кости.ppt
- Количество слайдов: 104
4 КУРС ЛУЧЕВАЯ ДИАГНОСТИКА ЗАБОЛЕВАНИЙ СКЕЛЕТА 1
Методы лучевого исследования костей - Рентгенография - Остеосцинтиграфия - Ультразвуковое исследование - Компьютерная томография - Магнитно-резонансная томография
Рентгенография
Остеосцинтиграфия
УЗИ. Больной Б. 12 лет. Остеомиелит правой плечевой кости. Длительность трое суток. Гиперэхогенное образование – абсцесс.
КТ. Неправильно сросшийся перелом. Кости голени.
КТ. Неправильно сросшийся перелом. Трехмерная реконструкция.
РЕНТГЕНОГРАММА КОЛЕННОГО СУСТАВА МРТ КОЛЕННОГО СУСТАВА
МРТ КОЛЕННОГО СУСТАВА Разрыв мениска
МРТ
Диафиз Метафиз Эпифиз Гиалиновый хрящ Зона роста Кортикальный слой
Коленные суставы
ОСТЕОМИЕЛИТ -гнойно-воспалительное заболевание возникающее в костном мозге с распространением на все слои кости Классификация: - Гематогенный - Острый - Контактный - Подострый - посттравматический - Хронический - постоперационный - Атипичные - раневой формы 13
РЕНТГЕНОЛОГИЧЕСКАЯ СЕМИОТИКА ОСТЕОМИЕЛИТА - Периостит (линейный, слоистый) - Деструкция в сочетании с репаративными процессами - Секвестр - Гиперостоз - Остеосклероз 14
Остеосклероз - повышение количества костной ткани в единице объема Рентгенологические признаки: • Мелкопетлистая структура кости; трабекулярной • Утолщение кортикального слоя; • Сужение костно-мозгового канала.
Периостит - реакция (обызвествление) надкостницы на воспалительный, опухолевый процесс или травму
Виды периостита: - линейный - слоистый - бахромчатый - кружевной - игольчатый (спикулообразный) Линейный, бахромчатый, кружевной – характерны для воспалительных заболеваний скелета Слоистый - характерен как для воспалительных, так и для онкологических процессов Игольчатый или спикулообразный – характерен только для онкологических процессов
Гиперостоз - утолщение кости за счет периостального костеобразования
Деструкция - разрушение и замещение кости патологической тканью (опухолью, гноем, грануляциями)
СЕКВЕСТРАЦИЯ Отторжение некротизированного участка. СЕКВЕСТР Изолированный фрагмент кости повышенной плотности
Множественнные секвестры
Одиночные секвестры
РЕНТГЕНОЛОГИЧЕСКАЯ СЕМИОТИКА ОСТЕОМИЕЛИТА - Периостит (линейный, слоистый) - Деструкция в сочетании с репаративными процессами - Секвестр - Гиперостоз - Остеосклероз 30
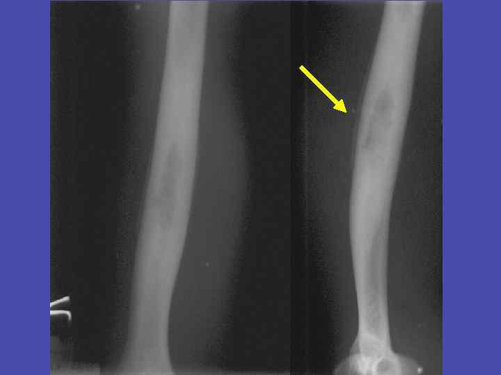
Линейный периостит большеберцовой кости 31
32
Отек мягких тканей визуализация надкостницы визуализация скопления гнойного субстрата между надкостницей и кортикальным слоем кости Больной Б. 12 лет. Остеомиелит правой плечевой кости. Длительность трое суток. Гиперэхогенное образование – абсцесс. 33
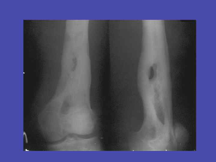
Линейный периостит, деструкция метадиафиза, перфорационные отверстия большеберцовой кости 34
Периостит, деструкция метадиафиза, перфорационные отверстия плечевой кости 35
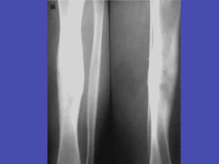
Перфорационные отверстия большеберцовой кости 36
Слоистый периостит, деструкция и репаративные процессы метадиафиза большеберцовой кости 37
Слоистый периостит, деструкция и вырсженные репаративные процессы большеберцовой кости 38
Слоистый периостит, секвестр в секвестральной полости метадиафиза большеберцовой кости 39
Слоистый периостит с переходом в гиперостоз, кортикальные секвестры плечевой кости 40
41
42
43
Гиперостоз, остеосклероз, деформация большеберцовой кости. Состояние после секвестрэктомии 44
Гиперостоз, остеосклероз, деформация плечевой кости. Секвестр? 45
Гиперостоз, остеосклероз, деформация плечевой кости. Секвестр? 46
АТИПИЧНЫЙ ОСТЕОМИЕЛИТ - абсцесс Броди - первично-хронический склерозирующий остеомиелит Гарре 47
Абсцесс Броди. Локализованный тип подострого или хронического остеомиелита, как правило, вызываемый стафилококком. Рентгенологически: участок просветления чаще округлой формы, со склеротическим ободком, расположенный чаще в метафизе. Размеры: от 1 см до 4 см. Содержимое: серозное или серозно-гнойное, без секвестров. Выделяют 4 типа:
Дифференциальная диагностика: -эозинофильная гранулема – -остеоид-остеома-фиброзная дисплазия, не оссифицированная фиброма- хондробластома-ОБК-аневризматическая киста -саркома Юинга
Первично-хронический склерозирующий остеомиелит Гарре 51
Эпиметафизарный остеомиелит новорожденных 52
Эпиметафизарный остеомиелит новорожденных 53
ТУБЕРКУЛЕЗ КОСТЕЙ И СУСТАВОВ Туберкулезный остит – специфическое воспаление миелоидного костного мозга губчатой кости (позвонки, эпифизы, метафизы, плоские кости) 54
ПРИ ПОРАЖЕНИИ СУСТАВОВ ВЫДЕЛЯЮТ: - Предартритическая фаза - Артритическая фаза - Постартритическая фаза 55
Туберкулезный гонит, предартритическая фаза 56
Туберкулезный гонит, предартритическая фаза 57
Туберкулезный коксит, предартритическая фаза 58
Туберкулезный гонит, артритическая фаза 59
Туберкулезный коксит, артритическая фаза 60
Туберкулезный коксит, постартритическая фаза 62
Туберкулезный коксит, постартритическая фаза 63
Туберкулезный коксит, постартритическая фаза 64
ТУБЕРКУЛЕЗНЫЙ СПОНДИЛИТ: Поражаются 2 -3 позвонка Преимущественное поражение – нижне-грудной и верхне-поясничный отделы Локализация туберкулезного остита – передне-верхние и передне-нижние отделы тел позвонков 65
ТУБЕРКУЛЕЗНЫЙ СПОНДИЛИТ: РЕНТГЕНОЛОГИЧЕСКИЕ СИМПТОМЫ - Снижение высоты межпозвонковых дисков - Разрушение тел позвонков и клиновидная деформация - Натечник - Блок позвонков 66
Туберкулезный спондилит 67
Туберкулезный спондилит, натечник 68
Туберкулез костей.
Туберкулез костей.
Туберкулез костей.
Доброкачественные опухоли üОстеома üОстеоид-остоема üОстеобластокластома üХондрома üОстеохондрома üХондробластома üОссифицирующая фиброма üГемангиома üЛипома Опухолеподобные образования üНе оссифицировнная фиброма üФиброзная дисплазия üПростая костная киста ü Аневризматическая костная киста üЭпидермоидная киста üПигментный вилонодулярный cиновит
Общие признаки доброкачественных опухолей 1. Отсутствие или мало-выраженный болевой синдром. Пальпируемое образование безболезненно. 2. Кортикальный слой новообразования сохранен, четкий. 3. Отсутствие мягкотканного компонента. 4. Структура нормальной кости или собственная структура 5. Отграничение опухоли от здоровой ткани.
ДОБРОКАЧЕСТВЕННЫЕ ОПУХОЛИ СКЕЛЕТА - Остеома - Хондрома - Остеохондрома - Остеобластокластома Новообразования с четкими контурами без мягкотканного компонента 74
ОСТЕОМА – локализация: кости свода черепа, воздухоносные пазухи черепа ОСТЕОБЛАСТОКЛАСТОМА – локализация: метаэпифизы ХОНДРОМА – локализация: метадиафиз трубчатых костей ОСТЕОХОНДРОМА – локализация: метадиафиз трубчатых костей и плоские кости 75
Остеома. Локализация. üкости свода черепа, воздухоносные пазухи черепа (компактная) üКости стопы, кистей, длинные трубчатые кости (губчатая). üЧаще краевая, эндостальная локализация – крайне редко.
Остеома 77
Остоебластокластомы. üГигантоклеточная опухоль. Микроскопически: одноядерные клетки (остеобласты), многоядерные гигантские клетки (остеокласты). üОпухоль собственно костной ткани, существующая как в доброкачественном, так и в злокачественном варианте. üЛокализация – дети - эпифиз, взрослые – метаэпифиз. Изолированно в диафизе не возникает. üФормы-пассивно –кистозные, активнокистозные, литические.
Остеобластокластома 79
Остеобластокластома 80
Остеобластокластома 81
Остеобластокластома 82
Множественные хондромы 83
Остеохондрома 84
Остеохондрома 85
Остеохондрома
Злокачественные опухоли. üОстеогенная саркома üПараоссальная саркома üХондросаркома üОпухоли ретикулоэндотелиальной системы – саркома Юинга üРетикулосаркома üАнгиосаркома üЛипосаркома üГистиоцитоз
Злокачественные опухоли. Общие признаки злокачественных опухолей. • Деструкция кости без четких контуров. • Форма неправильная. • разрушение кортикального слоя. • Наличие мягкотканного компонента • Реакция надкостницы. • Быстрый рост и метастазы.
ЗЛОКАЧЕСТВЕННЫЕ ОПУХОЛИ: Остеогенная саркома - остеолитическая - остеобластическая Новообразование: -без четких наружных контуров - с наличием мягкотканного компонента 89
Остоегенная саркома остеолитическая и остоебластическая. üЛокализация зона активного роста – метафиз, метадиафиз длинных трубчатых костей. Изолированно диафиз не поражается. Через хрящ не переходит. üКозырек Кодмена – реактивный периостит. Спикулообразный периостит – костеобразование по ходу стенок кровеносных сосудов, проникающих в кость.
Остеогенная остеолитическая саркома 91
Остеогенная остеобластическая саркома 92
Остеогенная остеобластическая саркома Остеогенная остеолитическая саркома
Остеогенная остеолитическая саркома 94
Остеолитический метастаз гипернефроидного рака 95
КОМПЬЮТЕРНАЯ ТОМОГРАФИЯ • Выявление деструкции (опухоли, воспаление) Спикулообразный периостит левой подвздошной кости, мягкотканый компонент опухоли.
• Диагностика патологии костного мозга Отек костного мозга (остеомиелит, остеонекроз, костносуставной туберкулез, злокачественные и доброкачественные опухоли, травматическая контузия кости, остеопороз) Инфаркт костного мозга (анемии, коллагенозы, лифопролиферативные заболевания, проведение стероидной терапии) Инфильтрация костного мозга (опухоли, системные заболевания)
• Диагностика распространенности опухолевого процесса
ОСТЕОСЦИНТИГРАФИЯ Радиофармпрепарат (РФП) – фосфатные комплексы меченые 99 м. Тс Факторы депонирования РФП в костях: - состояние кровотока; - активность костного метаболизма. 99
ПОКАЗАНИЯ ДЛЯ ОСТЕОСЦИНТИГРАФИИ: - Первичные и вторичные опухоли; - Воспалительные заболевания; - Травматические повреждения; - Остеонекроз; - Облитерирующие заболевания сосудов нижних конечностей; 100
101
• Диагностика опухолей ПЭТ задняя проекция передняя проекция
• Диагностика воспаления
104
кости.ppt