patanatomia_3024.ppt
- Количество слайдов: 23
ҚР ДЕНСАУЛЫҚ САҚТАУ МИНИСТРЛІГІ МИНИСТЕРСТВО ЗДРАВООХРАНЕНИЯ РК ҚАРАҒАНДЫ МЕМЛЕКЕТТІК МЕДИЦИНА КАРАГАНДИНСКИЙ ГОСУДАРСТВЕННЫЙ МЕДИЦИНСКИЦ УНИВЕРСИТЕТІ Кафедра: “Паталогиялық анатомия және сот медицинасы Өкпенің эмфиземасы. Патоморфологиясы, қорытындысы, асқынулары Орындаған: 3024 -топ ЖМФ Тексерген:
Жоспар: 1. Өкпе эмфиземасына жалпы түсінік, этиологиясы мен патогенезі. 2. Патоморфологиясы 3. Макро және микробейнесі 4. Эмфизема түрлері 5. Қорытындысы 6. Пайдаланылған әдебиеттер
Өкпе эмфиземасы- терминальды бронхиоладан дитальды аймақтың паталогиялық кеңеюімен, альвеола қабырғасының деструктивті өзгеруімен айқындалатын ӨСБС. Өкпе эмфиземасы идиопатиялық Микроциркуляция паталогиясы, сурфактант қасиетінің бұзылысы, кейбір газдар, темекі түтіні, т. б. салдарлық Өкпенің созылмалы обструкциялық сырқаттарының салдарынан дамиды
Этиологиясы мен патогенезі • Эмфиземаның созылмалы диффузды обструкциялы түрі созылмалы бронхит пен бронхиолиттен және олардың зардаптары — бронхэктаздар мен пневмосклероздан өрбиді. Эмфизема кезінде лейкоциттердің протеазалары, эластаза мен коллагеназалар жанданып, өкпенің эластикалы және коллагенді қаңқасы зақымдалады. Эмфиземамен сырқат адамдардың ќан сарысуында антипротеазалардың т±қымқуалайтын жеткіліксіздігі байқалады, сондықтан бұл ферменттердің әсері үдей түсіп, эластикалық және коллагендік талшықтар одан єрі ыдырай береді. Сөйтіп, эластикалық қаңңасы зақымдалған өкпеде шұралыќ (вентильный) механизм қалыптасады, — созылмалы бронхит кезінде бронхылар мен бронхиолалардың саңылауына шырыш жиналып, тығындап, альвеолаға өткен ауаны кері шыѓармай тастайды. Ақырында ацинустарды ауа кернеп, олардың саңылауы кеңейіп, диффузды обструкциялық эмфизема дамиды.
80 жастағы ер адам. Ешқашан темекі шекпеген. Өкпе эмфиземасынан қайтыс болған ер адам. 30 темекі тартқан.
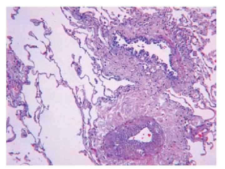
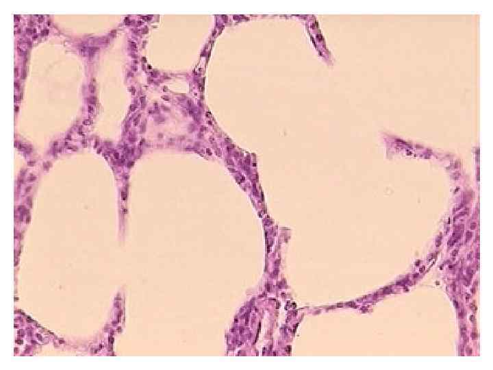
Өкпе эмфиземасының патологиялық анатомиясы Ауа кернеп, ұлғайған, бозғылт түсті, жұмсақ, қабыспайтын өкпенің алдыңғы жақ жиектері көкірек қуысын жауып т±рады. Кескенде ткані сықырлайды. Іргесі қалындаған бронхылардың саңылауынан қысќанда шырышты ірің шығады. Бронхылардың кілегейлі қабықшасына клеткалар шоғырланып, бокалша клеткалар көбейеді; олардың єр жері, єсіресе ұсақ бронхылардың бұлшықетті қабаты қалыњдайды. Бронхиолалар басымырақ өзгерсе, ацинустың проксималдық бөлімдері (1 -ші және 2 -ші ретті тарамѓа жататын респирациялық бронхиолалар) кеңейеді, ондай эмфизема центрацинустық деп аталады. Процесс ірірек бронхыларда басымырақ болса, ацинус түгел кеңейеді, бұл — панацинустыќ эмфизема.
• Ацинус керілгендіктен эластикалыќ талшықтар жіңішкеріп, альвеолалық жолдар кеңейіп, олардың іргесі өзгереді. Альвеолалардың іргесі ж±қарып, тегістеледі, альвеолааралық тесіктер кеңейіп, капиллярлардың саңылауы бос қалады. Ауа жеткізетін тыныстыќ бронхиолалар да кеңейіп, альвеолалардың қалташалары тайыздайды, газалмасатын аймақтың кµлемі күрт кеміп, өкпенің вентиляциялық (ауа алмастыру) қызметі бұзылады. Ацинустардың тыныстық бөлігіндегі капиллярлар желісі т±рпайыланып, альвеола-капилляраралыќ бөгет (блок) қалыптасады. Альвеолааралық капиллярларда коллагендік талшықтар көбейіп, интракапиллярлык склероз дамиды. Бейімделу процесін бейнелейтін жаңа капиллярлар желісі пайда болады. Сонымен өкпенің созылмалы обструкциялы эмфиземасынан қанайналымының кіші шењберінде гипертония қалыптасып, ол жүректің оң жақ бөлігін ұлғайтады (өкпелік жүрек). Созылмалы эмфиземаныњ соңғы кезеңінде науқас адамда жүрек-өкпе қызметінің жеткіліксіздігіне тєн халдың бейнесі басты орын алады.
Эмфизема түрлері Ø Созылмалы ошақты эмфизема Ø Викарлық эмфизема Ø Бірінші ретті панацинустық эмфизема Ø Кәрілер эмфиземасы Ø Аралас эмфизема
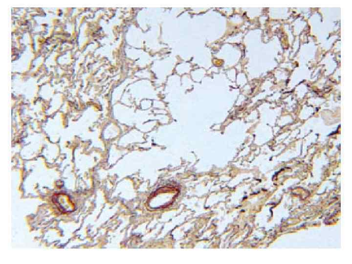
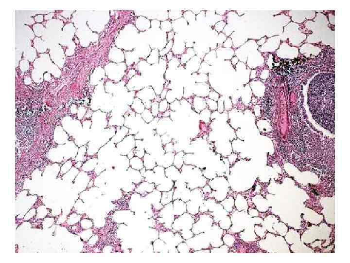
Эмфизема кезінде альвеолалар созылады, саңылауы кеңейді, біріңғай салалы бұлшықетті будалар гипертрофияланады, кейін дистрофияға ұшырайды. Эластикалық талшықтар азаяды, капилиярлар қуысы бос қалады. Микробейнесі: Өкпенің көлемі ұлғаяды, бозарады, кескенде сықыр естіледі. Идиопатиялық эмфизема кезінде бұл құбылыстың диффузды, ал салдарлық эмфизема кезінде ошақты орналасуын байқауға болады. Макробейнесі:
Қорытынды Қорыта айтатын болсақ, эмфизема өкпенің ауамен үлпілдену синдромы кезінде өкпе альвеолалар керіледі де, өзінің жеткілікті өткізу жолдарын жоғалтады, содан қанға оттегінің кіруі мен одан көмір қышқыл газының шығуы бұзылады. Бұл тыныстық жеткіліксіздікке алып келеді.
Пайдаланылған әдебиеттер Ø Патологиялық анатомия А. И. Струков. В. В. Серов. Ø Патологиялық анатомия М. А. Пальцев Ø Патологиялық анатомия С. А. Повзун
patanatomia_3024.ppt