d0344d20802a25101b60314d4c406bcc.ppt
- Количество слайдов: 56
ﺑﺴﻢ ﺍﻟﻠﻪﺍﻟﺮﺣﻤﻦﺍﻟﺮﺣﻴﻢ
Identifying The Patient For Thrombolysis Or Thrombectomy By Ahmed Shafea Ammar MD, FACC
Epidemiology • • • >600, 00 patients/ year in the US 50, 000 -200, 000 deaths/ year in the US 3 -month MR is 15 -20% 10% of symptomatic PE are fatal at 1 hour 70% of symptomatic PE have DVT 50% of asymptomatic DVT have PE. Semin Vasc Med 2001; 1(2): 139 -46
Risk Factors for DVT & PE
۰ Antiphospholipid Antibodies Anticardiolipin & Lupus Anticoagulant
Diagnosis of PE
Most Common S&S of APE Among 2454 Patients in ICOPER Registry Symptom or sign % Dyspnea RR> 20/min HR>100 b/min Chest pain Cough Syncope Hemoptysis 82 60 40 49 20 14 7 Lancet 353: 1386, 1999
Wells Clinical Bedside Scoring System for APE Parameter Points Clinical S&S of DVT An alterative diagnosis is less likely HR > 100 Immobilization or surgery within 4 weeks Previous DVT/PE Hemoptysis Malignancy Score < 4 APE is less likely Score> 6 is a high risk Thromb Haemost 83: 416, 2000 3 3 1. 5 1 1
Syndromes of Acute Pulmonary Embolism Syndrome Presentation RVD Therapy Massive sob, syncope, cyanosis, ↓BP > 50% obst. of PV (v/q scan) +ve heparin + thrombolysis or thrombectomy Submassive Normal BP, > 30% obst of PV +ve heparin ± thrombolysis or thrombectomy Small to mod. Normal BP -ve heparin Pulmonary inf. Pleurisy (pain, rub), hemoptysis consolidation, s. periph. emboli rare heparin& NSAID Systemic embolization eg CVS rare heparin, defect closure rare supportive Paradox. emb. Non-thrombotic Air, Fat, Tumor, Amniotic fluid embolism
Risk Stratified Performance of Tests in PE High risk Intermed. risk Low risk Test Sensitivity Specificity ppv npv ppv npv (%) Helical CT 77 89 96 52 73 91 20 99 MRI 77 87 96 51 70 91 17 99 TTE 68 89 96 43 70 88 18 99 TEE 70 81 93 43 59 88 12 99 D-dimer 89 59 89 60 46 93 7 99 V/Q 98 10 80 58 30 93 99 Am Fam Physcian 2004, 162: 1245 -8
Advantages & Disadvantages of Different Tests Test Advantages Rapid assessment of Wells questionnaire likelihood of APE ABG & Hypoxaemia Disadvantages Influenced by one subjective Q about alternative diagnosis Rapid, widely available Does not discriminate well between Pts with & without PE
Advantages & Disadvantages of Different Tests Test D-dimer ECG Chest Xray Advantages Disadvantages Rapid, widely available, Not specific, low ppv high npv Available, may indicate RV strain May be normal despite PE Identify mimics of PE eg. pneumonia, pneumothorax or CHF May be normal despite PE, Pts may have PE ± pneumonia ± CHF
Note Humpton’s Humps & Wedge opacity
Advantages & Disadvantages of Different Tests Test Advantages Disadvantages Venous ultrasound May detect DVT May be normal despite PE CT venography May detect DVT & Low sensitivity for obviat the need for calf DVT US Radiation exposure Identify high risk Usually normal Echocardiography patients if RVD is despite PE present, may show the embolus
Advantages & Disadvantages of Different Tests Test Lung Scanning PUL. ANGIO Spiral CT Advantages Disadvantages Avoids high contrst Often non injection diagnostic Useful if normal or high probability Standard test Displays pul. Vascular morphology Widely available Direct visualization of the thrombus and of alternative diagnosis Cost effective Now, gold standard Invasive & Costly Use of contrast Radiation exposure
Risk Stratification The 3 main pillars for risk stratification are : 1 - Assessment of Clinical & haemodynamic status of the patient 2 - Evidence of RV strain & infarction 3 - Evidence of RV dilatation & dysfunction
Risk Stratification 1 - Clinical Signs Geneva Score Index Clinical evidence of RVD : JV distension TR ↑ P 2 2 - ECG Signs RV strain (T ↓ in v 1 – v 4) New RBBB S 1 Q 3 T 3
The Geneva Score for PE Prognosis Variable Point Score Cancer CHF Prior DVT Hypotension Hypoxemia DVT on US +2 +1 +1 No of Points % of Pts with adverse outcome 0 1 2 3 4 5 6 Throm Haemost 84: 548, 2000 0 2. 5 4. 1 17. 8 27. 3 57. 1 100
Risk Stratification 3 - Echocardiographic Signs * Direct visualization of a large thrombus In the main PA (TEE) * RV dilatation * TR * RV hypokinesis sparing the apex (Mac Connell sign) * IVS flattening * PH ± PA dilatation * Lack of inspiratory collapse of IVC Outcomes with RV Dysfunction • 2 -fold ↑ 14 -day MR • 3 -fold ↑ 1 -year MR • ↑ risk of PE recurrence • ? Increased risk of in situ thrombosis in RV and Circulation 2002; 121: 877
SAX view Note marked RV dilatation & IVS flattening during systole & diastole
Risk stratification 4 - Spiral CT A- RV dilatation relative to LV size. RV dilatation and pulmonary vascular obstruction (≥ 40%) on chest CT is a predictor of eary death after APE (Circulation 2005; 235(3): 798 -803) B- Saddle or large proximal thrombus
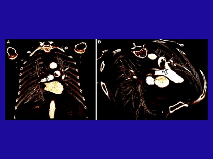
Massive PE Note the large thrombus burden in the main pul. branches
Risk stratification 5 - Biomarkers : Troponins, Pro-BNP
Mechanism of cardiac biomarker level elevation in APE Kucher, N. et al. Circulation 2003; 108: 2191 -2194
Relation between c. Tn. I concentrations ( 0. 6 ng/ml) on admission and mortality (%). La Vecchia, L et al. Heart 2004; 90: 633 -637 Copyright © 2004 BMJ Publishing Group Ltd.
Time course of cardiac troponin I (c. Tn. I) concentrations in patients with a positive assay on admission. La Vecchia, L et al. Heart 2004; 90: 633 -637 Copyright © 2004 BMJ Publishing Group Ltd.
Circulation 2003; 107: 2545
Management Strategies
What is the optimal management for such embolus? ? Thrombolysis, Catheter or Surgical Thrombectomy
Pulmonary embolism management strategy Kucher, N. et al. Circulation 2003; 108: 2191 -2194 Copyright © 2003 American Heart Association
Thrombolysis in APE (State of The Art) A meta-analysis of all randomized trials (11 trials including 748 pts) comparing thrombolytic therapy with heparin in patients with APE, provides no evidence for a benefit of thrombolytic therapy compared with heparin for the initial treatment of unselected patients with APE. However a benefit is clear in those at highest risk of recurrence or death. Whether patients with RVD and stable hemodynamics should receive fibrinolytic therapy is still unknown. (Evid. Based Med. , April 1, 2005; 10(2): 41 – 41)
Possible mechanisms by which thrombolysis decreases mortality in patients with RVD 1 - May prevent progressive RVD by lysis of massive PA thrombi 2 - May prevent the ongoing release of vasoactive factors, such as serotonin, that may cause worsening pulmonary vasoconstriction and RVF 3 - May dissolve a significant amount of thrombi in the source (e. g. , pelvic and leg) veins to prevent recurrent emboli NB. Patients with APE are eligible for thrombolysis, if they have new S&S within 2 weeks of 1 st presentation (Goldhaber S in Braunwald” Heart Disease 2005)
1, 500, 000 U/1 Hour streptokinase with heparin is more effective than heparin alone in PE with heart failure • Randomized trial intending to enroll 40 patients • Massive PE, hypotension, and heart failure • Stopped after 8 patients Results Group SK+Heparin Outcome 0 of 4 died 4 of 4 died Autopsy in 3 of 4 revealed evidence of RV infarct and no significant CAD Jerjes-Sanchez et al. J Thrombolysis 1995; 2: 227 -9
Heparin + Altepase (118 pts) Heparin + Placebo (137 pts) Konstantinides et al. NEJM 347 (15): 1143, October 10, 2002
Before thrombolysis After thrombolysis Note the change in RV size
NB. The risk of cerebral Hge is 1 -2%
Contraindications for Thrombolytic Therapy Absolute contraindications • Active internal bleeding • Recent spontaneous intracranial bleeding Relative contraindications • Major surgery, delivery, organ biopsy or puncture of noncompressible vessels within 10 days • Ischaemic stroke within 2 months • Gastrointestinal bleeding within 10 days • Serious trauma within 15 days • Neurosurgery or ophthalmologic surgery within 1 month • Uncontrolled severe hypertension (systolic pressure >180 mm. Hg; diastolic pressure >110 mm. Hg • Recent cardiorespiratory resuscitation • Platelet count <100 000/mm 3, prothrombin time less than 50% • Pregnancy • Bacterial endocarditis • Diabetic haemorrhage retinopathy
What is the optimal therapy for massive PE &RVF ? Surgery or Thrombolysis Registry of Massive PE with RV failure (n=37) Surgical embolectomy Thrombolysis (n=13) 77% survival Recurrent PE in 1 Gulba et al. Lancet 1994; 343: 576 -7 (n=24) 67% survival Recurrent PE in 5 28% bleed rate
Role of Surgery 47 patients, underwent emergency surgical embolectomy for massive central PE The indications for surgery were (1) C/I to thrombolysis (45%), (2) failed medical treatment (10%), and (3) RVD (32%). Preoperatively, (26%) patients were in cardiogenic shock, and (11%) were in cardiac arrest. There were (6%) operative & (12%) late deaths, 5 of which were from metastatic cancer. Actuarial survival at 1 and 3 years’ follow-up was 86% and 83%, respectively. We now perform surgical pulmonary embolectomy not only in patients with large central clot burden and hemodynamic compromise but also in hemodynamically stable patients with RVD documented by means of echocardiography. J Thorac Cardiovasc Surg 2005; 129: 1018 -1023
Surgically-Removed Thrombus in Acute PE
What is the optimal embolectomy route for massive PE & RVF? Catheter embolectomy vs Surgical embolectomy Advantages Disadvantages Advantages Disadvantages More accessible Distal embolization More control Less experience Various tools Large clot burden Revascularize if needed Need for sternotomy Limited Experience No randomized trials
Catheter Embolectomy Inteventional catheterization techniques includes : Mechanical fragmentation of thrombus with PA cath. Clot puverization with a rotating basket catheter. Rheolytic thrombectomy. Combination of mechanical fragmentation and thrombolysis. Catheter embolectomy is hindered by devices that are designed normally to remove small arterial clots rather than decompressing massive PE.
Suction catheter embolectomy + full dose thrombolysis
Duration of Anticoagulant Therapy (INR 1. 5 -2)
Summary (1) Risk Stratification based on Geneva score index (>4), ↑ S biomarkers, Echo signs of RVD and evidence of large thrombus burden on helical CT identification of patients for thrombolysis or thrombectomy Thrombolytic therapy is indicated in patients with massive PE, as shown by shock /or hypotension + RVD The use of thrombolytic therapy in patients with submassive PE (RVD without hypotension) is controversial. Thrombolytic therapy is not indicated in patients without right ventricular overload.
Summary (2) Surgical embolectomy is reserved for patients with massive PE (large thrombus burden) with C/I to thrombolysis and those having PTO or RV or RA thrmbus Catheter embolectomy can be used for patients with massive PE (moderate thrombus burden & C/I to thrombolysis
Please, do not rush Always, weigh: Safety Efficacy Epidemiology & costs Management Fibrinolytic trials Clinical questions - a) b) - c)- d) - e) Pathophysiology Fibrinolytic therapy
Ahmed Shafea MD, FACC
d0344d20802a25101b60314d4c406bcc.ppt