0e3fa1001923ff0eed03dde7f1f86b57.ppt
- Количество слайдов: 43
Analysis of Transgenic Plants II
Ultimately sequencing?
Progeny Testing
a. Segregation analysis of event 30 b. Northern blot analysis c. Root growth (trait) Event number 27 28 29 30 All T 1 generation What can we infer about transgene expression of events 28 and 30?
Northern Analysis, Western Analysis
Northern blot analysis • Gives relative amount of gene expression-at the transcript level • Isolate m. RNA of good quality (not degraded) • Separate transcripts on a gel • Transfer to nylon filter • Probe filter with DNA of interest (transgene)
Northern blot example What is missing in this experiment?
Western blot • Also to measure gene expression—at the protein level. • Extract proteins • Separate proteins on a vertical gel • Transfer to a membrane using an electrotransfer system • Probe with antibodies. • Stain for antibodies
RT-PCR • • Isolate RNA from tissues of interest Eliminate all DNA from a sample Make c. DNA from m. RNA Perform PCR on sample using transgene-specific primers
Real-time PCR or Quantitative PCR • Real-time PCR uses fluorescence as an output for DNA amplification in real-time • The amount of starting template DNA (or c. DNA for RNA measurement (real-time RTPCR) is correlated with the Ct number • More DNA = lower Ct; Ct is the cycle number when a threshold amount of DNA is produced during the PCR experiment
http: //www. rt-pcr. com/ http: //www. youtube. com/watch? v=QVe. VIM 1 y. RMU Advantages of q. RT-PCR over RT-PCR?
Summary • Is my plant transgenic? – Survives selection – Reporter gene expression – Progeny analysis – PCR – Southern blot analysis • Is my plant expressing the transgene? – – – Northern blot analysis Western blot analysis ELISA RT-PCR Real-time RT PCR
Why GM Food? [2] - Example • The first GM whole food, FLAVR SAVRTM tomato, was marketed in the United States in 1994. – Slower ripen rate – Ripen longer on vine – Fully developed flavors Flavr Savr Tomato developed by Calgene (Sources: http: //www. ca. uky. edu/agripedia/glossary/flavr. htm)
Calgene • Circumstantial evidence available in the 1980 s suggested that expression of the tomato fruit enzyme polygalacturonase (PG) was key to fruit softening. • Researchers at Calgene, Inc. , in Davis, proposed to suppress PG accumulation in ripening tomatoes by introducing a reverseorientation copy of the gene, an “antisense” copy designed to prevent or drastically reduce the formation of PG.
Flavr Savr Tomato Traditional Tomato The Flavr Savr tomato ripens on the vine – resulting in fuller flavour. It is modified so that it remains firm after harvesting The traditional tomato must be harvested while it is still green and firm so that it is not crushed on the way to the supermarket. The traditional tomato is sprayed with ethylene after shipping to induce ripening. Ripe and Increas ed Flavour. Supermarke t Ripe but decrea sed flavou r. Flavr Savr is modified tomato for suiting modern productions and distributions. Credit: Owen Koo
Napoli et al. The Plant Cell, Vol. 2, 279 -289, April 1990 Transgene: 35 S pro: : CHS: : nos 3’ Transgenic line 1 Transgenic line 2 Transgenic line 3 Transgenic line 4 Phenotypes of chimeric CHS transgenotes and variations among flowers on single plants. A control (parental) flower is shown along with four different CHS transgenotes.
• By 1987, Calgene researchers identified and cloned a tomato fruit PG gene, developed methods for tomato transformation and regeneration, and produced tomato plants with inserted PG antisense DNA constructions. • In October 1992 the U. S. Department of Agriculture determined that the PG-antisense tomato lines were not a “plant-pest” risk and no longer required permits for field testing or transport.
Result
• On May 21, 1994, the genetically engineered FLAVR SAVR tomato was introduced in Davis and Chicago. • Demand for this product was high and remained high, but the product was never profitable because of high production and distribution costs.
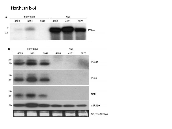
Northern blot
• In 1996, Zeneca, under license, introduced in the United Kingdom paste from PG-antisense tomatoes grown and processed in California, in collaboration with the grocery chains Sainsbury's and Safeway. • More than 1. 8 million cans, clearly labeled as derived from genetically engineered tomatoes, were sold from 1996 through early 1999.
• 1986 Cattle in Britain begin to suffer from a condition similar to scrapie in sheep, nicknamed “mad cow disease” due to the behavior of the sick cows. The cause is unknown, though some suspect the feeding of rendered scrapie-infected sheep to cattle.
• Early 1990 s 120, 000 cattle have been diagnosed with BSE in Britain. The British government insists the disease poses no threat to humans. House cats begin dying from beef byproducts in their pet food. Five types of antelope die in British zoos from TSEs that had been fed commercial cattle feed. Through all of this, the British government continues to adamantly insist that British beef is perfectly safe, and BSE is no threat to humans.
• May 1995 Stephen Churchill, 19, becomes the first victim of a new version of Creutzfeldt-Jakob Disease (v. CJD). His is one of three v. CJD deaths in 1995. • July 1997 21 v. CJD victims in Britain have been confirmed, many more unconfirmed cases.
SOURCE: Fernandez-Cornejo, J. , Wechsler, S. , Livingston, M. and Mitchell, L. 2014. Genetically Engineered Crops in the United States. USDA Economic Research Service Report No. 162, February 2014.
SOURCE: Fernandez-Cornejo, J. , Wechsler, S. , Livingston, M. and Mitchell, L. 2014. Genetically Engineered Crops in the United States. USDA Economic Research Service Report No. 162, February 2014.
SOURCE: Fernandez-Cornejo, J. , Wechsler, S. , Livingston, M. and Mitchell, L. 2014. Genetically Engineered Crops in the United States. USDA Economic Research Service Report No. 162, February 2014.
SOURCE: Fernandez-Cornejo, J. , Wechsler, S. , Livingston, M. and Mitchell, L. 2014. Genetically Engineered Crops in the United States. USDA Economic Research Service Report No. 162, February 2014.
Milestones in Food Biotechnology • 1999: GM corn and soybean products are present in 80% of processed foods in USA – Corn: • starch, high fructose corn syrup, oil – Soy: • oil, Lecithin, protein http: //nadav. harel. org. il/cola/image/Coke. Classic. jpg
Milestones in Food Biotechnology • 1999: European Union requires GM labels – blocks import of GM corn, beans • Ban lifted 2004 – but no change in anti-GM sentiment in Europe – Affects African export crops • Paternalism
Milestones in Food Biotechnology • 1999: Gerber and Heinz baby foods GMfree • 2000: Mc Donalds and Frito-Lay products GM -free http: //www. corrupt. org/articles/big_mac/bigmac. jpg
Milestones in Food Biotechnology • 2000: USDA Organic Foods Standards – Must be GM-free http: //www. taquitos. net/im/sn/Natural. Planet-Yellow. Corn. jpg
Milestones in Food Biotechnology • 2002 Zambia refuses GM maize as food aid – To help 2. 5 million in food shortage – Calls GM food “poison” – Heavily influenced by European attitudes about GM Zambian President Mwanawasa http: //news. bbc. co. uk/media/images/38232000/jpg/_38232577_levy 150. jpg
The USDA has deregulated the first two Arctic varieties, which can now be grown in the U. S. without restriction.


