8ec45379e14f52a1684c39b2cfea5e44.ppt
- Количество слайдов: 96
Akciğer Kanseri Doç. Dr. Tuncay Göksel Ege Üniversitesi Tıp Fakültesi Göğüs Hastalıkları Anabilim Dalı Toraks Derneği Kış Okulu 2006 Kuşadası
SORU 100 yıl önce akciğer kanseri sıralamada kaçıncı sıradaydı ? A) 1. sırada B) 5. sırada C) 10. sırada D) 15. sırada E) Sıralamada değildi
100 yıl önce akciğer kanseri sıralamada kaçıncı sıradaydı ? A) 1. sırada B) 5. sırada C) 10. sırada D) 15. sırada E) Sıralamada değildi
Tarihte akciğer kanseri 1912 yılında Adler “primary malignant growths of the lungs and bronchi “ adlı bir kitap yayınladı. Bu kitapta literatürde bulduğu 374 vakayı değerlendirdi. Sigara tüketiminin 1. Dünya savaşında artmasıyla hasta sayısında artış olmaya başlamıştır.
D. M. Parkin. Global Cancer Statistics, 2002. CA Cancer J Clin 2005; 55: 74– 108
.
Erkeklerde kanser sıklığı (/100. 000) Spiro, Lung Cancer 2001 Fidaner, Eur J Cancer 2001 Akciğer Prostat Kolon Mide USA (White) 61. 3 100. 8 72. 4 7. 5 USA (Black) 99. 1 137. 0 46. 4 14. 5 EU 55. 6 28. 9 33. 8 16. 7 Japan 39. 6 51. 0 83. 1 Israel 27. 0 23. 9 39. 2 13. 0 Turkey 61. 6 5. 4 7. 0 8. 0
Global Cancer Statistics, Parkin: CACancer. JClin 1999; 49: 33 -64
Global Cancer Statistics, Parkin: CACancer. JClin 1999; 49: 33 -64
Türkiye’de durum Erkeklerde kanser Oran İnsidens (/100. 000) 1 -Akciğer %38. 6 61. 6 2 -Deri %7. 1 11. 5 3 -Larinks %6. 9 10. 6 4 -Mesane %6. 8 11. 0 5 -Mide %5. 2 8. 0 6 -Prostat %3. 1 5. 4 Fidaner, Eur J Cancer 2001; 37(1): 83 -92
Türkiye’de durum Kadınlarda kanser Oran İnsidens (/100. 000) 1 -Meme %26. 7 24. 4 2 -Deri %8. 8 3 -Uterus %6. 5 6. 4 4 -Over %6. 4 5. 9 5 -Serviks %5. 9 5. 4 6 -Akciğer %5. 2 5. 1 Fidaner, Eur J Cancer 2001; 37(1): 83 -92
SORU Aşağıdaki ifadelerden hangisi yanlıştır? 1. Kanser riski açısından “Light” sigaralar da diğer sigaralar kadar zararlıdır 2. Akciğer kanserini önlemenin en etkili yolu riskli grupları taramadan geçirmektir. 3. Akciğer kanseri kadınlarda daha az sıklıkta gözlenir. 4. Kücük hücreli akciğer karsinomu en hızlı ilerleyen akciğer kanser tipidir. 5. Türkiye’de en sık görülen akciğer kanser tipi skuamöz hücreli karsinomdur.
1. Kanser riski açısından “Light” sigaralar da diğer sigaralar kadar zararlıdır 2. Akciğer kanserini önlemenin en etkili yolu riskli grupları taramadan geçirmektir. 3. Akciğer kanseri kadınlarda daha az sıklıkta gözlenir. 4. Kücük hücreli akciğer karsinomu en hızlı ilerleyen akciğer kanser tipidir. 5. Türkiye’de en sık görülen akciğer kanser tipi skuamöz hücreli karsinomdur.
En önemli etiyolojik faktör Sigara
Sigara & akciğer kanseri Danimarka Skulodottir et al. Lung Cancer 2000; 27: 107 -18 males 1943 1998
Sigara prevalansı / Türkiye > 15 yaş (SB-PİAR, 1988) – Erkek: 63% – Kadın: 24% – Toplam: 44% Sigaracı doktorlar (TTB, 1999) – – – Erkek: Kadın: Toplam: 44% 34% 42%
Türkiye’de sigara tüketimi /milyar tane sigara
Çevresel maruziyet Asbest Metaller – Arsenik – Krom – Nikel Egzoz gazı Silika İlişki zayıf
Asbest Mesleksel maruziyet Çevresel maruziyet Akciğer kanser riski 10 kez artıyor Asbest ve sigara birlikte ise sinerjistik etki var – Sigara asbest retansiyonunu arttırıyor
Asbest maruziyeti
Türkiye’de durum (11849 akciğer kanserli olgu) Erkek: %90. 4 Kadın: %9. 6 Sigara: %77. 9 : sigara içici %10. 8 : bırakmış %11. 3 : hiç içmemiş Asbest maruziyeti: %1. 0 T. D. Akciğer ve Plevra Maligniteleri Çalışma Grubu, Respiration 2002; 69: 207 -10
Diyet Antioksidandan zengin diyet oksidatif DNA hasarını engelliyor Antioksidandan zengin diyet – Meyva, sebze, – Retinol, β karoten, vitamin C Kemoprevensiyon çalışmalarında β karotenin koruyucu etkisi gözlenmedi Son yıllarda yapılan kohort çalışmalar meyva ve sebzeden zengin diyet akciğer kanser riskini azaltıyor Kuvvetli delil yok – Sigaranın etkisini ekarte etmek mümkün değil.
Radyasyon maruziyeti Yüksek lineer enerjinin transfer edildiği radyasyon (Radon) Uranyum madenleri Ev içi (indoor) Önemli risk faktörü Düşük lineer enerjinin transfer edildiği radyasyon (X-Rays, gamma Rays) Yüksek dozda maruziyette akciğer kanser riski artıyor Düşük dozda risk küçük
Hava kirliliği Atmosferik hava kirliliği – Polisiklik aromatik hidrokarbonlar – Metaller (Arsenik, nikel, krom) Ev içi hava kirliliği : – Isınma, yemek pişirme sırasında çıkan gazlar
Genetik yatkınlık Phase II enzyme (Glutathione S-transferase) Phase I enzymes of cytochrome p 450 (CYP 1 A 1, CYP 2 D 6) CYP 1 A 1 Polimorfizimi Glutathione S-transferase de genetik defekt Artmış akc. CA riski
Protein kinaz inhibitörleri Büyüme inhibe edici faktörler Süpresör genler Protein kinazlar Büyüme faktörleri Onkogenler
Erken tanı için tarama önerilmez – X-Ray – Balgam sitolojisi – Düşük doz spiral toraks BT: Yararı olmadığı kanıtlandı önerilmesi için yeterli data yok
SORU - Küçük hücreli dışı akciğer kanseri tanısı almış bir hastada tedavi planlanırken aşağıdaki seçeneklerden hangisi diğerleri kadar önemli değildir? 1. 2. 3. 4. 5. Evresi Fiziksel performansı Yaşı Histolojik alt tipi Ek hastalık olup olmadığı
- Küçük hücreli dışı akciğer kanseri tanısı almış bir hastada tedavi planlanırken aşağıdaki seçeneklerden hangisi diğerleri kadar önemli değildir? 1. 2. 3. 4. 5. Evresi Fiziksel performansı Yaşı Histolojik alt tipi Ek hastalık olup olmadığı
Prognozu ve tedaviyi belirleyen en önemli 3 faktör Histolojik tip (KHAK - KHDAK) Evre Performans durumu (Yaş, ek hastalık, genel durum)
Histolojik sınıflandırma Küçük hücreli karsinom Küçük hücreli dışı karsinom – – Skuamöz hücreli karsinom Adenokarsinom Büyük hücreli karsinom Adenoskuamöz karsinom Pleomorfik, sarkomatoid ya da sarkomatöz elemanlar içeren karsinomlar Karsinoid tümörler Tükrük bezi tipindeki karsinomlar Sınıflandırılamayan karsinomlar
Türkiye’de durum Histolojisi bilinen: 10251 olgu Skuamöz hücreli : %45. 4 Küçük hücreli : %20. 5 Adenokanser : %20. 2 Büyük hücreli : %2. 0 Küçük hücreli dışı (alt tipi ? ) : %9. 0 Küçük hücreli ve dışı kombinasyonu : %1. 1 Adenoskuamöz : %0. 8 Karsinoid tümör : %1. 0 T. D. Akciğer ve Plevra Maligniteleri Çalışma Grubu, Respiration 2002 ; 69: 207 -10
Evreleme KHDAK: TNM sistemi KHAK: İkili sistem – Sınırlı hastalık – Yaygın hastalık
5. 4 cm
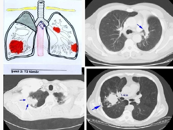
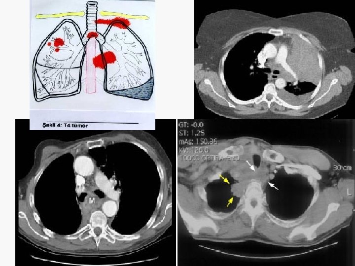
Evreleme EVRE 0 : Tis N 0 M 0 EVRE IA : T 1 N 0 M 0 EVRE IB : T 2 N 0 M 0 EVRE IIA : T 1 N 1 M 0 EVRE IIB : T 2 N 1 M 0 T 3 N 0 M 0 EVRE IIIA : T 1 -3 N 2 M 0 T 3 N 1 M 0 EVRE IIIB : T 4 N M 0 T N 3 M 0 EVRE IV : T N M 1
KHAK Evreleme Sınırlı hastalık Hastalık tek bir hemitoraks ve bölgesel lenf nodları ile sınırlı (Evre I-III) Yaygın hastalık Sınırlı hastalıktan daha yaygın durum (Evre IV)
En sık metastaz yerleri Kemik Karaciğer Sürrenal Beyin Karşı akciğer
Türkiye’de durum Küçük hücreli dışı Evre I : %5. 6 Evre II : %7. 7 Evre IIIA : %14. 2 Evre IIIB : %32. 1 Evre IV : %40. 4 Küçük hücreli karsinom Sınırlı Hastalık : %37. 9 Yaygın hastalık: %62. 1 T. D. Akciğer ve Plevra Maligniteleri Çalışma Grubu, Respiration 2002 ; 69: 207 -10
SORU 61 yaşındaki erkek hasta Mediastende LAP yok toraks USG plevral kalınlaşma var, sıvı yok Üst batın, beyin BT ve kemik sintigrafisi olağan Bronkoskopi normal BT eşliğinde yapılan TTİİA skuamöz hücreli CA Hastanın evresi ? 1. Evre IB 2. Evre IIA 3. Evre IIB 4. Evre IIIA 5. Evre IIIB
61 yaşındaki erkek hasta Mediastende LAP yok toraks USG plevral kalınlaşma sıvı yok Üst batın, beyin BT ve kemik sintigrafisi olağan Bronkoskopi normal BT eşliğinde yapılan TTİİA skuamöz hücreli CA Hastanın evresi ? 1. Evre IB 2. Evre IIA 3. Evre IIB (T 3 N 0 M 0) 4. Evre IIIA 5. Evre IIIB
56 yaşındaki erkek hasta Mediastende LAP yok Üst batın, beyin BT ve kemik sintigrafisi olağan Bronkoskopi: sol üst lob bronş ağzında tm Biopsi KHDAK Hastanın evresi ? 1. 2. 3. 4. 5. Evre IB Evre IIA Evre IIB Evre IIIA Evre IIIB
61 yaşındaki erkek hasta Mediastende LAP yok Üst batın, beyin BT ve kemik sintigrafisi olağan Bronkoskopi: sol üst lob bronş ağzında tm Biopsi KHDAK Hastanın evresi ? 1. Evre IB (T 2 N 0 M 0) 2. Evre IIA 3. Evre IIB 4. Evre IIIA 5. Evre IIIB
Tanı Klinik ve radyolojik olarak inoperabl akc. Ca düşünülen olgularda en kolay tanı yöntemi seçilmelidir. – – Balgam sitolojisi Bronkoskopi TTİİA (akciğer, LAP, metastaz) Torasentez Plevral effüzyonu olan olgularda ilk tanı girişimi plevral ponksiyon olmalıdır. Eksudalarda 2 kez sitoloji negatif ise ve operasyona engel başka bir neden yoksa 2. girişim torakoskopi olmalıdır. Torakoskopi yoksa 2. ponksiyonda kapalı bx
Non-invaziv evreleme (1) Toraks BT’de kısa çapı 1 cm’den büyük LAM’lar anlamlı kabul edilir ama bu metastatik anlamına gelmez. Toraks MR – Süperior sulkus tümörlerinin evrelemesinde kullanılmalı – Mediasten ya da toraks duvarı invaz. değerlendirmek için önerilmez.
Non-invaziv evreleme (2) Metastaz kuşkusunu arttıran bulgular her hastada sorgulanmalıdır. – – – – – Kilo kaybı (>%10) Lokal kemik ağrısı, kemiklerde hassasiyet Nörolojik semptomlar ya da bulgular >1 cm periferik LAM Ses kısıklığı, VCSS Hepatomegali Yumuşak doku kitlesi Anemi (erkekte <%40, kadında <%35) Ca, ALP, SGOT, GGT yüksekliği
Non-invaziv evreleme (3) Uzak metastaz araştırma endikasyonları – Anormal klinik bulgu varsa – N 2 -3 varsa – Mediasten invaze tümör (T 4) varsa ve radikal tedavi düşünülüyorsa Evre I ve II’de, klinik değerlendirme normal ise metastaz araştırmaya gerek yoktur. KHDAK’un alt gruplarının prognostik önemi yoktur. Metastaz taramada farklı davranılmaz.
Non-invaziv evreleme (4) İncelemeye hangi bölgeye ait bulgu varsa oradan başlanmalıdır (batın BT, beyin BT/MR, kemik sintigrafisi). Eğer klinik ve radyolojik görünüm metastaz ile çok uyumlu ise radyolojik bulgu metastaz kabul edilir. Onun dışında kesin metastaz demek ve cerrahiyi dışlamak için İİA ya da doku biopsisi yapılmalıdır.
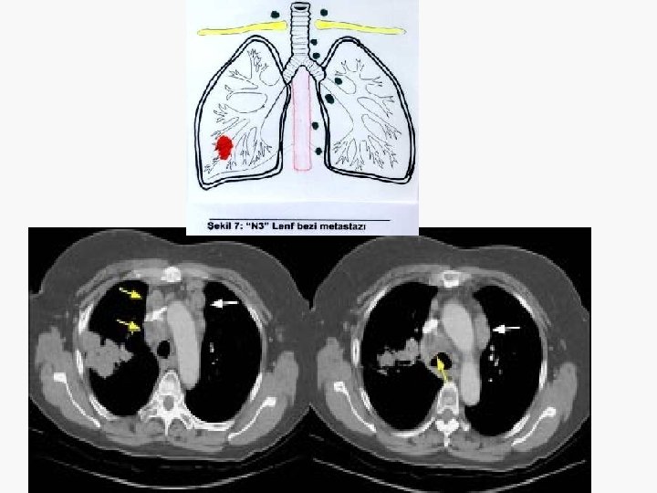
İnvaziv evreleme (1) BT’de LAP pozitif operabl olgularda mediastinoskopi zorunludur. – Servikal mediastinoskopi ile 2 R, 2 L, 4 R, 4 L, 7 (anterior) ve 1. ile 3. istasyonlara ulaşılabilir. – 5 ve 6 numara için genişletilmiş mediastinoskopi ya da torakoskopi gerekir. – 7 (posterior), 8, 9 numaralar için torakoskopi gerekir. – TTİİA, TBİİA, mediastinoskopiye alternatiftir, ancak negatif sonuçlar metastazı dışlamaz.
İnvaziv evreleme (2) BT’de LAP negatif operabl olgularda mediastinoskopi opsiyoneldir. – Cerrahi düşünülen Pancoast tümörlerde ve santral tümörlerde yapılmasında yarar vardır. – Periferik tümörlerde ihmal edilebilir. – Sol üst lob tümörlerinde genişletilmiş mediastinoskopi ya da torakoskopi gerekir.
PET Her yerde olmaması ve maliyeti nedeniyle rutin olarak önerilmez. Yanlış pozitiflik – – İnfeksiyon Granulomatoz hastalıklar TB, aktif sarkoidoz, Wegener Yanlış negatiflik – – – Karsinoid tümör Bronkoalveolar karsinom 1 cm’den küçük lezyon
PET’in mediastinoskopiye rehberliği – Mediastinal LAP tutuluşu pozitif ise mediastinoskopi ile doğrulama gerekir. – Mediastinal LAP tutuluşu negatif ise mediastinoskopi zorunlu değildir, direkt cerrahi uygulanabilir.
Yanlış negatif Bronkoalveolar karsinom
Küçük hücreli akciğer karsinomu Tüm hastalarda rutin evreleme yapılmalıdır – Tam kan, biyokimya, toraks, batın BT, beyin BT veya MR, kemik sintigrafisi – LDH yüksek ya da sitopeni varsa kemik iliği aspirasyon ve biopsisi önerilir. – Metasataz taraması semptom olan bölgeden başlanır. Bir bölgede metastaz saptanan asemptomatik olgularda ileri taramaya gerek yoktur. – Cerrahi düşünülen çok erken evre olgularda mediastinoskopi yapılmalıdır.
Operasyona uygunluk Fizyolojik değerlendirme (1) Sadece yaş inoperabilite kriteri değildir. Preoperatif kardiyolojik değerlendirme her hastada yapılmalıdır İlk inceleme: SFT – Pnömonektomi için FEV 1 > 2 lt ya da %80 (beklenenin) – Lobektomi için FEV 1 > 1. 5 Başka teste gerek yoktur.
Operasyona uygunluk Fizyolojik değerlendirme (2) DLCO endikasyonları – İnters. A. H. ya da egzersiz dispnesi – FEV 1 < %80 ya da 2 lt (pnömonektomi için) – FEV 1 < 1. 5 lt (lobektomi için) Postop. akc. fonksiyonları hesaplama endikasyonları – – – FEV 1 < %80 ya da 2 lt (pnömonektomi için) FEV 1 < 1. 5 lt (lobektomi için) DLCO < %80
Operasyona uygunluk Fizyolojik değerlendirme (3) Postop. akc. fonksiyonları hesaplama yöntemleri – pnömonektomi için perfüzyon sintigrafisi pre. FEV 1 X (1 - rezek edilecek akc. perfüzyonu) – lobektomi için kalan segment sayısı pre. FEV 1 X kalan segment sayısı total segment sayısı ppo FEV 1 ve DLCO > %40 opere olabilir
Soliter pulmoner nodül <3 cm Eski grafiler değerlendirilmelidir. – İki yıllık stabilite – X-Ray’de tipik benign kalsifikasyon İleri incelemeye gerek yok BT’de mediastinal LAP yok Hasta operabl Boyut: 1 -3 cm Torakotomi < 5 mm ya da 5 -10 mm (kenarları düzenli) Takip 5 -10 mm (kenarları düzensiz) Cerrahi
Soliter pulmoner nodül Cerrahiyi reddeden ya da cerrahiye uygun olmayan hastalarda – TTİİA – Transbronşiyal İİA Pozitif Tedavi Negatif PET Negatif Takip Kesin doku tanısı olmayan SPN’de izlem – 2 yıl takip – 3. , 6. , 12. , 24. aylarda X-Ray ve/veya BT
Evre l ve Evre II § Tedavi cerrahidir (lobektomi / pnömonektomi) § Tam rezeksiyonda postop RT önerilmez § Cerrahi sınır invazyonu § Tamamlayıcı cerrahi § RT § Medikal inop. olgularda RT
Göğüs duvarı invazyonu Evre IIB (T 3 N 0 M 0) Evre IIIA (T 3 N 1 M 0) Sadece parietal plevrayı tutan olgularda ekstraplevral rezeksiyon uygulanabilir. Daha derin invazyonlarda ‘en blok’’ rezeksiyon tercih edilmelidir. Tam rezeksiyon postop RT’ye gerek yok Cerrahi sınır (+) postop RT
Pancoast tümörü Potansiyel operabl olgularda mediastinoskopi T 3 N 0 -1 – Preop. KT + RT (40 -45 Gy) Cerrahi – Preop. RT (40 -45 Gy) Cerrahi T 4 ya da N 2 -3 – KT + RT (60 Gy)
Evre IIIA (N 2) IIIA 1: Patolojik muayenede saptanan gizli N 2 Cerrahi IIIA 2: İntraoperatif saptanan tek istasyon N 2 Cerrahi IIIA 3: Preoperatif saptanan tek veya multipl istasyon N 2 (potansiyel rezektabl) Neoadjuvant KT ± RT Cerrahi KT+RT IIIA 4: Bulky N 2 KT+RT / RT Opere N 2’de adjuvan RT önerilir.
Adjuvant KT Evre IIIA Evre II (Performansı iyi olan olgularda) Cisplatin bazlı KT (4 kür)
Evre IIIB ECOG 0 -1, minimal kilo kaybı olgularda RT+KT > RT Ölüm riskinde %13 azalma 2 yıl sağkalımda %4, 5 yıl sağkalımda %2 kazanç sağlanır (P=. 005) Eş zamanlı KT+RT > ardışık KT+RT ancak toksisite fazla KT uygulanamayan olgularda sadece RT
Evre IIIB (Malign plörezi) Prognoz evre 4 hastalık gibidir. ECOG 2 -4 olgularda destek tedavi ECOG 0 -1 olanlarda ise KT ve destek tedavi Semptomatik ya da belirgin sıvısı olan hastalarda boşaltma sonrası akciğer ekspanse oluyorsa plöredez yapılmalıdır
Evre l. V Cisplatin bazlı KT; – 1 yıl sağkalımda %10 düzelme – Ortalama sağkalımda 1. 5 ay iyileşme – Ölüm riskinde %27 azalma ECOG 0 -1 Minimal kilo kaybı olan olgularda Cisplatin bazlı KT Cisplatin+etoposide Mitomycin+ifosfomide+ cisplatin (MIC) Cisplatin+vinorelbin Cisplatin+gemcitabine Cisplatin+taxanlar
KHDAK’de tedavi sonrası sağkalım (%) 1 yıl 2 yıl c. IA (n=687) 91 c. IB (n=1189) 72 c. IIA (n=29) 79 c. IIB (n=357) 59 c. IIIA (n=511) 50 c. IIIB (n=1030) 34 c. IV (n=1427) 19 79 54 49 41 25 13 6 3 yıl 71 46 38 33 18 7 2 4 yıl 5 yıl 67 41 34 26 14 6 2 61 38 34 24 13 5 1
61 yaşındaki erkek hasta Mediastende LAP yok toraks USG plevral kalınlaşma sıvı yok Üst batın, beyin BT ve kemik sintigrafisi olağan Bronkoskopi normal, TTİİA skuamöz hücreli CA Evre IIB (T 3 N 0 M 0) Tedavi öneriniz? 1. 2. 3. 4. Cerrahi Radyoterapi Kemoterapi Neoad. KT cerrahi 5. KT+RT
61 yaşındaki erkek hasta Mediastende LAP yok toraks USG plevral kalınlaşma sıvı yok Üst batın, beyin BT ve kemik sintigrafisi olağan Bronkoskopi normal, TTİİA skuamöz hücreli CA Evre IIB (T 3 N 0 M 0) Tedavi öneriniz? 1. 2. 3. 4. Cerrahi Radyoterapi Kemoterapi Neoad. KT cerrahi 5. KT+RT
48 yaşındaki erkek hasta Üst batın, beyin BT ve kemik scan: N Bronkoskopi: sağ orta lob-lat. seg tm Biopsi KHDAK Hastada bundan sonra ne yaparsınız? 1. Sağ orta lobektomi 2. Neoadjuvan KT sonra cerrahi 3. Mediastinoskopi 4. RT 5. KT
48 yaşındaki erkek hasta Üst batın, beyin BT ve kemik scan: N Bronkoskopi: sağ orta lob-lat. seg tm Biopsi KHDAK Hastada bundan sonra ne yaparsınız? 1. Sağ orta lobektomi 2. Neoadjuvan KT sonra cerrahi 3. Mediastinoskopi 4. RT 5. KT
48 yaşındaki erkek hasta Üst batın, beyin BT ve kemik scan olağan Bronkoskopi: sağ orta lob-lat. seg tm Biopsi KHDAK Mediastinoskopi Lenf bezi metastazı (4 R) Hastanın evresi ? 1. 2. 3. 4. 5. Evre IIA Evre IIB Evre IIIA Evre IIIB Evre IV
48 yaşındaki erkek hasta Üst batın, beyin BT ve kemik scan olağan Bronkoskopi: sağ orta lob-lat. seg tm Biopsi KHDAK Mediastinoskopi Lenf bezi metastazı (4 R) Hastanın evresi ? 1. 2. 3. 4. 5. Evre IIA Evre IIB Evre IIIA Evre IIIB Evre IV
48 yaşındaki erkek hasta Evre IIIA, KHDAK Tedavi öneriniz? 1. Sağ orta lobektomi 2. Neoadjuvan KT sonra cerrahi 3. KT+RT 4. RT 5. KT
48 yaşındaki erkek hasta Evre IIIA, KHDAK Tedavi öneriniz? 1. Sağ orta lobektomi 2. Neoadjuvan KT sonra cerrahi 3. KT+RT 4. RT 5. KT
KHAK’da Tedavi Sınırlı hastalık Evre IA Mediastinoskopi (-) Cerrahi KT proflaktik kraniyal RT Evre II-III KT+RT prof. kraniyal RT II-II (Tam yanıt varsa)
Sınırlı hastalık KHAK’de KT+RT KT: Cisplatin+etoposide RT: 45 Gy ETKİ Eş zamanlı KT+RT > Ardışık KT+RT YAN ETKİ Eş zamanlı KT+RT > Ardışık KT+RT SONUÇ: Tecrübeli merkezlerde PS 0 -1 Eş zamanlı KT+RT
Yaygın hastalık (Evre IV) KT (Tam yanıt varsa proflaktik kraniyal RT) KT: kombine rejimler – Cisplatin+etoposide – Cyclophosphamide+Adriablastina+Vincristin (CAV)
KHAK’da Tedavi Başarısı Medyan Sağkalım Tedavi edilmeyen (ay) Medyan Sağkalım T edavi edilen (ay) 5 -Yıl Sağkalım (%) Sınırlı hastalık 3 14 -20 %10 -25 Yaygın hastalık 1 -2 8 -12 %3 -5
Akciğer kanserinin en etkili ve en ucuz tedavisi


