Рентгенограммы 64.ppt
- Количество слайдов: 67
24 Полный вывих акромиального конца ключицы
23 Передненижний вывих плеча
63 Остеомиелит левой плечевой кости
25 Т- образный Межмыщелковый перелом плеча, со смещением отломков
2 Множественный перелом 5, 6, 7 ребер справа, со смещением отломков, осложненный пневмотораксом
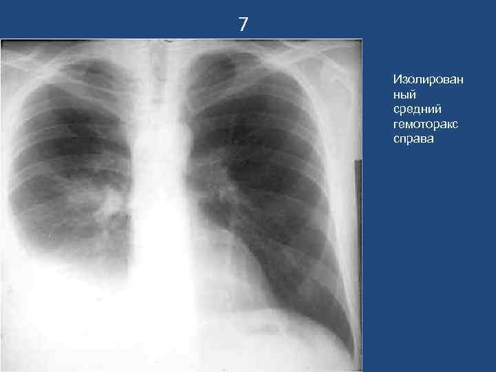
7 Изолирован ный средний гемоторакс справа
15
22 Множественная травма. Перелом: Ключица справа, 5 -8 ребер справа
57 Задний вывих стернального конца ключицы
55 Задне-наружный вывих предплечья справа
16 Перелом шейки лучевой кости со смещением отломков, Задне-внутренний вывих обеих костей предплечья
9 Перелом Мантеджи
60 Перелом Галеаци
27 Перелом шейки 5 пястной кости
62 Перелом луча в типичном месте типа Коллеса
26 Перелом луча в типичном месте по типу Смита
3 Перелом головки бедра со смещением отломков с вывихом бедра
29 Трансцервикальный перелом шейки бедра
17 Вывих(выпадение) тазобедренного эндопротеза слева и чрезвертельный перелом
Вертикальны й перелом подвздошной кости слева+ может разрыв лонного симфиза 59
Запирательный вывих бедра слева 64
30 Сегментарны й перелом с/3 бедра
56 Перелом большого вертела с отрывом малого
Срастающийся поперечный перелом нижней трети бедра. Накостный остеосинтез шурупами
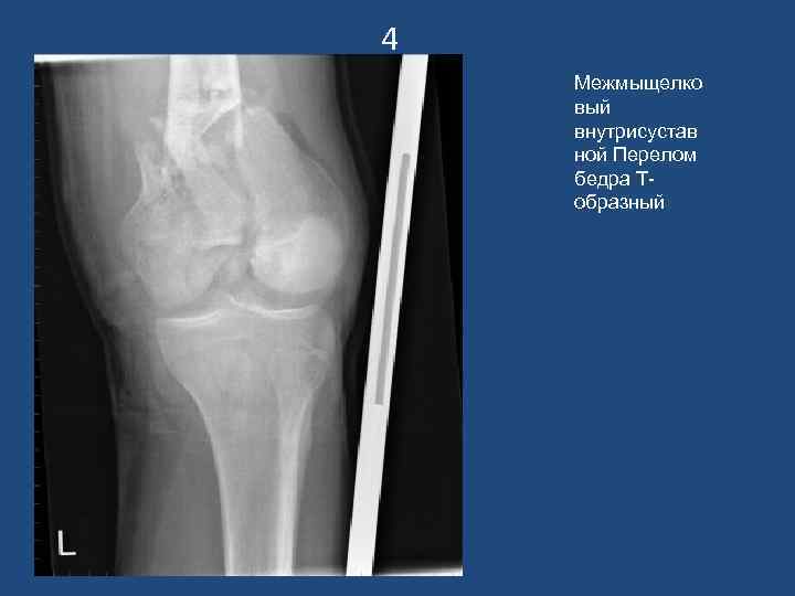
4 Межмыщелко вый внутрисустав ной Перелом бедра Тобразный
18 Поперечный перелом с/3 бедра со смещеним, внутрикостный кондилоцефалический остеосинтез 2 спицами
28 Сросшийся перелом с/3 бедра, внутрикостный центромедулярный блокирующий остеосинтез
опухоль 58
10 Поперечный перелом надколенника со смещением
11 Краевой перелом латерального мыщелка б/б кости слева
31 Перелом латерального мыщелка большеберцовой кости
32 Разрыв наружной боковой связки справа
34 Ложный сустав н/3 берцовых костей
35 Завершенный перелом Дюпюитрена, накостный остеосинтез: 1) разрыв дельтовидной связки; 2) перелом н/з малоберцовой кости; 3) разрыв дистального межберцового синдесмоза; 4) вывих стопы кнаружи.
33 Супинационный перелом: : поперечный перелом наружной, косой перелом внутренней лодыжек с вывихом стопы кнутри.
Перелом пилона справа 53
54 Срастающийся перелом с/3(н/3)б/б кости. (ложный сустав)Центромедуля рный блокирующий остеосинтез
Винтообразный перелом между с/3 и н/3 трети б/б кости и винтообр. Перелом в/3 м/б кости
Дефект с/3 б/б кости. НАРАЩИВАНИЕ
12 Незавершенный пронационный перелом справа
19 Нижневнутренний вывих таранной кости
36 Перелом заднего края б/б кости с вывихом стопы кзади(Потта-десто)
43 внесуставной краевой горизонтальный перелом пяточной кости типа утиного клюва.
40 Перелом шеек 2 -4 пястных костей со смещением. Вывих 5 пястной кости
41 Односторонний полный вывих в суставе Лисфранка слева
42 Сочетанная травма. Внесуставной краевой горизонтальный перелом пятки типа утиного клюва слева. Компрессионный перелом+ краевой пятки справа. Компьютерная томография – компрессионные переломы L 1 -Th 12 позвонков
38 ? ? ? Передний вывих таранной кости.
37 Внутрисуставной ? ? ?
39 Плоскостопие.
1 1. Перелом Хэнгмана(перелом «повешенного» ) 2. Прведение винта через ? ? ? 3. метод Юмашева–Силина
61
Подвывих с2 позвонка кпереди. Перелом остистого отростка с4. 51
52 Стабильный перелом края тела с7
13 Подвывих с3 кпереди. Взрывной перелом с6
перелом основания зуба с захватом телас2. 14
50 Компрессионный L 1 с отрывом края тела. Перелом края тела L 4
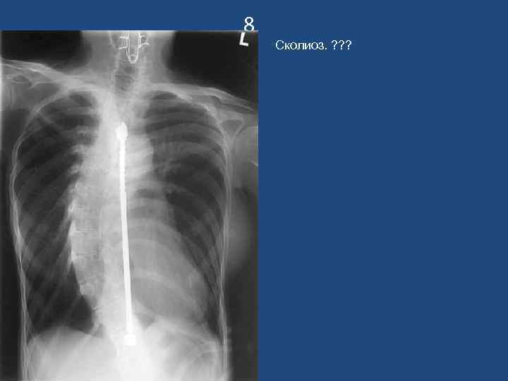
8 Сколиоз. ? ? ?
5 Перелом поперечных отростков 3, 4, 5 поясн позв
Перелом дна вертлужной впадины без смещения или артроз+ 49
48 Перелом седалищной. разрыв Симфиза. Разрыв мочевого пузыря при сцинтиграфиии
45 КТ. Разрыв крестцовоподвздошного сочленения.
Отрыв передненижней ости справа. Глянь на левое крыло 47
Уретрография. Разрыв мочеточника. Разрыв симфиза. 20
21 Переломы костей заднего полукольца с нарушение м его непрерывн ости. ? ? ? Компре ссионный перелом вертлужной впадины с центральн ым вывихом бедра
Вывих безымянной кости. 44
6 Разрыв симфиза,
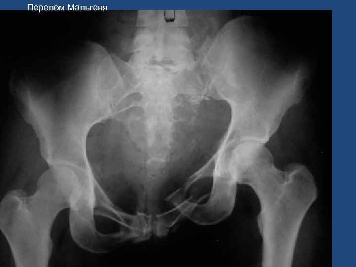
Перелом Мальгеня 46


