инфекционные болезни.ppt
- Количество слайдов: 54
1 часть
ЛЕКЦИЯ Инфекционные болезни. Понятие об инфекционном процессе. Общие положения. Классификация. Сепсис. Кишечные инфекции. Брюшной тиф, сальмонеллезы. Дизентерия.
n Инфекционный процесс – это комплекс взаимных приспособительных реакций в ответ на внедрение и размножение патогенного микроорганизма в макроорганизме, направленный на восстановление нарушенного гомеостаза и биологического равновесия с окружающей средой.
Факторы инфекционного процесса n n n Возбудители Механизмы защиты макроорганизма Механизмы проникновения микроорганизмов в организм хозяина
МЕЖДУНАРОДНАЯ КЛАССИФИКАЦИЯ БОЛЕЗНЕЙ И ПРОБЛЕМ, СВЯЗАННЫХ СО ЗДОРОВЬЕМ n Десятый пересмотр, n Всемирная Организация Здравоохранения, n Женева, 1992 n Кишечные инфекции. n Туберкулез. n Некоторые бактериальные зоонозы. n Другие бактериальные болезни. n Инфекции, передающиеся преимущественно половым путем. n Другие болезни, вызываемые спирохетами. n Другие болезни, вызываемые хламидиями. n Риккетсиозы. n
n n n n Вирусные инфекции центральной нервной системы. Вирусные лихорадки, вызываемые членистоногими и вирусные геморрагические лихорадки. Вирусные инфекции, характеризующиеся поражениями кожи и слизистых оболочек. Вирусный гепатит. Болезнь, вызванная вирусом иммунодефицита человека (ВИЧ). Другие вирусные болезни. Микозы. Протозойные болезни. Гельминтозы. Педикулез, акариаз и другие инфестации. Последствия инфекционных и паразитарных болезней. Бактериальные, вирусные и другие инфекционные агенты. Другие инфекционные болезни.
n Классификации n по биологическому признаку: n n n n антропонозы (встречаются только у человека); антропозоонозы (возникают у человека и животных); биоценозы (передаются через укусы насекомых, являющихся местом размножения возбудителя; по механизму передачи: инфекции дыхательных путей; кишечные инфекции; трансмиссивные инфекции; инфекции наружных покровов; инфекции с различными механизмами передачи; По характеру течения острые; хронические; латентные (скрытые); медленно прогрессирующие.
По характеру тканевых реакций 1. Банальные 2. Специфические – характеризуются развитием специфического воспаления т. е. такого воспаления при котором по типу тканевой реакции можно судить о характере возбудителя (туберкулез, сифилис, проказа, склерома, сап).
Сепсис (от греч. sepsis - гниение) общее инфекционное заболевание, возникающее в связи с существованием в организме местного воспалительного очага, не имеющего постоянной определенной локализации и морфологии, характеризующееся полиэтиологичностью, выраженной несостоятельностью неспецифического и специфического иммунного ответа макроорганизма и отсутствием цикличности течения.
Патологоанатомические изменения при сепсисе разделяют на местные изменения, возникающие в месте внедрения инфекции, и общие, развивающиеся во всех системах, тканях и органах больного. n Местные изменения в ряде случаев сепсиса не выражены. Однако, в месте вхождения инфекции или в отдалении от него развивается септический очаг. Он представляет собой фокус гнойного воспаления, возникающего где-либо на коже, при повреждении и инфицировании слизистых оболочек (при нагноении пупка у новорожденных, возникновении очага гнойного воспаления во внутренних органах).
Общие изменения n n n дистрофические; воспалительные; гиперпластические. Дистрофические процессы возникают в паренхиматозных органах (печень, почки, миокард, мышцы, ЦНС) и проявляются различными изменениями: от мутного набухания до некроза. Воспалительные изменения носят характер межуточных процессов, выражающихся межуточным отеком, лимфоидной и лейкоцитарной инфильтрацией - межуточный септический нефрит, миокардит, гепатит и т. д. На клапанах сердца может возникать острый язвенный тромбоэндокардит с расплавлением ткани клапанов и их отрывом. В стенке сосудов также возникают воспалительные изменения (васкулиты). На почве изменений сосудов появляются кровоизлияния.
n n Гиперпластические процессы при сепсисе наблюдаются, главным образом, в кроветворной и лимфоидной тканях. Например, гиперплазия последней приводит к увеличению размеров лимфатических узлов, селезенки. В связи с гемолитическим воздействием некоторых бактериальных токсинов при сепсисе может возникнуть гемолитическая желтуха. Появление кровоизлияния на коже и желтухи - неблагоприятный признак, такие случаи нередко заканчиваются смертью больного.
n
КЛИНИКО-АНАТОМИЧЕСКИЕ ВАРИАНТЫ СЕПСИСА Септицемия - форма сепсиса, при которой на первый план выступают токсические явления и признаки повышенной реактивности организма. Причиной септицемии чаще являются разновидности стрептококка. Септический очаг выражен слабо или даже отсутствует, а входные ворота инфекции не обнаруживаются. Иногда такого рода септицемия протекает очень быстро, в течение суток, и носит название молниеносного сепсиса. n n
n Септикопиемия - характеризуется наличием выраженного септического очага, обычно расположенного в месте внедрения инфекции (матка, инфицированный пупок новорожденного, раневая поверхность кожи, мочеполовые пути и т. д. ) с тромбофлебитом или лимфангитом и лимфаденитом и гнойным расплавлением как тромба, так и лимфатических узлов. Вследствие отрыва от гнойно расплавленного тромба его кусочков с заключенными в них бактериями могут возникать бактериальные эмболии. На их месте появляются метастатические гнойники.
n Хрониосепсис - патологический процесс, который возникает при наличии длительно незаживающего септического очага. Незаживающие септические очаги возникают в кариозных зубах, миндалинах, пораженных хроническим воспалительным процессом. Однако, чаще всего хрониосепсис является осложнением обширных нагноений, возникающих вследствие ранений. Продукты распада тканей и нагноения всасываются, вызывают интоксикацию, нарастающее истощение и развитие амилоидоза. Больные истощаются, обезвоживаются, во внутренних органах наблюдаются атрофические изменения.
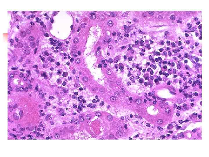
n n Септический или бактериальный эндокардит (sepsis lenta) обычно вызывается белым и золотистым стафилококком, зеленящим стрептококком (преимущественно L- формы и мутанты), реже гемолитическим стрептококком, пневмококком, энтерококком, кишечной и синегнойной палочками. Септический эндокардит является результатом гиперергии, по сути септицемией с септическим очагом на клапанах сердца (чаще аортальных). В основе гиперергии лежат реакции гиперчувствительности, обусловленные воздействием циркулирующих в крови токсических иммунных комплексов, которые содержат антиген возбудителя. С циркуляцией в крови иммунных комплексов связаны такие проявления септического эндокардита как генерализованные васкулиты, резкое повышение сосудистой проницаемости, тромбоэмболический синдром, клеточные реакции стромы и др.
n n Бактериальный эндокардит разделяют по характеру течения (острый около 2 недель, подострый - до 3 мес. , затяжной - многие месяцы и годы) и наличию или отсутствию фонового заболевания (развивающийся на порочных клапанах - вторичный, составляет до 80% случаев; и первичный - на интактных клапанах). Сердце увеличивается в размерах за счет левого или правого отделов в зависимости от характера порока (аортального или митрального), пораженные клапаны склерозированы, резко деформированы и покрыты значительными тромботическими наслоениями.
n
n n Брюшной тиф острое инфекционное заболевание вызываемое брюшнотифозной палочкой. инкубационный период 14 дней алиментарный путь заражения.
n n ПАТОГЕНЕЗ Тонкий кишечник – энтероциты – пейеровы бляшки – регионарные лимфоузлы – кровеносная система – бактеримия (1 -я неделя) – элиминация возбудителя (2 -я неделя) – тонкий кишечник – гиперэргическая реакция –некроз лимфоидного аппарата кишки
n Классическая морфология 1. Мозговидное набухание 2. Некроз брюшнотифозных гранулем 3. Стадия образования язв 4. Стадия чистых язв 5. Стадия заживления язв
ОБЩИЕ ИЗМЕНЕНИЯ n n Образование гранулем в различных органах (селезенка, лимфатические лимфоузлы, легкие, желчный пузырь, почки) Дистрофические изменения Гиперпластические процессы лимфоидной ткани Сыпь – 7 -11 день на животе, розеоло – папулезный характер
n n КИШЕЧНЫЕ ОСЛОЖНЕНИЯ Кровотечение Прободение язвы Перитонит
n n n ВНЕКИШЕЧНЫЕ ОСЛОЖНЕНИЯ Пневмония Гнойный перихондрит гортани Восковидный некроз прямых мышц живота Гнойный остеомиелит Внутримышечные абсцессы
n n Дизентерия Вобудитель относится к роду шиггел (Зонне, Флекснера, Григорьева-Шига, Штутцера-Смита) Местные изменения возникают в толстом кишечнике, однако нередко поражаеся тонкий кишечник и даже желудок
n 4 стадии 1. Катаральный колит (2 -3 дня) 2. Фибринозный колит (5 -10 дн) 3. Язвенный колит (10 -12 день) 4. Заживление язв (3 -4 неделя)
n Особенности современной дизентерии 1. Шигеллы размножаются, как правило, в просвете кишки 2. Процесс имеет карактер катарального гастроэнтерита с преобладанием процесса в дистальных отделах 3. Закономерно присоединение суперинфекции – назопаразитизм (стафилококки, грибы)
n Общие изменения Имеют неспецифический характер и проявляются различными видами нарушения кровообращения дистрофическими изменениями, мелкими некрозами в печени и почках
n n n Осложнения местные Перфорация кишки Перитонит Парапроктит Кишечные кровотечения Рубцовый стеноз
n n n Осложнения внекишечные Пневмония Отит Пиелонефрит Серозный артрит
Вирусные инфекции n КОРЬ Корь (от сокращенного лат. – болезнь) – острое высококонтагиозное инфекционное заболевание детей, характеризующееся: n – катаральным воспалением слизистых оболочек ВДП, конъюнктивы n – пятнисто-папулезной сыпью кожных покровов. n
n n Этиология Возбудитель кори — РНК-содержащий вирус, относится к миксовирусам, размером 150 нм.
Патогенез Передача осуществляется воздушно-капельным путем В эпителии слизистых оболочек вирус вызывает дистрофические изменения n 1. проникает в кровь, что сопровождается кратковременной вирусемией, следствием которой является расселение вируса в лимфоидную ткань, вызывающее в ней иммунную перестройку. n 2. Вирусемия становится более выраженной и длительной, появляется сыпь. n 3. С окончанием высыпаний на коже вирус исчезает из организма. В последние годы появились сообщения, указывающие на возможность длительного существования вируса кори в организме человека. n
Длительность заболевания — 2— 3 нед. Коревой вирус способен ü снижать барьерную функцию эпителия, ü снижать фагоцитарную активность, ü вызывать падение титра противоинфекционных антител (например, дифтерийного антитоксина). Это состояние анергии резко повышает склонность больных к вторичному инфицированию или обострению существующего хронического процесса, например туберкулеза.
Патологическая анатомия В слизистой оболочке зева, трахеи, бронхов, конъюнктиве развивается катаральное воспаление. Слизистая оболочка набухшая, полнокровная, – секреция слизи резко повышена, что сопровождается насморком, кашлем, слезотечением. В тяжелых случаях могут возникать некрозы, слизистая оболочка становится тусклой, серовато-желтого цвета, на поверхности ее видны мелкие комочки. Отек и некрозы слизистой оболочки гортани могут вызвать рефлекторный спазм ее мускулатуры с развитием асфиксии — так называемый ложный круп n
n n n Микроскопически в слизистых оболочках наблюдаются гиперемия отек вакуольная дистрофия эпителия, вплоть до его некроза и слущивания усиленная продукция слизистыми железами небольшая лимфогистиоцитарная инфильтрация
Характерной для кори является метаплазия эпителия слизистых оболочек в многослойный плоский, которая наблюдается в ранние сроки (5— 6 -й день болезни) и резко снижает барьерную функцию эпителия. Метаплазию связывают с местным авитаминозом А. Следствием вирусемии и генерализации являются энантема и экзантема.
Энантема определяется на слизистой оболочке щек соответственно малым нижним коренным зубам в виде беловатых пятен, названных пятнами Бильшовского—Филатова—Коплика, которые появляются раньше высыпаний на коже и имеют важное диагностическое значение. Экзантема в виде крупнопятнистой папулезной сыпи появляется на коже сначала за ушами, на лице, шее, туловище, затем на разгибательных поверхностях конечностей.
В лимфатических узлах, селезенке, лимфоэпителиальных органах пищеварительного тракта наблюдаются: 1. пролиферация с плазматизацией Взависимых зон и 2. увеличение центров размножения фолликулов. В миндалинах, червеобразном отростке и лимфатических узлах обнаруживаются гигантские многоядерные макрофаги
В межальвеолярных перегородках легких при неосложненной кори образуются милиарные и субмилиарные фокусы пролиферации лимфоидных, гистиоцитарных и плазматических клеток. Возможно развитие интерстициальной пневмонии, при которой в стенках альвеол образуются причудливые гигантские клетки — гигантоклеточная коревая пневмония.
В редких случаях в первые дни заболевания наблюдаются симптомы коревого энцефалита выражается в периваскулярных инфильтратах из клеток глии и мезенхимальных элементов, локализуется преимущественно в белом веществе мозга. n Осложнения Среди осложнений центральное место занимают поражения бронхов и легких, связанные с присоединением вторичной вирусной и бактериальной инфекции. Поражается не только внутренняя оболочка бронхов (эндобронхит), но также средняя (мезобронхит) и наружная (перибронхит). Панбронхит часто имеет некротический или гнойно-некротический характер.
n n Дифтерия Острое инфекционное заболевание характеризующееся преимущественно фибринозным воспалением в очаге первичной фиксации возбудителя и общей интоксикацией , связанной с всасыванием экзотокина. Возбудитель палочка дифтерии , относящаяся к семейству коринобактерий.
n Классификация n Дифтерия зева n n n локализованная распространенныя токсическая Дифтерия гортани , трахеи , бронхов Дифтерия носа Дифтерия глаз, кожи, половых органов.
Свойства экзотоксина n n n n Парализует тканевое дыхание Изменяет холинергические процессы Нарушает синтез катехоламинов Накопление катехоламинов в тканях Некротическое действие на ткани Вазопаралитическое действие Нейротропное действие
Местное действие экзотоксина n n n Некроз эпителия Паретическое расширение сосудов Повышение сосудистой проницаемости Отек тканей Выход фибриногена из сосудистого русла Образование фибринозной пленки
Дифтерия зева и миндалин n n n Миндалины увеличены Слизистая покрыта обильными плотными пленками Мягкие ткани отечны Воспаление имеет характер дифтеритического Пленки отторгаются с трудом с образованием язв
Дифтерия дыхательных путей n Характеризуется крупозным воспалением гортани , трахеи и бронхов с легко отходящими фибринозными пленками , которые могут вызвать обтурацию просвета дыхательных путей , что приводит к развитию истинного крупа.
Морфология n n n В сердце развивается токсический миокардит альтеративный или интерстициальный – ранний паралич сердца Смерть наступает от острой сердечной недостаточности Перенесенный миокардит заканчивается диффузным мелкоочаговым кардиосклерозом
инфекционные болезни.ppt