клеток, которые уплощаются по мере приближения к поверхности, в их протоплазме появляются кератогиалиновые включения). Слизистый отдел (собственно слизистая оболочка) состоит из основного межклеточного вещества, волокнистых субстанций (коллагеновые и эластические волокна), клеточных элементов (фибробласты, гистиоциты, плазматические и тучные клетки) и содержит слюнные железы, нервные окончания, кровеносные и лимфатические сосуды. На границе с эпителием образуются сосочки различной величины и формы - сосочковый подотдел, ниже располагается сетчатый отдел. Подслизистый отдел представлен рыхлой соединительной тканью с жировыми клетками.
Строение слизистой
Многослойный плоский эпителий и собств. слизистая на десне
Подслизистый слой. Сосуды и железы в рыхлой соединительной ткани
На спинке языка имеются сосочки: нитевидные, грибовидные, желобоватые и листовидные. Нитевидные сосочки придают языку беловатый оттенок и образуют неровную поверхность, которая с возрастом сглаживается. Грибовидные сосочки, локализуются в основном на кончике языка в виде красных точек. Желобоватые сосочки расположены на границе корня и тела языка. Они крупнее остальных (1 -3 мм в диаметре), погружены в слизистую, а края их выступают в виде валиков. Листовидные сосочки лучше всего заметны у новорожденных по боковым поверхностям языка.
Нитевидные сосочки. Листовидные сосочки
Грибовидный сосочек Желобоватый сосочек
Железы ротовой полости На поверхности слизистой оболочки полости рта и глотки открываются многочисленные мелкие и крупные слюнные железы. По характеру выделения секрета они делятся на три группы: белковые железы, выделяющие водянистый секрет, содержащий ферменты, растворенный белок и соли; слизистые железы, вырабатывающие тягучий секрет, содержащий много муцина, мало ферментов; смешанные железы, экскретирующие смешанный секрет.
Слюнные железы
Акантоз. Паракератоз. Дискератоз.
Гиперкератоз на слизистой


