АМАНГАЛИЕВА.pptx
- Количество слайдов: 29
Қазақстан республикасының денсаулық сақтау министірлігі Семей мемлекеттік медицина университеті Қаңқаның жүйелік дисплазиялары Орындаған: Аманғалиева А. А 502 - топ Тексерген: Бахтыбаев Д. Т.
Дисплазия – тіндердің, мүшелердің, немесе дене бөліктерінің дұрыс дамымауы болып табылады. Бұл процесстер эмбриогенез және постнатальді кезеңдегі өзгерістерге байланысты туындайды. Көбіне дисплазиялар туа біткен кемістік болып келеді, сонымен қоса ол туғаннан соң және ересек жаста көрініс табуы да мүмкін.
Эпидемиология • Тірек-қимыл жүйесінің ішіндегі патологиялардың кең тараған түрі. 1000 балаға шаққанда 11 -12% баланы құрайды. Ең көп тарағаны аяқ-қолдың патологиясы. • Барлық сүйек жүйесінің туа біткен ақауларын мына түрлерге жіктейді: • Жүйелік (генерализденген) • Локальды (жергілікті) • Көптік
Этиологиясы • Тұқым-қуалаушылық • Жүктілік кезінде әйел адамның гормональды бұзылыстары • Ұрықтың жамбаспен келуі, аз сулық, ірі ұрық • Гинекологиялық, инфекционды аурулар • Жағымсыз экологиялық факторлар
Қаңқа сүйектерінің дисплазиясының классификациясы • I. Сүйектің өзіндік дисплазиялары: 1. Туа біткен сүйектің сынғыштығы (жетілмеген остеогенез, Лобштейн – Фролик ауруы) 2. Генерализденген гиперостоз (Камурати – Энгельманн ауруы) 3. Мелореостоз (Лери ауруы) 4. Остеопойкилия 5. Мәрмәр ауруы 6. Миелосклероз 7. Деформациялаушы остеопатия (Педжет ауруы)
• II. Фиброзды дисплазиялар: • 1. Полиоссальді фиброзды дисплазия 2. Монооссальды фиброзды дисплазия 3. Дисплазиялар - дизостоздар (фиброзды дисплазиялардың аралас формасы) а) Олбрайт ауруы б) Морганье синдромы в) Бассүйек-бұғаналық дизостоз г) Пикнодизостоз д) Бассүйек-беттік дизостоз (Крузон синдромы) е) Мелник – Нидлз-дың остеодисплазиясы ж) Жақсүйек-беттік дизостоз (Берри синдромы, Франческетти синдромы) з) Пайл ауруы
III. Шеміршектік дисплазиялар А. Эпифизарлы 1. Спондило-эпифизарлы дисплазиялар а) Спондилодисплазия б) Спондилоэпифизарлы дисплазия (СЭД) в) Спондилоэпиметафизарлы дисплазия (СЭМД) - Туа біткен СЭМД - Кеш СЭМД (Козловский типі) - Метатропикалық дисплазия - Книста ауруы - Парастрематикалық дисплазия - Диггви-Мельхиор-Клаузен ауруы г) Псевдоахондроплазия 2. Өзіндік эпифизарлы дисплазиялар а) Көптік эпифизарлы дисплазия б) Нүктелік эпифизарлы дисплазия в) Гемимелиялық эпифизарлы дисплазия г) Локальды эпифизарлы дисплазия (жамбас-сан буынында)
3. Аралас формалары а) Дистрофиялық дисплазия б) Жайылмалы деформациялаушы буындық хондродисплазия (Волкова ауруы) в) Спондилокостальды дизостоз г) Клиппеля-Фейля-Шпренгель ауруы д) Трихоринофалангеальды дисплазия I тип – Гидион синдромы II тип - Лангер-Гидион синдромы Б. Физарлы 1. Ахондроплазия (Паро-Мари ауруы, хондродистрофия) 2. Гипохондроплазия 3. Экзостозды хондродисплазия 4. Локальды формасы а) Сан сүйегінің мойынының дисплазиясы (coxa vara) б) Ұршық сүйегінің батыңқысының дисплазиясы (protrusio acetabuli, Отто ауруы) в) Асықты жіліктің проксимальды өсу аймағының дисплазиясы (tibia verra, Эрлахер. Блаунт ауруы) г) Тоқпан жіліктің мойынының дисплазиясы (humerus varus) д) Кәрі жіліктің дистальды өсу аймағының дисплазиясы (Маделунг ауруы) 5. Аралас формасы а) Арахнодактилия (Марфана ауруы) б) Хондроэктодермальды дисплазия (Эллис-Ван-Кревельд синдромы)
• В. Метафизарлы 1. Дисхондроплазия (Оллье ауруы) 2. Маффуччи синдромы 3. Метафизарлы хондродисплазиялар: а) Янсен типі б) Шмид типі в) Мак-Кьюсик типі
• А — қалыпты асықты жілік; Б — жетілмеген остеогенез; В — идиопатиялық остеопсатироз; Г — хондродистрофия; Д — остеохондродистрофия; Е — арахнодактилия; Ж — көптік шеміршектік экзостоздар; 3 — көптік сүйектің хондроматозы ; И — мәрмәр ауруы; К — мелореостоз; Л — остеопойкилия; М — туа біткен эпифизарлы нүктелік дисплазия; Н — туа біткен жүйелік диафизарлы гиперостоз.
жетілмеген остеогенез (лобштейн-вролик ауруы) • Q 78. 0 – тұқым қуалайтын • Рентгендегі белгілері: ауру, сүйектердің • диффузды остеопороз; сынғыштығымен ипатталады, с • кортикальды қабаттың 1 типтегі гендердің желінуі; коллагендерінің • Кеміктің тор тәрізді мутациясының нәтижесінде суреті; дамиды. Ол остебласттардың • Көптеген сүйекті күстер; функциясының бұзылуына негізделген, ол өз кезегінде • Қисаюлар байқалады. эндостальды және периостальды сүйектенудің бұзылуына әкеледі.
жетілмеген остеогенез
Камурати-энгельман синдромы • Туа біткен жүйелік диафизарлы гиперостоздар, • Генерализденген жүйелік гиперостоздар, инволюциялық миопатиямен, • Гиперпластты периостит, • Үдемелі диафизарлы дисплазия, • Көптік (множественный) диафизарлы склероз • Рентгендегі белгілері: • Қаңқаның түтікті сүйектерінің симметриялы гиперостозы.
Камурати-энгельман синдром
Ахондроплазия (Парро-мари ауруы) • Ахондроплази я (диафизарлы аплазия, Парро-Мари ауруы, туа біткен хондродистрофия) — ертеден келе жатқан тұқым қуалайтын ауру, энхондральды сүйектенудің қалыпты эпостальды және периостальды сүйектенудің фонында бұзылуы, осының салынан ергежейлікке ұзын сүйектердің жетілмеуі есебінен әкеледі, туа біткен ақаулармен сипатталады, көбіне омыртқа каналының стенозы.
Ахондроплазия Классификациясы • Аурудың 3 формасын ажыратады: 1. гиперпластты ахондроплазия, бұл кезде эпифизарлы шеміршектің өсуінің жеделдеуі; 2. гипопластты формасы эпифизарлы шеміршектің жетілмеуі; 3. Желатин тәрізді формасы эпифизарлы шеміршектің жұмсаруымен сипатталады.
Волков ауруы • Эпифизарлы дисплазия, буындық шеміршегінің шамадан тыс өсуі, сонымен қоса көптік деформациялаушы буындық хондродисплазия атпен белгілі. • Буындар тығыз қозғалады, көлемі ұлғаяды, зақымданған мүшенің 720 см ұзаруы, шеміршектің валик тәрізді бассүйек жіктері бойымен өсуі • Рентгенограммада: • Эпифиздің қалыңдауы, • Буын беттерінің тегіс емес контуры. • Буын ішілік дұрыс және бұрыс формалы денешіктер анықталады.
Волков ауруы
Ядроның сүйектенуінің ақауы • Бұл эпифиздің ядроларының сүйектенуінің баяу, дұрыс емес, бұрмаланып дамуы. Ауру ерте балалық шақта көрініс табады. Науқастар бойы аласа, аяқтары қысқарған және аяқ қолдар буындарының контрактурасы. • Рентгендегі көрінісі: • Сүйектену ядроларының кеш пайда болуы, олардың баяу дұрыс емес дамуы болады.
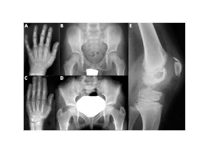
Спондило-эпифизарлы дисплазия • Қаңқаның айқын • Рентген көрінсіне деформациясымен байланысты оны мына байқалады, түрлерге жіктейді: омыртқадағы • 1) генерализденген платиспондилия; өзгерістермен жүреді. • 2) эпифиздің көптік Омыртқа денесі дисплазиясы; тегістелген, • 3) эпифизарлыжалпайған, кейде метафизарлы дисплазия. семсер тәріздіформада болады.
Спондило-эпифизарлы дисплазия
Хондроматоз • Шеміршек тіндерінің даму ақауы. Эмбриональді даму кезінде шеміршек тінінің баяу және бұрыс оссификациялануын айтады. • Рентген көрінісінде: • Әртүрлі формадағы шеміршекті қосылулар көрінеді.
Хондроматоз
Оллье ауруы • Энхондральды сүйектенумен сипатталатын метафизде немесе диафизде көптеген әктелмеген шеміршектер ошағының сақталуымен жүріп ағзаның өсуіне сай дамумен байқалатын ауру.
Оллье ауруы
Оллье ауруы
Назарларыңызға рахмет!!!
АМАНГАЛИЕВА.pptx